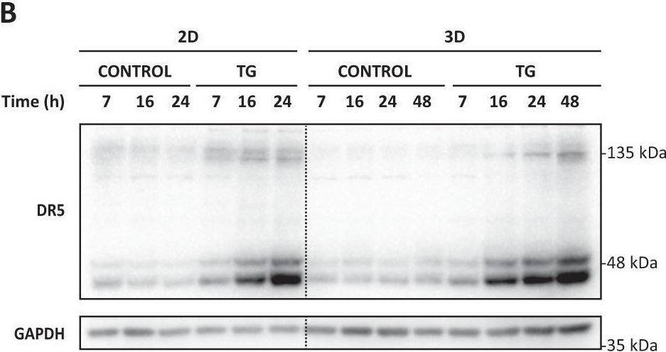
Detection of TRAIL R2/TNFRSF10B by Western Blot
PERK pathway activation upon ER stress in bidimensional cultures and multicellular tumor spheroids.HCT116 cells, in conventional 2D cultures or spheroids (3D) (10-days), were treated with TG (100 nM) for the indicated times. Activation of the PERK signaling pathway (A) and TRAIL-R2/DR5 protein levels (B) were assessed in whole-cell extracts by western blotting. alpha-tubulin or GAPDH were used as protein-loading controls. Image collected and cropped by CiteAb from the following open publication (https://pubmed.ncbi.nlm.nih.gov/35115486), licensed under a CC-BY license. Not internally tested by R&D Systems.
Detection of TRAIL R2/TNFRSF10B by Western Blot
cFLIP levels and caspase-8 activation upon ER stress in tumor cells.HCT116 cells were treated with TG (100 nM) for the indicated times. cFLIP and CHOP levels (A) as well as TRAIL-R2/DR5 upregulation, caspase-8 and caspase-3 processing (B) were determined in whole-cell extracts by western blotting. Levels of both cFLIP isoforms were quantified with Image LabTM 6.0 software using GAPDH as protein-loading control and graphed relative to time 0 levels. Blots are representative of three independent experiments. In A, two different exposures of the western blot are shown to follow the levels of the short isoform of cFLIP. C HCT116 cells were treated with TG (100 nM) for the indicated times and mRNA relative levels of cFLIPL (upper panel) and cFLIPS (lower panel) were examined by RT-qPCR as described in materials and methods and referred to time 0 h levels (ns = not statistically significant. Unpaired t test with Welch’s correction). Image collected and cropped by CiteAb from the following open publication (https://pubmed.ncbi.nlm.nih.gov/35115486), licensed under a CC-BY license. Not internally tested by R&D Systems.
Detection of Human TRAIL R2/TNFRSF10B by Western Blot
GCN2-dependent activation of the extrinsic pathway of apoptosis in tumor cells treated with AOA.A Apoptosis in HCT116 cells cultured for 48 h in complete medium with or without AOA in the presence or absence of non-essential amino acids (NEAA). B, C HCT116 cells were transfected either with a scrambled oligonucleotide (Sc) or with two different siRNAs targeting GCN2 (siGCN2#1 or #2). 48 hours after transfection, cells were either incubated for 16 h in the presence of absence of AOA to assess phosphorylated eIF2 alpha, eIF2 alpha and CHOP levels by Western blotting (B), or during 24 h to measure apoptosis (C). D HCT116 cells were transfected and treated as described in B. TRAIL-R2 and GCN2 levels were assessed by Western blotting. GAPDH was used as protein-loading control. E HCT116 cells stably expressing scrambled, caspase-8, or TRAIL-R2 targeting shRNA, were cultured in the presence or absence of AOA, and apoptosis was measured at 24 or 48 h. Caspase 8 and TRAIL-R2 knockdown were determined by Western blotting. In A, C and E, data are presented as mean ± SD from at least three independent experiments. *P < 0.05; ***P < 0.001; ****P < 0.0001; two-way ANOVA test. Tukey’s multiple comparison test. Image collected and cropped by CiteAb from the following open publication (https://pubmed.ncbi.nlm.nih.gov/36302756), licensed under a CC-BY license. Not internally tested by R&D Systems.
