Skip to main content

MRPL3 Antibody - BSA Free

Novus Biologicals, part of Bio-Techne | Catalog # NBP2-13613

Novus Biologicals, part of Bio-Techne
Catalog #
Availability
Size / Price
Qty
Loading...
NBP2-13613
NBP2-13613-25ul

Key Product Details

Species Reactivity

Human

Applications

Immunohistochemistry, Immunohistochemistry-Paraffin, Western Blot

Label

Unconjugated

Antibody Source

Polyclonal Rabbit IgG

Format

BSA Free

Concentration

Concentrations vary lot to lot. See vial label for concentration. If unlisted please contact technical services.

Product Specifications

Immunogen

This antibody was developed against a recombinant protein corresponding to the amino acids: GKSGTWWDEHLSEENVPFIKQLVSDEDKAQLASKLCPLKDEPWPIHPWEPGSFRVGLIALKLGMMPLWTKDGQKHVVTLLQVQDCHVLKYTSKENCNGK

Reactivity Notes

Immunogen displays the following percentage of sequence identity for non-tested species: Mouse (86%), Rat (87%)

Clonality

Polyclonal

Host

Rabbit

Isotype

IgG

Description

Novus Biologicals Rabbit MRPL3 Antibody - BSA Free (NBP2-13613) is a polyclonal antibody validated for use in IHC and WB. All Novus Biologicals antibodies are covered by our 100% guarantee.

Scientific Data Images for MRPL3 Antibody - BSA Free

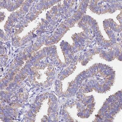
Immunohistochemistry-Paraffin: MRPL3 Antibody [NBP2-13613]

Immunohistochemistry-Paraffin: MRPL3 Antibody [NBP2-13613]

Immunohistochemistry-Paraffin: MRPL3 Antibody [NBP2-13613] - Staining of human duodenum shows moderate cytoplasmic positivity in glandular cells.
Immunohistochemistry-Paraffin: MRPL3 Antibody [NBP2-13613]

Immunohistochemistry-Paraffin: MRPL3 Antibody [NBP2-13613]

Immunohistochemistry-Paraffin: MRPL3 Antibody [NBP2-13613] - Staining of human cerebellum shows moderate cytoplasmic positivity in Purkinje cells.
Immunohistochemistry-Paraffin: MRPL3 Antibody [NBP2-13613]

Immunohistochemistry-Paraffin: MRPL3 Antibody [NBP2-13613]

Immunohistochemistry-Paraffin: MRPL3 Antibody [NBP2-13613] - Staining of human fallopian tube shows moderate cytoplasmic positivity in glandular cells.

Applications for MRPL3 Antibody - BSA Free

Application
Recommended Usage

Immunohistochemistry

1:500 - 1:1000

Immunohistochemistry-Paraffin

1:500 - 1:1000

Western Blot

0.04-0.4 ug/ml
Application Notes
For IHC-Paraffin, HIER pH 6 retrieval is recommended.

Formulation, Preparation, and Storage

Purification

Affinity purified

Formulation

PBS (pH 7.2) and 40% Glycerol

Format

BSA Free

Preservative

0.02% Sodium Azide

Concentration

Concentrations vary lot to lot. See vial label for concentration. If unlisted please contact technical services.

Shipping

The product is shipped with polar packs. Upon receipt, store it immediately at the temperature recommended below.

Stability & Storage

Store at 4C short term. Aliquot and store at -20C long term. Avoid freeze-thaw cycles.

Background: MRPL3

MRPL3, also known as 39 S ribosomal protein L3, mitochondrial, is a 38.6 kDa, 348 amino acid protein that, when defected, causes a mitochondrial disease that results poor health, mental retardation, and, in some cases, death in infancy. Current research is observing the effects of the protein on diseases and disorders such as pneumonia, cardiomyopathy, mycobacterium tuberculosis, and malaria. The protein interacts with other proteins such as PUS1, DAP3, ICT1, MRPL13, and MRPL2.

Alternate Names

39S ribosomal protein L3, mitochondrial, mitochondrial ribosomal protein L3, MRL3mitochondrial, L3, RPML3

Gene Symbol

MRPL3

Additional MRPL3 Products

Product Documents for MRPL3 Antibody - BSA Free

Certificate of Analysis

To download a Certificate of Analysis, please enter a lot number in the search box below.

Product Specific Notices for MRPL3 Antibody - BSA Free

This product is for research use only and is not approved for use in humans or in clinical diagnosis. Primary Antibodies are guaranteed for 1 year from date of receipt.

Loading...
Loading...
Loading...
Loading...