RHBDL3 Antibody - BSA Free
Novus Biologicals, part of Bio-Techne | Catalog # NBP2-31783
Key Product Details
Species Reactivity
Validated:
Human
Predicted:
Mouse (92%), Rat (92%). Backed by our 100% Guarantee.
Applications
Immunohistochemistry, Immunohistochemistry-Paraffin
Label
Unconjugated
Antibody Source
Polyclonal Rabbit IgG
Format
BSA Free
Concentration
Concentrations vary lot to lot. See vial label for concentration. If unlisted please contact technical services.
Product Specifications
Immunogen
This antibody was developed against a recombinant protein corresponding to amino acids: QFDPGNTGYISTGKFRSLLESHSSKLDPHKREVLLALADSHADGQIGYQDFVSLMSNKRSNS
Clonality
Polyclonal
Host
Rabbit
Isotype
IgG
Description
Novus Biologicals Rabbit RHBDL3 Antibody - BSA Free (NBP2-31783) is a polyclonal antibody validated for use in IHC. All Novus Biologicals antibodies are covered by our 100% guarantee.
Scientific Data Images for RHBDL3 Antibody - BSA Free
Immunohistochemistry-Paraffin: RHBDL3 Antibody [NBP2-31783] -
Immunohistochemistry-Paraffin: RHBDL3 Antibody [NBP2-31783] - Staining of human cerebral cortex shows weak cytoplasmic positivity in neuropil.Immunohistochemistry-Paraffin: RHBDL3 Antibody [NBP2-31783] -
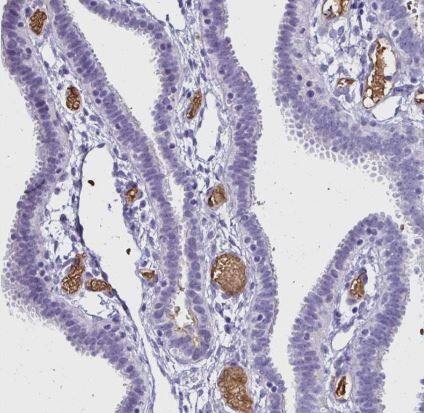
Immunohistochemistry-Paraffin: RHBDL3 Antibody [NBP2-31783] - Staining of human fallopian tube shows strong positivity in plasma.Immunohistochemistry-Paraffin: RHBDL3 Antibody [NBP2-31783] -
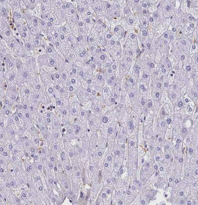
Immunohistochemistry-Paraffin: RHBDL3 Antibody [NBP2-31783] -Staining of human liver shows no positivity in hepatocytes as expected.Applications for RHBDL3 Antibody - BSA Free
Application
Recommended Usage
Immunohistochemistry
1:20 - 1:50
Immunohistochemistry-Paraffin
1:20 - 1:50
Application Notes
For IHC-Paraffin, HIER pH 6 retrieval is recommended.
Formulation, Preparation, and Storage
Purification
Affinity purified
Formulation
PBS (pH 7.2) and 40% Glycerol
Format
BSA Free
Preservative
0.02% Sodium Azide
Concentration
Concentrations vary lot to lot. See vial label for concentration. If unlisted please contact technical services.
Shipping
The product is shipped with polar packs. Upon receipt, store it immediately at the temperature recommended below.
Stability & Storage
Store at 4C short term. Aliquot and store at -20C long term. Avoid freeze-thaw cycles.
Background: RHBDL3
Alternate Names
FLJ45582, MGC119300, MGC119301, RHBDL4, rhomboid, veinlet-like 3 (Drosophila), rhomboid, veinlet-like 4, rhomboid-related protein 3, ventrhoid transmembrane protein, VRHO
Gene Symbol
RHBDL3
UniProt
Additional RHBDL3 Products
Product Documents for RHBDL3 Antibody - BSA Free
Product Specific Notices for RHBDL3 Antibody - BSA Free
This product is for research use only and is not approved for use in humans or in clinical diagnosis. Primary Antibodies are guaranteed for 1 year from date of receipt.
Loading...
Loading...
Loading...
Loading...