Detection of Human TRAIL R2/TNFRSF10B by Western Blot
Role of FLIP in cell death induced by glutamine deprivation.A HCT116 (left panel) or MDA-MB468 (right panel) cells were cultured in the presence or absence of glutamine for the indicated times. Tubulin and GAPDH were used as protein-loading controls. Following these treatments, FLIPL and FLIPS levels were assessed by Western blotting. B Apoptosis was assessed in pBabe or FLIPL overexpressing HCT116 cells cultured in the presence or absence of glutamine for 48 h (left panel). Procaspase-8 levels, caspase-8 activation (cC8) and FLIPL overexpression were determined by Western-blotting after 30 h of glutamine starvation (right panel). C Apoptosis was assessed in pBabe or FLIPL-overexpressing MDA-MB468 cells cultured in the presence or absence of glutamine for 48 h. FLIPL overexpression was detected by Western blotting. In B and C data are presented as mean ± SD from at least three independent experiments. **P < 0.01; ***P < 0.001; two-way ANOVA test. Tukey’s multiple comparison test. D HCT116 cells were cultured in the presence or absence of glutamine for 16 h, with or without dimethyl alpha-ketoglutarate (5 mM). FLIP levels, ISR activation and TRAIL-R2 upregulation were assessed by Western blotting. In E apoptosis was assessed in HCT116 cells cultured in the presence or absence of glutamine for 48 hours, with or without dimethyl alpha-ketoglutarate. Data are presented as mean ± SD from at least three independent experiments. **P < 0.01; ***P < 0.001; two-way ANOVA test. Tukey’s multiple comparison test. Image collected and cropped by CiteAb from the following open publication (https://pubmed.ncbi.nlm.nih.gov/36302756), licensed under a CC-BY license. Not internally tested by R&D Systems.
Detection of Human TRAIL R2/TNFRSF10B by Western Blot
Role of TRAIL-R2 in apoptosis induced by glutamine deprivation in tumor cells.A (HCT116) or B (MDA-MB468) cells stably expressing a scrambled (shSc) or a TRAIL-R2 targeting shRNA (shTRAIL-R2#1) were cultured with or without glutamine and apoptosis was assessed at the indicated times (HCT116) or 48 h (MDA-MB468). TRAIL-R2 knockdown was determined by Western blotting. Tubulin and GAPDH were used as protein-loading controls. Data are presented as mean ± SD from at least three independent experiments. **P < 0.01; ****P < 0.0001; two-way ANOVA test. Tukey’s multiple comparison test. C Procaspase-8 levels and caspase-8 activation (cC8) in HCT116 cells incubated in the presence or absence of glutamine for the indicated times. D Scrambled (Sc) or shTRAIL-R2#1 HCT116 cells were cultured in the presence or absence of glutamine for 24 h. Following this incubation, TRAIL-R2 levels, caspase-8 and caspase-3 activation, as well as procaspase-8 or procaspase-3 levels were assessed by Western blotting. Image collected and cropped by CiteAb from the following open publication (https://pubmed.ncbi.nlm.nih.gov/36302756), licensed under a CC-BY license. Not internally tested by R&D Systems.
Detection of Human TRAIL R2/TNFRSF10B by Western Blot
Role of TRAIL-R2 in apoptosis induced by glutamine deprivation in tumor cells.A (HCT116) or B (MDA-MB468) cells stably expressing a scrambled (shSc) or a TRAIL-R2 targeting shRNA (shTRAIL-R2#1) were cultured with or without glutamine and apoptosis was assessed at the indicated times (HCT116) or 48 h (MDA-MB468). TRAIL-R2 knockdown was determined by Western blotting. Tubulin and GAPDH were used as protein-loading controls. Data are presented as mean ± SD from at least three independent experiments. **P < 0.01; ****P < 0.0001; two-way ANOVA test. Tukey’s multiple comparison test. C Procaspase-8 levels and caspase-8 activation (cC8) in HCT116 cells incubated in the presence or absence of glutamine for the indicated times. D Scrambled (Sc) or shTRAIL-R2#1 HCT116 cells were cultured in the presence or absence of glutamine for 24 h. Following this incubation, TRAIL-R2 levels, caspase-8 and caspase-3 activation, as well as procaspase-8 or procaspase-3 levels were assessed by Western blotting. Image collected and cropped by CiteAb from the following open publication (https://pubmed.ncbi.nlm.nih.gov/36302756), licensed under a CC-BY license. Not internally tested by R&D Systems.
