Skip to main content

PNKD Antibody - BSA Free

Novus Biologicals, part of Bio-Techne | Catalog # NBP1-88348

Novus Biologicals, part of Bio-Techne
Catalog #
Availability
Size / Price
Qty
Loading...
NBP1-88348
NBP1-88348-25ul

Key Product Details

Species Reactivity

Human

Applications

Immunohistochemistry, Immunohistochemistry-Paraffin, Immunocytochemistry/ Immunofluorescence

Label

Unconjugated

Antibody Source

Polyclonal Rabbit IgG

Format

BSA Free

Concentration

Concentrations vary lot to lot. See vial label for concentration. If unlisted please contact technical services.

Product Specifications

Immunogen

This antibody was developed against Recombinant Protein corresponding to amino acids: REVDKDRVKQMKARQNMRLSNTGEYESQRFRASSQSAPSPDVGSGVQ

Reactivity Notes

Immunogen displays the following percentage of sequence identity for non-tested species: Mouse (81%), Rat (83%).

Clonality

Polyclonal

Host

Rabbit

Isotype

IgG

Description

Novus Biologicals Rabbit PNKD Antibody - BSA Free (NBP1-88348) is a polyclonal antibody validated for use in IHC and ICC/IF. Anti-PNKD Antibody: Cited in 1 publication. All Novus Biologicals antibodies are covered by our 100% guarantee.

Scientific Data Images for PNKD Antibody - BSA Free

PNKD Antibody - BSA Free Immunohistochemistry-Paraffin: PNKD Antibody - BSA Free [NBP1-88348]

Immunohistochemistry-Paraffin: PNKD Antibody - BSA Free [NBP1-88348]

Staining of human liver shows moderate cytoplasmic positivity in hepatocytes.
PNKD Antibody - BSA Free Immunohistochemistry-Paraffin: PNKD Antibody - BSA Free [NBP1-88348]

Immunohistochemistry-Paraffin: PNKD Antibody - BSA Free [NBP1-88348]

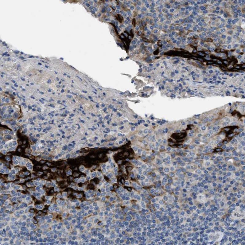
Staining of human tonsil shows strong cytoplasmic positivity in squamous epithelial cells.
PNKD Antibody - BSA Free Immunohistochemistry-Paraffin: PNKD Antibody - BSA Free [NBP1-88348]

Immunohistochemistry-Paraffin: PNKD Antibody - BSA Free [NBP1-88348]

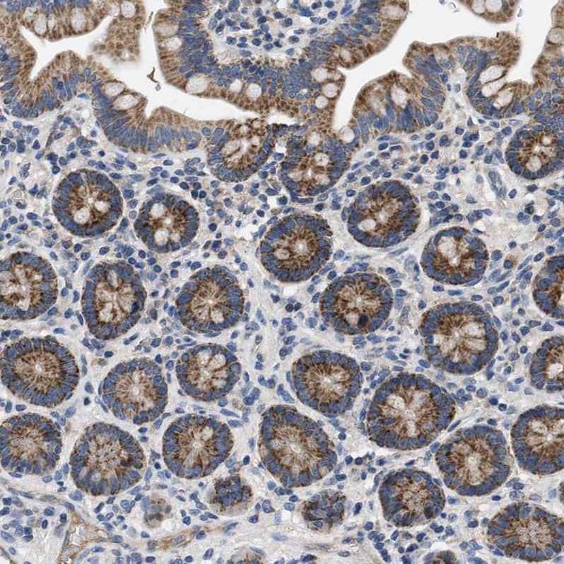
Staining of human small intestine shows strong granular cytoplasmic positivity in glandular cells.

Applications for PNKD Antibody - BSA Free

Application
Recommended Usage

Immunocytochemistry/ Immunofluorescence

0.25-2 ug/ml

Immunohistochemistry

1:20 - 1:50

Immunohistochemistry-Paraffin

1:20 - 1:50
Application Notes
For IHC-Paraffin, HIER pH 6 retrieval is recommended. Immunocytochemistry/Immunofluorescence Fixation Permeabilization: Use PFA/Triton X-100.

Formulation, Preparation, and Storage

Purification

Affinity purified

Formulation

PBS (pH 7.2) and 40% Glycerol

Format

BSA Free

Preservative

0.02% Sodium Azide

Concentration

Concentrations vary lot to lot. See vial label for concentration. If unlisted please contact technical services.

Shipping

The product is shipped with polar packs. Upon receipt, store it immediately at the temperature recommended below.

Stability & Storage

Store at 4C short term. Aliquot and store at -20C long term. Avoid freeze-thaw cycles.

Background: PNKD

Probable hydrolase that plays an aggravative role in the development of cardiac hypertrophy via activation of the NF-kappa-B signaling pathway

Alternate Names

BRP17FKSG19, DKFZp564N1362, DYT8paroxysmal nonkinesiogenic dyskinesia, FPD1brain protein 17, KIAA1184Myofibrillogenesis regulator 1, KIPP1184probable hydrolase PNKD, MGC31943, MR1Paroxysmal nonkinesiogenic dyskinesia protein, MR-1Trans-activated by hepatitis C virus core protein 2, paroxysmal nonkinesigenic dyskinesia, PDCEC 3.-, TAHCCP2PKND1

Gene Symbol

PNKD

Additional PNKD Products

Product Documents for PNKD Antibody - BSA Free

Certificate of Analysis

To download a Certificate of Analysis, please enter a lot number in the search box below.

Product Specific Notices for PNKD Antibody - BSA Free

This product is for research use only and is not approved for use in humans or in clinical diagnosis. Primary Antibodies are guaranteed for 1 year from date of receipt.

Loading...
Loading...
Loading...
Loading...