Skip to main content

HSP90 Antibody (4D1) - BSA Free

Novus Biologicals, part of Bio-Techne | Catalog # NBP3-15147

Recombinant monoclonal antibody expressed in HEK293F cells
Novus Biologicals, part of Bio-Techne
Catalog #
Availability
Size / Price
Qty
Loading...
NBP3-15147

Key Product Details

Species Reactivity

Human

Applications

ELISA, Immunocytochemistry/ Immunofluorescence, Immunohistochemistry, Western Blot

Label

Unconjugated

Antibody Source

Recombinant Monoclonal Rabbit IgG Clone # 4D1 expressed in HEK293

Format

BSA Free

Concentration

Please see the vial label for concentration. If unlisted please contact technical services.

Product Specifications

Immunogen

A synthesized peptide derived from human HSP90. UniProt ID (P07900).

Clonality

Monoclonal

Host

Rabbit

Isotype

IgG

Description

Novus Biologicals Rabbit HSP90 Antibody (4D1) - BSA Free (NBP3-15147) is a recombinant monoclonal antibody validated for use in IHC, WB, ELISA and ICC/IF. All Novus Biologicals antibodies are covered by our 100% guarantee.

Scientific Data Images for HSP90 Antibody (4D1) - BSA Free

Western Blot: HSP90 Antibody (4D1) [NBP3-15147]

Western Blot: HSP90 Antibody (4D1) [NBP3-15147]

Western Blot: HSP90 Antibody (4D1) [NBP3-15147] - Positive WB detected in: Jurkat whole cell lysate. All lanes: HSP90 antibody at 1.9ug/ml. Secondary: Goat polyclonal to rabbit IgG at 1/50000 dilution. Predicted band size: 85, 99 KDa. Observed band size: 90 KDa.
Immunocytochemistry/ Immunofluorescence: HSP90 Antibody (4D1) [NBP3-15147]

Immunocytochemistry/ Immunofluorescence: HSP90 Antibody (4D1) [NBP3-15147]

Immunocytochemistry/Immunofluorescence: HSP90 Antibody (4D1) [NBP3-15147] - Immunofluorescence staining of NIH/3T3 cells with at HSP90 antibody 1:63, counter-stained with DAPI. The cells were fixed in 4% formaldehyde, permeabilized using 0.2% Triton X-100 and blocked in 10% normal Goat Serum. The cells were then incubated with the antibody overnight at 4C. The secondary antibody was Alexa Fluor 488-congugated Goat Anti-Rabbit IgG (H+L).
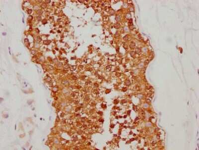
Immunohistochemistry: HSP90 Antibody (4D1) [NBP3-15147]

Immunohistochemistry: HSP90 Antibody (4D1) [NBP3-15147]

Immunohistochemistry: HSP90 Antibody (4D1) [NBP3-15147] - IHC image of HSP90 antibody diluted at 1:190 and staining in paraffin-embedded human testis tissue. After dewaxing and hydration, antigen retrieval was mediated by high pressure in a citrate buffer (pH 6.0). Section was blocked with 10% normal goat serum 30 minutes at RT. Then primary antibody (1% BSA) was incubated at 4C overnight. The primary is detected by a biotinylated secondary antibody and visualized using an HRP conjugated SP system.

Applications for HSP90 Antibody (4D1) - BSA Free

Application
Recommended Usage

Immunohistochemistry

1:50-1:200

Western Blot

1:500-1:5000

Formulation, Preparation, and Storage

Purification

Affinity purified

Formulation

PBS, pH 7.4, 150mM NaCl, and 50% glycerol

Format

BSA Free

Preservative

0.02% Sodium Azide

Concentration

Please see the vial label for concentration. If unlisted please contact technical services.

Shipping

The product is shipped with polar packs. Upon receipt, store it immediately at the temperature recommended below.

Stability & Storage

Store at -20 to -70C. Avoid freeze-thaw cycles.

Background: HSP90

Hsp90 has at least 2 isoforms, Hsp90a and Hsp90b which are encoded by separate genes. These ubiquitous and highly conserved proteins account for 1-2% of all cellular proteins in most cells. Hsp90 is part of the cells powerful network of chaperones to fight the deleterious consequences of protein unfolding caused by nonphysiological conditions. However, in the absence of stress, Hsp90 is a necessary component of fundamental cellular processes such as hormone signaling and cell cycle control. In this context several key regulatory proteins such as steroid receptors, cell cycle kinases involved in signal transduction and p53 have been identified as substrates of Hsp90. It has been suggested that Hsp90 acts as a capacitor for morphological evolution by buffering widespread variation, which may affect morphogenic pathways.

Long Name

Heat Shock Protein 90

Alternate Names

FLJ31884, Heat shock 86 kDa, heat shock 90kD protein 1, alpha, heat shock 90kD protein 1, alpha-like 4, heat shock 90kD protein, alpha-like 4, heat shock 90kDa protein 1, alpha, heat shock protein 90kDa alpha (cytosolic), class A member 1, heat shock protein HSP 90-alpha, Hsp89, Hsp90, HSP90AHSP86, HSP90N, HSPC1HSP 86, HSPCAHSP89A, HSPCAL1, HSPCAL4, HSPN, LAP2, Renal carcinoma antigen NY-REN-38

Gene Symbol

HSP90AA1

Additional HSP90 Products

Product Documents for HSP90 Antibody (4D1) - BSA Free

Certificate of Analysis

To download a Certificate of Analysis, please enter a lot number in the search box below.

Product Specific Notices for HSP90 Antibody (4D1) - BSA Free

This product is for research use only and is not approved for use in humans or in clinical diagnosis. Primary Antibodies are guaranteed for 1 year from date of receipt.

Loading...
Loading...
Loading...
Loading...