IRGM Antibody - BSA Free
Novus Biologicals, part of Bio-Techne | Catalog # NBP1-76890
Conjugate
Catalog #
Key Product Details
Species Reactivity
Human, Mouse, Rat
Applications
Immunohistochemistry, Immunohistochemistry-Paraffin, Western Blot, ELISA, Immunocytochemistry/ Immunofluorescence
Label
Unconjugated
Antibody Source
Polyclonal Rabbit IgG
Format
BSA Free
Concentration
1 mg/ml
Product Specifications
Immunogen
Antibody was raised against a 14 amino acid synthetic peptide near the center of the human IRGM. The immunogen is located within the last 50 amino acids of IRGM. Amino Acid Squence: LQIRENVLENLQKER
Specificity
IRGM antibody may recognize mouse IRGM2 and IRGM3.
Clonality
Polyclonal
Host
Rabbit
Isotype
IgG
Theoretical MW
24 kDa.
Disclaimer note: The observed molecular weight of the protein may vary from the listed predicted molecular weight due to post translational modifications, post translation cleavages, relative charges, and other experimental factors.
Disclaimer note: The observed molecular weight of the protein may vary from the listed predicted molecular weight due to post translational modifications, post translation cleavages, relative charges, and other experimental factors.
Description
Novus Biologicals Rabbit IRGM Antibody - BSA Free (NBP1-76890) is a polyclonal antibody validated for use in IHC, WB, ELISA and ICC/IF. All Novus Biologicals antibodies are covered by our 100% guarantee.
Scientific Data Images for IRGM Antibody - BSA Free
Western Blot: IRGM AntibodyBSA Free [NBP1-76890]
Western Blot: IRGM Antibody [NBP1-76890] - Analysis in human brain lysate with antibody at (A) 1 and (B) 2 ug/mL.Immunohistochemistry: IRGM Antibody - BSA Free [NBP1-76890] -
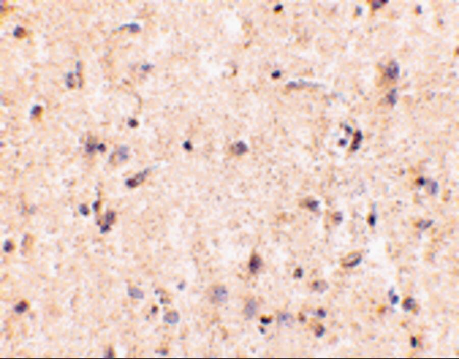
Immunohistochemistry: IRGM Antibody - BSA Free [NBP1-76890] - Immunohistochemistry of IRGM in human brain tissue with IRGM antibody at 5 ug/mL.Immunocytochemistry/ Immunofluorescence: IRGM Antibody - BSA Free [NBP1-76890] -
Immunocytochemistry/ Immunofluorescence: IRGM Antibody - BSA Free [NBP1-76890] - Immunofluorescence of IRGM in Human Brain tissue with IRGM antibody at 20 ug/mL.Applications for IRGM Antibody - BSA Free
Application
Recommended Usage
ELISA
1:100-1:2000
Immunocytochemistry/ Immunofluorescence
20 ug/mL
Immunohistochemistry
5 ug/ml
Immunohistochemistry-Paraffin
5 ug/ml
Western Blot
1-2 ug/ml
Formulation, Preparation, and Storage
Purification
Peptide affinity purified
Formulation
PBS
Format
BSA Free
Preservative
0.02% Sodium Azide
Concentration
1 mg/ml
Shipping
The product is shipped with polar packs. Upon receipt, store it immediately at the temperature recommended below.
Stability & Storage
Store at 4C short term. Aliquot and store at -20C long term. Avoid freeze-thaw cycles.
Background: IRGM
Alternate Names
IFI1, immunity-related GTPase family M protein, immunity-related GTPase family, M, interferon-inducible protein 1, IRGM1, LPS-stimulated RAW 264.7 macrophage protein 47 homolog, LRG47, LRG-47, LRG-47-like protein, M1, MGC149263, MGC149264
Gene Symbol
IRGM
UniProt
Additional IRGM Products
Product Documents for IRGM Antibody - BSA Free
Product Specific Notices for IRGM Antibody - BSA Free
This product is for research use only and is not approved for use in humans or in clinical diagnosis. Primary Antibodies are guaranteed for 1 year from date of receipt.
Loading...
Loading...
Loading...
Loading...