Skip to main content

Key Product Details

Species Reactivity

Validated:

Human, Mouse

Cited:

Human, Mouse

Applications

Validated:

Immunohistochemistry, Western Blot, Immunoprecipitation

Cited:

Immunohistochemistry, Western Blot

Label

Unconjugated

Antibody Source

Polyclonal Sheep IgG

Product Specifications

Immunogen

Chinese hamster ovary cell line CHO-derived recombinant mouse ADAMTS1
Phe254-Cys725
Accession # P97857

Specificity

Detects human and mouse ADAMTS1 in direct ELISAs and Western blots. In direct ELISAs, less than 5% cross‑reactivity with recombinant human (rh) ADAMTS4 and rhADAMTS15 is observed and less than 1% cross‑reactivity with rhADAMTSL1.2, rhADAMTSL2, rhADAMTS5, rhADAMTS8, rhADAMTS10, rhADAMTS12, rhADAMTS13, and rhADAMTS16 is observed.

Clonality

Polyclonal

Host

Sheep

Isotype

IgG

Scientific Data Images for Human/Mouse ADAMTS1 Antibody

Detection of Human and Mouse ADAMTS1 antibody by Western Blot.

Detection of Human and Mouse ADAMTS1 by Western Blot.

Western blot shows lysates of P19 mouse embryonal carcinoma cell line and OVCAR-3 human ovarian carcinoma cell line. PVDF Membrane was probed with 1 µg/mL of Sheep Anti-Human/Mouse ADAMTS1 Antigen Affinity-purified Polyclonal Antibody (Catalog # AF5867) followed by HRP-conjugated Anti-Sheep IgG Secondary Antibody (Catalog # HAF016). A specific band was detected for ADAMTS1 at approximately 110 kDa (as indicated). This experiment was conducted under reducing conditions and using Immunoblot Buffer Group 8.
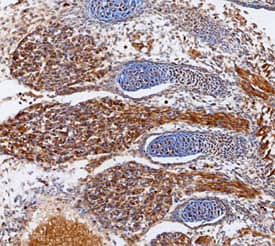
ADAMTS1 antibody in Mouse Embryo by Immunohistochemistry (IHC-Fr).

ADAMTS1 in Mouse Embryo.

ADAMTS1 was detected in immersion fixed frozen sections of mouse embryo (13 d.p.c.) using Sheep Anti-Human/Mouse ADAMTS1 Antigen Affinity-purified Polyclonal Antibody (Catalog # AF5867) at 15 µg/mL overnight at 4 °C. Tissue was stained using the Anti-Sheep HRP-DAB Cell & Tissue Staining Kit (brown; Catalog # CTS019) and counterstained with hematoxylin (blue). Specific staining was localized to cartilage primordium; dorsal ganglia cell bodies and processes. View our protocol for Chromogenic IHC Staining of Frozen Tissue Sections.
Detection of Human ADAMTS1 by Immunocytochemistry/Immunofluorescence

Detection of Human ADAMTS1 by Immunocytochemistry/Immunofluorescence

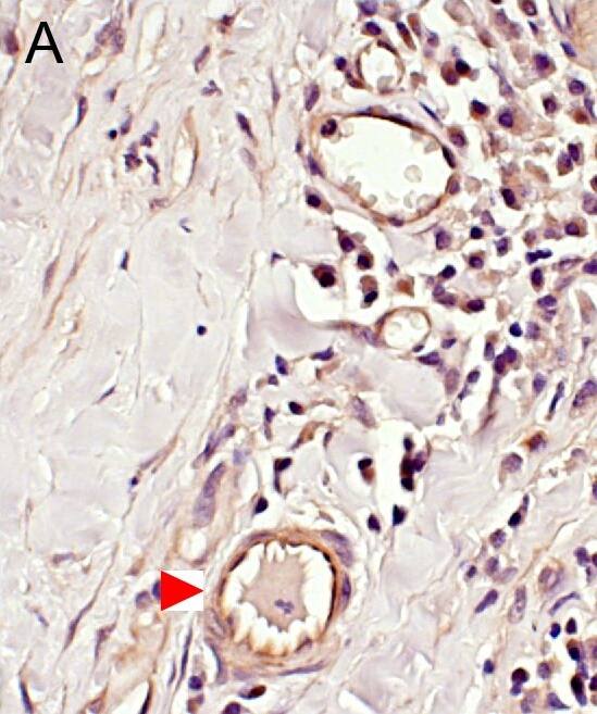
Immunohistochemical staining.(A) ADAMTS-1, (B) SMC marker alpha-actin, (C) macrophage marker in adventitial layer of human AAA aortas and (D) ADAMTS-1 in human non-aneurysmal control aortas. Staining of positive cells are seen in brown. The images are taken with 40X magnification and scale bar represent 50 μm. Red arrow indicates the same area. Image collected and cropped by CiteAb from the following publication (https://pubmed.ncbi.nlm.nih.gov/28570682), licensed under a CC-BY license. Not internally tested by R&D Systems.