Detection of Human TRAIL R2/TNFRSF10B by Western Blot
Role of TRAIL-R2 in apoptosis induced by glutamine deprivation in tumor cells.A (HCT116) or B (MDA-MB468) cells stably expressing a scrambled (shSc) or a TRAIL-R2 targeting shRNA (shTRAIL-R2#1) were cultured with or without glutamine and apoptosis was assessed at the indicated times (HCT116) or 48 h (MDA-MB468). TRAIL-R2 knockdown was determined by Western blotting. Tubulin and GAPDH were used as protein-loading controls. Data are presented as mean ± SD from at least three independent experiments. **P < 0.01; ****P < 0.0001; two-way ANOVA test. Tukey’s multiple comparison test. C Procaspase-8 levels and caspase-8 activation (cC8) in HCT116 cells incubated in the presence or absence of glutamine for the indicated times. D Scrambled (Sc) or shTRAIL-R2#1 HCT116 cells were cultured in the presence or absence of glutamine for 24 h. Following this incubation, TRAIL-R2 levels, caspase-8 and caspase-3 activation, as well as procaspase-8 or procaspase-3 levels were assessed by Western blotting. Image collected and cropped by CiteAb from the following open publication (https://pubmed.ncbi.nlm.nih.gov/36302756), licensed under a CC-BY license. Not internally tested by R&D Systems.
Detection of Human TRAIL R2/TNFRSF10B by Western Blot
GCN2-dependent TRAIL-R2 upregulation upon glutamine deprivation in tumor cells.A HCT116 cells were cultured in the presence or absence of glutamine for the indicated times and TRAIL-R2 mRNA levels were measured by RT-qPCR (left panel). TRAIL-R2 and TRAIL-R1 protein levels were assessed by Western blotting (middle panel). GAPDH was used as protein-loading control. Cell surface TRAIL-R2 levels (right panel) were also analyzed in HCT116 and MDA-MB468 cell lines after 24 h of glutamine deprivation in the presence of 20 µM Q-VD-OPh, as described in Materials and Methods (MFI: geometric mean fluorescent intensity). B HCT116 cells were incubated for the indicated times in medium with or without glutamine, in the presence or absence of 1 µM A92. Western blotting was performed to determine TRAIL-R2, p-eIF2 alpha, eIF2 alpha and CHOP levels. C HCT116 cells stably expressing either a scrambled (Sc) or a GCN2 targeting sequence (shGCN2), were incubated for 17 h in the presence or absence of glutamine. Following this incubation, TRAIL-R2 mRNA levels were measured by RT-qPCR (left panel) and GCN2, CHOP and TRAIL-R2 protein levels were assessed by Western blotting (right panel). Image collected and cropped by CiteAb from the following open publication (https://pubmed.ncbi.nlm.nih.gov/36302756), licensed under a CC-BY license. Not internally tested by R&D Systems.
Detection of Human TRAIL R2/TNFRSF10B by Western Blot
GCN2-dependent TRAIL-R2 upregulation upon glutamine deprivation in tumor cells.A HCT116 cells were cultured in the presence or absence of glutamine for the indicated times and TRAIL-R2 mRNA levels were measured by RT-qPCR (left panel). TRAIL-R2 and TRAIL-R1 protein levels were assessed by Western blotting (middle panel). GAPDH was used as protein-loading control. Cell surface TRAIL-R2 levels (right panel) were also analyzed in HCT116 and MDA-MB468 cell lines after 24 h of glutamine deprivation in the presence of 20 µM Q-VD-OPh, as described in Materials and Methods (MFI: geometric mean fluorescent intensity). B HCT116 cells were incubated for the indicated times in medium with or without glutamine, in the presence or absence of 1 µM A92. Western blotting was performed to determine TRAIL-R2, p-eIF2 alpha, eIF2 alpha and CHOP levels. C HCT116 cells stably expressing either a scrambled (Sc) or a GCN2 targeting sequence (shGCN2), were incubated for 17 h in the presence or absence of glutamine. Following this incubation, TRAIL-R2 mRNA levels were measured by RT-qPCR (left panel) and GCN2, CHOP and TRAIL-R2 protein levels were assessed by Western blotting (right panel). Image collected and cropped by CiteAb from the following open publication (https://pubmed.ncbi.nlm.nih.gov/36302756), licensed under a CC-BY license. Not internally tested by R&D Systems.
