Skip to main content

15-PGDH/HPGD Antibody (OTI2C10)

Novus Biologicals, part of Bio-Techne | Catalog # NBP2-00490

Novus Biologicals, part of Bio-Techne

Key Product Details

Species Reactivity

Human, Mouse, Rat

Applications

Flow Cytometry, Immunohistochemistry, Immunohistochemistry-Paraffin, Western Blot

Label

Unconjugated

Antibody Source

Monoclonal Mouse IgG1 Clone # OTI2C10

Concentration

1 mg/ml

Product Specifications

Immunogen

Full length human recombinant protein of human HPGD (NP_000851) produced in HEK293T cell.

Reactivity Notes

Please note that this antibody is reactive to Mouse and derived from the same host, Mouse. Mouse-On-Mouse blocking reagent may be needed for IHC and ICC experiments to reduce high background signal. You can find these reagents under catalog numbers PK-2200-NB and MP-2400-NB. Please contact Technical Support if you have any questions.

Clonality

Monoclonal

Host

Mouse

Isotype

IgG1

Theoretical MW

28.8 kDa.
Disclaimer note: The observed molecular weight of the protein may vary from the listed predicted molecular weight due to post translational modifications, post translation cleavages, relative charges, and other experimental factors.

Description

Novus Biologicals Mouse 15-PGDH/HPGD Antibody (OTI2C10) (NBP2-00490) is a monoclonal antibody validated for use in IHC, WB and Flow. All Novus Biologicals antibodies are covered by our 100% guarantee.

Scientific Data Images for 15-PGDH/HPGD Antibody (OTI2C10)

Western Blot: 15-PGDH/HPGD Antibody (OTI2C10) [NBP2-00490]

Western Blot: 15-PGDH/HPGD Antibody (OTI2C10) [NBP2-00490]

Western Blot: 15-PGDH/HPGD Antibody (OTI2C10) [NBP2-00490] - HEK293T cells were transfected with the pCMV6-ENTRY control (Left lane) or pCMV6-ENTRY 15-PGDH (Right lane) cDNA for 48 hrs and lysed. Equivalent amounts of cell lysates (5 ug per lane) were separated by SDS-PAGE and immunoblotted with anti-15-PGDH.
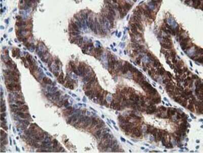
Immunohistochemistry-Paraffin: 15-PGDH/HPGD Antibody (OTI2C10) [NBP2-00490]

Immunohistochemistry-Paraffin: 15-PGDH/HPGD Antibody (OTI2C10) [NBP2-00490]

Immunohistochemistry-Paraffin: 15-PGDH/HPGD Antibody (OTI2C10) [NBP2-00490] - Staining of Human bladder tissue using anti-15-PGDH mouse monoclonal antibody.
Flow Cytometry: 15-PGDH/HPGD Antibody (OTI2C10) [NBP2-00490]

Flow Cytometry: 15-PGDH/HPGD Antibody (OTI2C10) [NBP2-00490]

Flow Cytometry: 15-PGDH/HPGD Antibody (OTI2C10) [NBP2-00490] - HEK293T cells transfected with either overexpression plasmid (Red) or empty vector control plasmid (Blue) were immunostained by anti-15-PGDH antibody, and then analyzed by flow cytometry.

Applications for 15-PGDH/HPGD Antibody (OTI2C10)

Application
Recommended Usage

Flow Cytometry

1:100

Immunohistochemistry

1:150

Immunohistochemistry-Paraffin

1:150

Western Blot

1:2000

Formulation, Preparation, and Storage

Purification

Immunogen affinity purified

Formulation

PBS (pH 7.3), 1.0% BSA and 50% Glycerol

Preservative

0.02% Sodium Azide

Concentration

1 mg/ml

Shipping

The product is shipped with polar packs. Upon receipt, store it immediately at the temperature recommended below.

Stability & Storage

Store at -20C. Avoid freeze-thaw cycles.

Background: 15-PGDH/HPGD

This gene encodes a member of the short-chain nonmetalloenzyme alcohol dehydrogenase protein family. The encoded enzyme is responsible for the metabolism of prostaglandins, which function in a variety of physiologic and cellular processes such as inflammation. Mutations in this gene result in primary autosomal recessive hypertrophic osteoarthropathy and cranioosteoarthropathy. Multiple transcript variants encoding different isoforms have been found for this gene. [provided by RefSeq].

Long Name

15-Hydroxyprostaglandin Dehydrogenase

Alternate Names

15PGDH, HPGD, PGDH1, SDR36C1

Entrez Gene IDs

3248 (Human)

Gene Symbol

HPGD

Additional 15-PGDH/HPGD Products

Product Documents for 15-PGDH/HPGD Antibody (OTI2C10)

Certificate of Analysis

To download a Certificate of Analysis, please enter a lot number in the search box below.

Product Specific Notices for 15-PGDH/HPGD Antibody (OTI2C10)

This product is for research use only and is not approved for use in humans or in clinical diagnosis. Primary Antibodies are guaranteed for 1 year from date of receipt.

Loading...
Loading...
Loading...
Loading...
Loading...