Skip to main content

IMPACT Antibody - BSA Free

Novus Biologicals, part of Bio-Techne | Catalog # NBP1-86221

Novus Biologicals, part of Bio-Techne
Catalog #
Availability
Size / Price
Qty
Loading...
NBP1-86221
NBP1-86221-25ul

Key Product Details

Species Reactivity

Validated:

Human, Mouse

Cited:

Mouse

Predicted:

Rat (98%). Backed by our 100% Guarantee.

Applications

Validated:

Immunohistochemistry, Immunohistochemistry-Paraffin, Western Blot, Immunocytochemistry/ Immunofluorescence

Cited:

Western Blot

Label

Unconjugated

Antibody Source

Polyclonal Rabbit IgG

Format

BSA Free

Concentration

Concentrations vary lot to lot. See vial label for concentration. If unlisted please contact technical services.

Product Specifications

Immunogen

This antibody was developed against Recombinant Protein corresponding to amino acids: ENKKIASATHNIYAYRIYCEDKQTFLQDCEDDGETAAGGRLLHLMEILNVKNVMVVV

Reactivity Notes

Mouse reactivity reported in scientific literature (PMID: 30466445).

Clonality

Polyclonal

Host

Rabbit

Isotype

IgG

Description

Novus Biologicals Rabbit IMPACT Antibody - BSA Free (NBP1-86221) is a polyclonal antibody validated for use in IHC, WB and ICC/IF. Anti-IMPACT Antibody: Cited in 1 publication. All Novus Biologicals antibodies are covered by our 100% guarantee.

Scientific Data Images for IMPACT Antibody - BSA Free

Western Blot: IMPACT Antibody [NBP1-86221]

Western Blot: IMPACT Antibody [NBP1-86221]

IMPACT-Antibody-Western-Blot-NBP1-86221-img0012.jpg
Immunocytochemistry/ Immunofluorescence: IMPACT Antibody [NBP1-86221]

Immunocytochemistry/ Immunofluorescence: IMPACT Antibody [NBP1-86221]

Immunocytochemistry/Immunofluorescence: IMPACT Antibody [NBP1-86221] - Staining of human cell line U-251 MG shows localization to nucleoplasm. Antibody staining is shown in green.
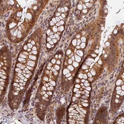
Immunohistochemistry-Paraffin: IMPACT Antibody [NBP1-86221]

Immunohistochemistry-Paraffin: IMPACT Antibody [NBP1-86221]

Immunohistochemistry-Paraffin: IMPACT Antibody [NBP1-86221] - Staining of human colon shows moderate to strong cytoplasmic positivity in glandular cells.

Applications for IMPACT Antibody - BSA Free

Application
Recommended Usage

Immunocytochemistry/ Immunofluorescence

0.25-2 ug/ml

Immunohistochemistry

1:50 - 1:200

Immunohistochemistry-Paraffin

1:50-1:200

Western Blot

0.04-0.4 ug/ml
Application Notes
For IHC-Paraffin, HIER pH 6 retrieval is recommended. ICC/IF, Fixation Permeabilization: Use PFA/Triton X-100.

Formulation, Preparation, and Storage

Purification

Immunogen affinity purified

Formulation

PBS (pH 7.2) and 40% Glycerol

Format

BSA Free

Preservative

0.02% Sodium Azide

Concentration

Concentrations vary lot to lot. See vial label for concentration. If unlisted please contact technical services.

Shipping

The product is shipped with polar packs. Upon receipt, store it immediately at the temperature recommended below.

Stability & Storage

Store at 4C short term. Aliquot and store at -20C long term. Avoid freeze-thaw cycles.

Background: IMPACT

Translational regulator that ensures constant high levels of translation under amino acid starvation. Acts by interacting with GCN1/GCN1L1, thereby preventing activation of GCN2 protein kinases (EIF2AK1 to 4) and subsequent down-regulation of protein synthesis

Alternate Names

Impact homolog (mouse), Imprinted and ancient gene protein homolog, MGC33718, protein IMPACT

Gene Symbol

IMPACT

Additional IMPACT Products

Product Documents for IMPACT Antibody - BSA Free

Certificate of Analysis

To download a Certificate of Analysis, please enter a lot number in the search box below.

Product Specific Notices for IMPACT Antibody - BSA Free

This product is for research use only and is not approved for use in humans or in clinical diagnosis. Primary Antibodies are guaranteed for 1 year from date of receipt.

Loading...
Loading...
Loading...
Loading...