Skip to main content

Microsomal Glutathione S-transferase 1 Antibody (6A0S5)

Novus Biologicals, part of Bio-Techne | Catalog # NBP3-15316

Recombinant Monoclonal Antibody
Novus Biologicals, part of Bio-Techne
Catalog #
Availability
Size / Price
Qty
Loading...
NBP3-15316-100ul
NBP3-15316-20ul

Key Product Details

Species Reactivity

Human, Mouse, Rat

Applications

Immunohistochemistry, Immunohistochemistry-Paraffin, Western Blot, ELISA, Immunocytochemistry/ Immunofluorescence

Label

Unconjugated

Antibody Source

Recombinant Monoclonal Rabbit IgG Clone # 6A0S5 expressed in HEK293

Concentration

Please see the vial label for concentration. If unlisted please contact technical services.

Product Specifications

Immunogen

A synthetic peptide corresponding to a sequence within amino acids 1-100 of human Microsomal Glutathione S-transferase 1 (P10620). MVDLTQVMDDEVFMAFASYATIILSKMMLMSTATAFYRLTRKVFANPEDCVAFGKGENAKKYLRTDDRVERVRRAHLNDLENIIPFLGIGLLYSLSGPDP

Clonality

Monoclonal

Host

Rabbit

Isotype

IgG

Theoretical MW

18 kDa.
Disclaimer note: The observed molecular weight of the protein may vary from the listed predicted molecular weight due to post translational modifications, post translation cleavages, relative charges, and other experimental factors.

Description

Novus Biologicals Rabbit Microsomal Glutathione S-transferase 1 Antibody (6A0S5) (NBP3-15316) is a recombinant monoclonal antibody validated for use in IHC, WB, ELISA and ICC/IF. All Novus Biologicals antibodies are covered by our 100% guarantee.

Scientific Data Images for Microsomal Glutathione S-transferase 1 Antibody (6A0S5)

Western Blot: Microsomal Glutathione S-transferase 1 Antibody (6A0S5) [NBP3-15316]

Western Blot: Microsomal Glutathione S-transferase 1 Antibody (6A0S5) [NBP3-15316]

Western Blot: Microsomal Glutathione S-transferase 1 Antibody (6A0S5) [NBP3-15316] - Western blot analysis of extracts of various cell lines, using Microsomal Glutathione S-transferase 1 antibody (NBP3-15316) at 1:1000 dilution. Secondary antibody: HRP Goat Anti-Rabbit IgG (H+L) at 1:10000 dilution. Lysates/proteins: 25ug per lane. Blocking buffer: 3% nonfat dry milk in TBST. Detection: ECL Basic Kit. Exposure time: 1s.
Western Blot: Microsomal Glutathione S-transferase 1 Antibody (6A0S5) [NBP3-15316]

Western Blot: Microsomal Glutathione S-transferase 1 Antibody (6A0S5) [NBP3-15316]

Western Blot: Microsomal Glutathione S-transferase 1 Antibody (6A0S5) [NBP3-15316] - Western blot analysis of extracts of HepG2 cells, using Microsomal Glutathione S-transferase 1 antibody (NBP3-15316) at 1:1000 dilution. Secondary antibody: HRP Goat Anti-Rabbit IgG (H+L) at 1:10000 dilution. Lysates/proteins: 25ug per lane. Blocking buffer: 3% nonfat dry milk in TBST. Detection: ECL Basic Kit. Exposure time: 1s.
Microsomal Glutathione S-transferase 1 Antibody (6A0S5)

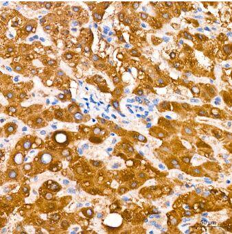
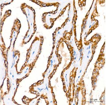
Immunohistochemistry-Paraffin: Microsomal Glutathione S-transferase 1 Antibody (6A0S5) [NBP3-15316] -

Immunohistochemistry-Paraffin: Microsomal Glutathione S-transferase 1 Antibody (6A0S5) [NBP3-15316] -Human liver cancer tissue using MGST1 Rabbit mAb at a dilution of 1:200 (40x lens). High pressure antigen retrieval performed with 0.01M Citrate Bufferr (pH 6.0) prior to IHC staining.

Applications for Microsomal Glutathione S-transferase 1 Antibody (6A0S5)

Application
Recommended Usage

ELISA

Recommended starting concentration is 1 μg/mL. Please optimize the concentration based on your specific assay requirements.

Immunocytochemistry/ Immunofluorescence

1:200 - 1:2000

Immunohistochemistry

1:200 - 1:2000

Immunohistochemistry-Paraffin

1:200 - 1:2000

Western Blot

1:1000 - 1:6000

Formulation, Preparation, and Storage

Purification

Affinity purified

Formulation

PBS (pH 7.3), 50% glycerol, 0.05% BSA

Preservative

0.02% Sodium Azide

Concentration

Please see the vial label for concentration. If unlisted please contact technical services.

Shipping

The product is shipped with polar packs. Upon receipt, store it immediately at the temperature recommended below.

Stability & Storage

Store at -20C. Avoid freeze-thaw cycles.

Background: Microsomal Glutathione S-transferase 1

The MAPEG (Membrane Associated Proteins in Eicosanoid and Glutathione metabolism) family consists of six human proteins, two of which are involved in the production of leukotrienes and prostaglandin E, important mediators of inflammation. Other family members, demonstrating glutathione S-transferase and peroxidase activities, are involved in cellular defense against toxic, carcinogenic, and pharmacologically active electrophilic compounds. This gene encodes a protein that catalyzes the conjugation of glutathione to electrophiles and the reduction of lipid hydroperoxides. This protein is localized to the endoplasmic reticulum and outer mitochondrial membrane where it is thought to protect these membranes from oxidative stress. Four transcript variants of this gene encode one protein isoform. [provided by RefSeq]

Alternate Names

glutathione S-transferase 12, GST12EC 2.5.1.18, MGC14525, MGST, MGST-I, microsomal glutathione S-transferase 1, Microsomal GST-1, Microsomal GST-I

Gene Symbol

MGST1

Additional Microsomal Glutathione S-transferase 1 Products

Product Documents for Microsomal Glutathione S-transferase 1 Antibody (6A0S5)

Certificate of Analysis

To download a Certificate of Analysis, please enter a lot number in the search box below.

Product Specific Notices for Microsomal Glutathione S-transferase 1 Antibody (6A0S5)

This product is for research use only and is not approved for use in humans or in clinical diagnosis. Primary Antibodies are guaranteed for 1 year from date of receipt.

Loading...
Loading...
Loading...
Loading...