Skip to main content

LAPTM4A Antibody - BSA Free

Novus Biologicals, part of Bio-Techne | Catalog # NBP1-81646

Novus Biologicals, part of Bio-Techne
Catalog #
Availability
Size / Price
Qty
Loading...
NBP1-81646
NBP1-81646-25ul

Key Product Details

Species Reactivity

Validated:

Human

Predicted:

Mouse (100%), Rat (100%). Backed by our 100% Guarantee.

Applications

Immunohistochemistry, Immunohistochemistry-Paraffin

Label

Unconjugated

Antibody Source

Polyclonal Rabbit IgG

Format

BSA Free

Concentration

Concentrations vary lot to lot. See vial label for concentration. If unlisted please contact technical services.

Product Specifications

Immunogen

This antibody was developed against Recombinant Protein corresponding to amino acids: EVTHPNSMPAVNIQYEVIGNYYSSERMADN

Clonality

Polyclonal

Host

Rabbit

Isotype

IgG

Description

Novus Biologicals Rabbit LAPTM4A Antibody - BSA Free (NBP1-81646) is a polyclonal antibody validated for use in IHC. All Novus Biologicals antibodies are covered by our 100% guarantee.

Scientific Data Images for LAPTM4A Antibody - BSA Free

Immunohistochemistry-Paraffin: LAPTM4A Antibody [NBP1-81646]

Immunohistochemistry-Paraffin: LAPTM4A Antibody [NBP1-81646]

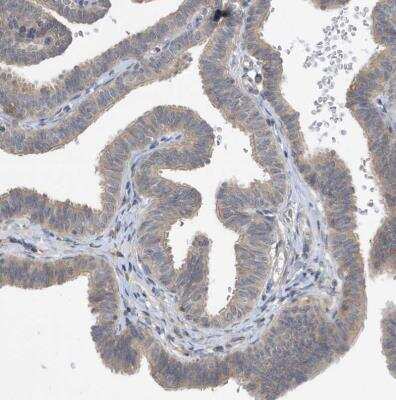
Immunohistochemistry-Paraffin: LAPTM4A Antibody [NBP1-81646] - Staining of human endometrium shows moderate to strong cytoplasmic positivity in glandular cells.
Immunohistochemistry-Paraffin: LAPTM4A Antibody [NBP1-81646]

Immunohistochemistry-Paraffin: LAPTM4A Antibody [NBP1-81646]

Immunohistochemistry-Paraffin: LAPTM4A Antibody [NBP1-81646] - Staining of human skin shows moderate to strong cytoplasmic positivity in epidermal cells.
Immunohistochemistry-Paraffin: LAPTM4A Antibody [NBP1-81646]

Immunohistochemistry-Paraffin: LAPTM4A Antibody [NBP1-81646]

Immunohistochemistry-Paraffin: LAPTM4A Antibody [NBP1-81646] - Staining of human kidney shows moderate to strong cytoplasmic positivity in cells in tubules.

Applications for LAPTM4A Antibody - BSA Free

Application
Recommended Usage

Immunohistochemistry

1:20 - 1:50

Immunohistochemistry-Paraffin

1:20 - 1:50
Application Notes
For IHC-Paraffin, HIER pH 6 retrieval is recommended.

Formulation, Preparation, and Storage

Purification

Immunogen affinity purified

Formulation

PBS (pH 7.2) and 40% Glycerol

Format

BSA Free

Preservative

0.02% Sodium Azide

Concentration

Concentrations vary lot to lot. See vial label for concentration. If unlisted please contact technical services.

Shipping

The product is shipped with polar packs. Upon receipt, store it immediately at the temperature recommended below.

Stability & Storage

Store at 4C short term. Aliquot and store at -20C long term. Avoid freeze-thaw cycles.

Background: LAPTM4A

LAPTM4A encodes a protein that has four predicted transmembrane domains. The function of this gene has not yet been determined; however, studies in the mouse homolog suggest a role in the transport of small molecules across endosomal and lysosomal membranes. [provided by RefSeq]

Alternate Names

Golgi 4-transmembrane-spanning transporter MTP, HUMORF13, KIAA0108MBNT, LAPTM4lysosomal-associated transmembrane protein 4A, lysosomal protein transmembrane 4 alpha, lysosomal-associated protein transmembrane 4 alpha, membrane nucleoside transporter, Mtrp

Gene Symbol

LAPTM4A

Additional LAPTM4A Products

Product Documents for LAPTM4A Antibody - BSA Free

Certificate of Analysis

To download a Certificate of Analysis, please enter a lot number in the search box below.

Product Specific Notices for LAPTM4A Antibody - BSA Free

This product is for research use only and is not approved for use in humans or in clinical diagnosis. Primary Antibodies are guaranteed for 1 year from date of receipt.

Loading...
Loading...
Loading...
Loading...