Applications for Human/Mouse ADAMTS1 Antibody

Application
Recommended Usage

Immunohistochemistry

5-15 µg/mL
Sample: Immersion fixed frozen sections of mouse embryo (13 d.p.c.)

Immunoprecipitation

25 µg/mL
Sample: Conditioned cell culture medium spiked with Recombinant Mouse ADAMTS1 (Catalog # 5867-AD), see our available Western blot detection antibodies

Western Blot

1 µg/mL
Sample: P19 mouse embryonal carcinoma cell line and OVCAR‑3  human ovarian carcinoma cell line

Formulation, Preparation, and Storage

Purification

Antigen Affinity-purified

Reconstitution

Reconstitute at 0.2 mg/mL in sterile PBS. For liquid material, refer to CoA for concentration.

Reconstitution Buffer Available:
Size / Price
Qty
Loading...

Formulation

Lyophilized from a 0.2 μm filtered solution in PBS with Trehalose. *Small pack size (SP) is supplied either lyophilized or as a 0.2 µm filtered solution in PBS.

Shipping

Lyophilized product is shipped at ambient temperature. Liquid small pack size (-SP) is shipped with polar packs. Upon receipt, store immediately at the temperature recommended below.

Stability & Storage

Use a manual defrost freezer and avoid repeated freeze-thaw cycles.
  • 12 months from date of receipt, -20 to -70 °C as supplied.
  • 1 month, 2 to 8 °C under sterile conditions after reconstitution.
  • 6 months, -20 to -70 °C under sterile conditions after reconstitution.

Background: ADAMTS1

ADAMTS1 (a disintegrin and metalloproteinase with thrombospondin motifs 1), also known as METH1, is the founding member of the family of secreted zinc proteases with a multidomain structure (1-3). The protein precursor consists of a signal peptide and the following domains: pro, catalytic, disintegrinlike, TS type 1 motif, cysteine rich, spacer and a variable number of thrombospondin type 1 motifs. Based on their substrate specificity, ADAMTS1 and associated family members may be key enzymes in the degradation of cartilage leading to inflammation and arthritis (4). It is an active protease cleaving alpha2macroglobulin (5), aggrecan (6), and versican (7). Compared to ADAMTS4 (aggrecanase 1) and ADAMTS5 (aggrecanase 2), the aggrecanase activity of ADAMTS1 is lower. However, its activity can be enhanced by the binding of a cofactor such as fibulin1 (8). ADAMTS1 is essential for normal growth and the structure and function of the kidneys, adrenal glands and female reproductive organs (9). It also plays an important role in atherosclerosis (10). It has been shown to inhibit endothelial cell proliferation by direct binding and sequestration of VEGF165 and to inhibit fibroblast migration at high concentrations by binding to FGF 2 (11, 12). The purified rmADAMTS1 starts at the N terminus of the catalytic domain and ends in the Cys-rich domain.

References

  1. Vazquez, F. et al. (1999) J. Biol. Chem. 274:23349.
  2. Kuno, K. et al. (1997) J. Biol. Chem. 272:556.
  3. Porter, S. et al. (2005) Biochem. J. 386:15.
  4. Nagase, H. and M. Kashiwagi (2003) Arthritis Res. Ther. 5:94.
  5. Kuno, K. et al. (1999) J. Biol. Chem. 274:18821.
  6. Kuno, K. et al. (2000) FEBS Lett. 478:241.
  7. Russel, D. L. et al. (2003) J. Biol. Chem. 278:42330.
  8. Lee, N. et al. (2005) J. Biol. Chem. 280:34796.
  9. Shindo, T. et al. (2000) J. Clin. Invest. 105:1345.
  10. Wight, T.N. (2005) Arterioscler Thromb. Vasc. Biol. 25:12.
  11. Luque, A. et al. (2003) J. Biol. Chem. 278:23656.
  12. Krampert, M. et al. (2005) J. Biol. Chem. 280:23844.

Long Name

A Disintegrin-like and Metalloproteinase Domain with Thrombospondin Motifs 1

Alternate Names

C3-C5, METH1

Entrez Gene IDs

9510 (Human)

Gene Symbol

ADAMTS1

UniProt

Additional ADAMTS1 Products

Product Documents for Human/Mouse ADAMTS1 Antibody

Certificate of Analysis

To download a Certificate of Analysis, please enter a lot number in the search box below.

Note: Certificate of Analysis not available for kit components.

Product Specific Notices for Human/Mouse ADAMTS1 Antibody

For research use only

Loading...
Loading...
Loading...
Loading...
Loading...