Skip to main content

MEF2D Antibody

Novus Biologicals, part of Bio-Techne | Catalog # NBP1-80567

Novus Biologicals, part of Bio-Techne
Catalog #
Availability
Size / Price
Qty
Loading...
NBP1-80567

Key Product Details

Validated by

Independent Antibodies, Biological Validation

Species Reactivity

Validated:

Human, Mouse

Cited:

Mouse

Predicted:

Rat (100%). Backed by our 100% Guarantee.

Applications

Validated:

Immunohistochemistry, Immunohistochemistry-Paraffin, Western Blot, Immunoprecipitation

Cited:

Chromatin Immunoprecipitation (ChIP)

Label

Unconjugated

Antibody Source

Polyclonal Rabbit IgG

Concentration

0.2 mg/ml

Product Specifications

Immunogen

The immunogen this antibody was made to, maps to a region between residue 475 and 521 of human Myocyte Enhancer Factor 2D using the numbering given in entry NP_005911.1 (GeneID 4209).

Clonality

Polyclonal

Host

Rabbit

Isotype

IgG

Scientific Data Images for MEF2D Antibody

Western Blot: MEF2D Antibody [NBP1-80567]

Western Blot: MEF2D Antibody [NBP1-80567]

Western Blot: MEF2D Antibody [NBP1-80567] - Whole cell lysate from HeLa (15 and 50 mcg for WB; 1 mg for IP, 20% of IP loaded), 293T (T; 50 mcg), Jurkat (J; 50 mcg) and mouse NIH3T3 (M; 50 mcg) cells. Antibodies: Affinity purified rabbit anti-MEF2D antibody used for WB at 0.04 mcg/ml (A) and 1 mcg/ml (B) and used for IP at 6 mcg/mg lysate. MEF2D was also immunoprecipitated by rabbit anti-MEF2D antibody NBP1-80566, which recognizes an upstream epitope.
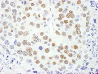
Immunohistochemistry-Paraffin: MEF2D Antibody [NBP1-80567]

Immunohistochemistry-Paraffin: MEF2D Antibody [NBP1-80567]

Immunohistochemistry-Paraffin: MEF2D Antibody [NBP1-80567] - Section of mouse renal cell carcinoma. Antibody: Affinity purified rabbit anti- MEF2D used at a dilution of 1:200 (1ug/ml). Detection: DAB. Counterstain: Hematoxylin (blue).
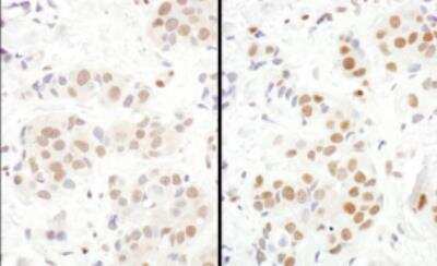
Immunohistochemistry-Paraffin: MEF2D Antibody [NBP1-80567]

Immunohistochemistry-Paraffin: MEF2D Antibody [NBP1-80567]

Immunohistochemistry-Paraffin: MEF2D Antibody [NBP1-80567] - FFPE serial sections of human breast carcinoma. Antibody: Affinity purified rabbit anti-MEF2D, left image and 1, right image) used at a dilution of 1:200 (1ug/ml). Detection: DAB. Counterstain: Hematoxylin (blue).

Applications for MEF2D Antibody

Application
Recommended Usage

Immunohistochemistry

1:100 - 1:500

Immunohistochemistry-Paraffin

1:100- 1:500

Immunoprecipitation

2-10 ug/mg

Western Blot

1:2000-1:10000
Application Notes
Epitope retrieval with citrate buffer pH6.0 is recommended for FFPE tissue sections.

Formulation, Preparation, and Storage

Purification

Immunogen affinity purified

Formulation

TBS and 0.1% BSA

Preservative

0.09% Sodium Azide

Concentration

0.2 mg/ml

Shipping

The product is shipped with polar packs. Upon receipt, store it immediately at the temperature recommended below.

Stability & Storage

Store at 4C. Do not freeze.

Background: MEF2D

Transcriptional activator which binds specifically to the MEF2 element, 5'-YTA[AT](4)TAR-3', found in numerous muscle-specific, growth factor- and stress-induced genes. Mediates cellular functions not only in skeletal and cardiac muscle development, but also in neuronal differentiation and survival. Plays diverse roles in the control of cell growth, survival and apoptosis via p38 MAPK signaling in muscle-specific and/or growth factor-related transcription. Plays a critical role in the regulation of neuronal apoptosis

Alternate Names

DKFZp686I1536, MADS box transcription enhancer factor 2, polypeptide D (myocyte enhancerfactor 2D), MEF2D/DAZAP1 fusion, myocyte enhancer factor 2D, myocyte enhancer factor 2D/deleted in azoospermia associated protein 1 fusionprotein, myocyte-specific enhancer factor 2D

Gene Symbol

MEF2D

Additional MEF2D Products

Product Documents for MEF2D Antibody

Certificate of Analysis

To download a Certificate of Analysis, please enter a lot number in the search box below.

Product Specific Notices for MEF2D Antibody

This product is for research use only and is not approved for use in humans or in clinical diagnosis. Primary Antibodies are guaranteed for 1 year from date of receipt.

Loading...
Loading...
Loading...
Loading...