Detection of Human TRAIL R2/TNFRSF10B by Western Blot
Role of FLIP in cell death induced by glutamine deprivation.A HCT116 (left panel) or MDA-MB468 (right panel) cells were cultured in the presence or absence of glutamine for the indicated times. Tubulin and GAPDH were used as protein-loading controls. Following these treatments, FLIPL and FLIPS levels were assessed by Western blotting. B Apoptosis was assessed in pBabe or FLIPL overexpressing HCT116 cells cultured in the presence or absence of glutamine for 48 h (left panel). Procaspase-8 levels, caspase-8 activation (cC8) and FLIPL overexpression were determined by Western-blotting after 30 h of glutamine starvation (right panel). C Apoptosis was assessed in pBabe or FLIPL-overexpressing MDA-MB468 cells cultured in the presence or absence of glutamine for 48 h. FLIPL overexpression was detected by Western blotting. In B and C data are presented as mean ± SD from at least three independent experiments. **P < 0.01; ***P < 0.001; two-way ANOVA test. Tukey’s multiple comparison test. D HCT116 cells were cultured in the presence or absence of glutamine for 16 h, with or without dimethyl alpha-ketoglutarate (5 mM). FLIP levels, ISR activation and TRAIL-R2 upregulation were assessed by Western blotting. In E apoptosis was assessed in HCT116 cells cultured in the presence or absence of glutamine for 48 hours, with or without dimethyl alpha-ketoglutarate. Data are presented as mean ± SD from at least three independent experiments. **P < 0.01; ***P < 0.001; two-way ANOVA test. Tukey’s multiple comparison test. Image collected and cropped by CiteAb from the following open publication (https://pubmed.ncbi.nlm.nih.gov/36302756), licensed under a CC-BY license. Not internally tested by R&D Systems.
Detection of Human TRAIL R2/TNFRSF10B by Western Blot
Role of TRAIL-R2 in apoptosis induced by glutamine deprivation in tumor cells.A (HCT116) or B (MDA-MB468) cells stably expressing a scrambled (shSc) or a TRAIL-R2 targeting shRNA (shTRAIL-R2#1) were cultured with or without glutamine and apoptosis was assessed at the indicated times (HCT116) or 48 h (MDA-MB468). TRAIL-R2 knockdown was determined by Western blotting. Tubulin and GAPDH were used as protein-loading controls. Data are presented as mean ± SD from at least three independent experiments. **P < 0.01; ****P < 0.0001; two-way ANOVA test. Tukey’s multiple comparison test. C Procaspase-8 levels and caspase-8 activation (cC8) in HCT116 cells incubated in the presence or absence of glutamine for the indicated times. D Scrambled (Sc) or shTRAIL-R2#1 HCT116 cells were cultured in the presence or absence of glutamine for 24 h. Following this incubation, TRAIL-R2 levels, caspase-8 and caspase-3 activation, as well as procaspase-8 or procaspase-3 levels were assessed by Western blotting. Image collected and cropped by CiteAb from the following open publication (https://pubmed.ncbi.nlm.nih.gov/36302756), licensed under a CC-BY license. Not internally tested by R&D Systems.
Detection of Human TRAIL R2/TNFRSF10B by Western Blot
GCN2-dependent activation of the extrinsic pathway of apoptosis in tumor cells treated with AOA.A Apoptosis in HCT116 cells cultured for 48 h in complete medium with or without AOA in the presence or absence of non-essential amino acids (NEAA). B, C HCT116 cells were transfected either with a scrambled oligonucleotide (Sc) or with two different siRNAs targeting GCN2 (siGCN2#1 or #2). 48 hours after transfection, cells were either incubated for 16 h in the presence of absence of AOA to assess phosphorylated eIF2 alpha, eIF2 alpha and CHOP levels by Western blotting (B), or during 24 h to measure apoptosis (C). D HCT116 cells were transfected and treated as described in B. TRAIL-R2 and GCN2 levels were assessed by Western blotting. GAPDH was used as protein-loading control. E HCT116 cells stably expressing scrambled, caspase-8, or TRAIL-R2 targeting shRNA, were cultured in the presence or absence of AOA, and apoptosis was measured at 24 or 48 h. Caspase 8 and TRAIL-R2 knockdown were determined by Western blotting. In A, C and E, data are presented as mean ± SD from at least three independent experiments. *P < 0.05; ***P < 0.001; ****P < 0.0001; two-way ANOVA test. Tukey’s multiple comparison test. Image collected and cropped by CiteAb from the following open publication (https://pubmed.ncbi.nlm.nih.gov/36302756), licensed under a CC-BY license. Not internally tested by R&D Systems.