Skip to main content

IGF-II/IGF2 Antibody (8H1) - BSA Free

Novus Biologicals, part of Bio-Techne | Catalog # NBP2-37462

Novus Biologicals, part of Bio-Techne
Catalog #
Availability
Size / Price
Qty
Loading...
NBP2-37462-0.025ml
NBP2-37462

Key Product Details

Species Reactivity

Validated:

Human

Cited:

Human

Applications

Validated:

Immunohistochemistry, Immunohistochemistry-Paraffin, Western Blot, ELISA, Flow Cytometry, Immunocytochemistry/ Immunofluorescence

Cited:

IF/IHC

Label

Unconjugated

Antibody Source

Monoclonal Mouse IgG1 Clone # 8H1

Format

BSA Free

Concentration

1 mg/ml

Product Specifications

Immunogen

Purified recombinant fragment of human IGF-II/IGF2 (AA: 25-180) expressed in E. Coli.

Clonality

Monoclonal

Host

Mouse

Isotype

IgG1

Theoretical MW

20.1 kDa.
Disclaimer note: The observed molecular weight of the protein may vary from the listed predicted molecular weight due to post translational modifications, post translation cleavages, relative charges, and other experimental factors.

Description

Novus Biologicals Mouse IGF-II/IGF2 Antibody (8H1) - BSA Free (NBP2-37462) is a monoclonal antibody validated for use in IHC, WB, ELISA, Flow and ICC/IF. Anti-IGF-II/IGF2 Antibody: Cited in 1 publication. All Novus Biologicals antibodies are covered by our 100% guarantee.

Scientific Data Images for IGF-II/IGF2 Antibody (8H1) - BSA Free

Western Blot: IGF-II/IGF2 Antibody (8H1)BSA Free [NBP2-37462]

Western Blot: IGF-II/IGF2 Antibody (8H1)BSA Free [NBP2-37462]

Western Blot: IGF-II Antibody (8H1) [NBP2-37462] - Analysis using IGF2 mAb against HEK293 (1) and IGF2 (AA: 25-180)-hIgGFc transfected HEK293 (2) cell lysate.
Immunocytochemistry/ Immunofluorescence: IGF-II/IGF2 Antibody (8H1) - BSA Free [NBP2-37462]

Immunocytochemistry/ Immunofluorescence: IGF-II/IGF2 Antibody (8H1) - BSA Free [NBP2-37462]

Immunocytochemistry/Immunofluorescence: IGF-II/IGF2 Antibody (8H1) [NBP2-37462] - Analysis of HeLa cells using IGF2 mouse mAb (green). Blue: DRAQ5 fluorescent DNA dye. Red: Actin filaments have been labeled with Alexa Fluor-555 phalloidin.
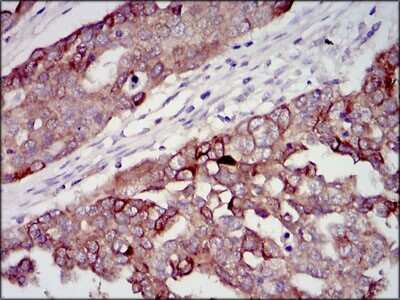
Immunohistochemistry-Paraffin: IGF-II/IGF2 Antibody (8H1) - BSA Free [NBP2-37462]

Immunohistochemistry-Paraffin: IGF-II/IGF2 Antibody (8H1) - BSA Free [NBP2-37462]

Immunohistochemistry-Paraffin: IGF-II/IGF2 Antibody (8H1) [NBP2-37462] - Analysis of paraffin-embedded bladder cancer tissues using IGF-II/IGF2 (8H1)mouse mAb with DAB staining.

Applications for IGF-II/IGF2 Antibody (8H1) - BSA Free

Application
Recommended Usage

ELISA

1:10000

Flow Cytometry

1:200 - 1:400

Immunocytochemistry/ Immunofluorescence

1:200 - 1:1000

Immunohistochemistry

1:200 - 1:1000

Immunohistochemistry-Paraffin

1:200-1:1000

Western Blot

1:500 - 1:2000

Formulation, Preparation, and Storage

Purification

Protein G purified

Formulation

PBS

Format

BSA Free

Preservative

0.05% Sodium Azide

Concentration

1 mg/ml

Shipping

The product is shipped with polar packs. Upon receipt, store it immediately at the temperature recommended below.

Stability & Storage

Store at 4C short term. Aliquot and store at -20C long term. Avoid freeze-thaw cycles.

Background: IGF-II/IGF2

Insulin Like Growth Factor-2 (IGF-2) is a polypeptide growth factor, which stimulates the proliferation of a wide range of cell types

Long Name

Insulin-like Growth Factor II

Alternate Names

C11orf43, GRDF, IGF-2, IGF2, IGFII, MSA, PEG2, PP9974

Gene Symbol

IGF2

Additional IGF-II/IGF2 Products

Product Documents for IGF-II/IGF2 Antibody (8H1) - BSA Free

Certificate of Analysis

To download a Certificate of Analysis, please enter a lot number in the search box below.

Product Specific Notices for IGF-II/IGF2 Antibody (8H1) - BSA Free

This product is for research use only and is not approved for use in humans or in clinical diagnosis. Primary Antibodies are guaranteed for 1 year from date of receipt.

Loading...
Loading...
Loading...
Loading...
Loading...