Skip to main content

HSP90 alpha [ac Lys294] Antibody - BSA Free

Novus Biologicals, part of Bio-Techne | Catalog # NBP1-77944

Novus Biologicals, part of Bio-Techne
Catalog #
Availability
Size / Price
Qty
Loading...
NBP1-77944

Key Product Details

Validated by

Biological Validation

Species Reactivity

Validated:

Human

Cited:

Human

Applications

Validated:

Immunohistochemistry, Immunohistochemistry-Paraffin, Western Blot, ELISA

Cited:

Western Blot

Label

Unconjugated

Antibody Source

Polyclonal Rabbit IgG

Format

BSA Free

Concentration

Please see the vial label for concentration. If unlisted please contact technical services.

Product Specifications

Immunogen

This affinity purified HSP90 alpha [ac Lys294] Antibody was prepared from whole rabbit serum produced by repeated immunizations with a synthetic peptide corresponding to amino acids surrounding K294 of human HSP90 alpha. (Uniprot: P07900)

Reactivity Notes

A BLAST analysis was used to suggest cross-reactivity with HSP90 alpha from human, mouse, rat, monkey, chicken and Drosophila based on 100% homology with the immunizing sequence. Reactivity of this antibody with HSP90 alpha from other species is unknown.

Modification

ac Lys294

Specificity

This affinity purified antibody is directed against human HSP90 alpha protein acetylated at K294. While ELISA data show strong reactivity with the acetylated form of the immunizing peptide and minimal reactivity with the non-acetylated form, to date western blotting data are not definitive for acetyl K294 specificity as blots show equivalent staining of lysates from cells either treated or untreated with Trichostatin A (an HDAC inhibitor). A BLAST analysis was used to suggest cross-reactivity with HSP90 alpha from human, mouse, rat, monkey, chicken and Drosophila based on 100% homology with the immunizing sequence. Reactivity of this antibody with HSP90 alpha from other species is unknown.

Clonality

Polyclonal

Host

Rabbit

Isotype

IgG

Description

This affinity purified antibody is directed against human Hsp90 protein acetylated at K294. The product was affinity purified from monospecific antiserum by immunoaffinity chromatography using acetyl-peptide coupled to agarose beads followed by solid phase adsorption against non-acetyl peptide

Store vial at -20C prior to opening. Aliquot contents and freeze at -20C or below for extended storage. Avoid cycles of freezing and thawing. Centrifuge product if not completely clear after standing at room temperature. This product is stable for several weeks at 4C as an undiluted liquid. Dilute only prior to immediate use.

Scientific Data Images for HSP90 alpha [ac Lys294] Antibody - BSA Free

Western Blot: HSP90 alpha [ac Lys294] Antibody [NBP1-77944]

Western Blot: HSP90 alpha [ac Lys294] Antibody [NBP1-77944]

Western Blot: HSP90 alpha [ac Lys294] Antibody [NBP1-77944] - Shows detection of a band at ~90 kDa corresponding to Hsp90 in an SkBr3 cell lysate (arrowhead) after treatment with Trichostatin A (an HDAC inhibitor). Western blotting results do not definitively demonstrate the acetyl K294 specificity of this reagent because similar staining is seen in the control lane (no treatment with TSA). Immunoprecipitation with anti-Hsp90 was performed prior to western blotting with anti-Hsp90 acetyl K294.
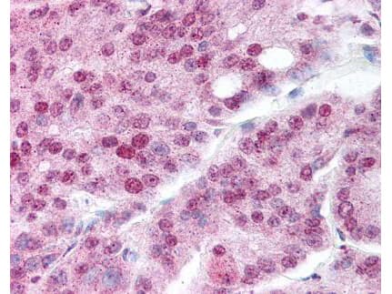
Immunohistochemistry: HSP90 alpha [ac Lys294] Antibody [NBP1-77944]

Immunohistochemistry: HSP90 alpha [ac Lys294] Antibody [NBP1-77944]

Immunohistochemistry: HSP90 alpha [ac Lys294] Antibody [NBP1-77944] - Used at 20 ug/ml to detect signal in a variety of tissues including multi-human, multi-brain and multi-cancer slides. This image shows moderate nuclear and granular cytoplasmic positive staining in human prostate carcinoma at 40X. Tissue was formalin-fixed and paraffin embedded. The image shows localization of the antibody as the precipitated red signal, with a hematoxylin purple nuclear counterstain.
HSP90 alpha [ac Lys294] Antibody

HSP90 alpha [ac Lys294] Antibody

affinity purified anti-Hsp90 acetyl K294 antibody was used at 20 ug/ml to detect signal in a variety of tissues including multi-human, multi-brain and multi-cancer slides. This image shows moderate nuclear and granular cytoplasmic positive staining in human prostate carcinoma at 40X. Tissue was formalin-fixed and paraffin embedded. The image shows localization of the antibody as the precipitated red signal, with a hematoxylin purple nuclear counterstain. Personal Communication, Tina Roush, LifeSpanBiosciences, Seattle, WA.

Applications for HSP90 alpha [ac Lys294] Antibody - BSA Free

Application
Recommended Usage

ELISA

1:2500-1:10000

Immunohistochemistry

5-10 ug/ml

Immunohistochemistry-Paraffin

20 ug/ml

Western Blot

1:500-1:2500
Application Notes
This affinity purified antibody has been tested for use in ELISA, immunohistochemistry and western blot. This antibody reacts strongly with the acetylated form of the immunizing peptide and shows minimal reactivity with the non-acetylated form when tested by ELISA. To date, western blotting shows equivalent staining of lysates either treated or untreated with Trichostatin A (an HDAC inhibitor). Therefore, western blotting results are not definitive for demonstrating the specificity of this reagent. Specific conditions for reactivity should be optimized by the end user. Expect a band approximately 90 kDa in size corresponding to Hsp90 protein by western blotting in the appropriate cell lysate or extract.

Formulation, Preparation, and Storage

Purification

Immunogen affinity purified

Formulation

0.02 M Potassium Phosphate, 0.15 M Sodium Chloride, pH 7.2

Format

BSA Free

Preservative

0.01% Sodium Azide

Concentration

Please see the vial label for concentration. If unlisted please contact technical services.

Shipping

The product is shipped with polar packs. Upon receipt, store it immediately at the temperature recommended below.

Stability & Storage

Store at -20C short term. Aliquot and store at -80C long term. Avoid freeze-thaw cycles.

Background: HSP90 alpha

Hsp90 is a member of the heat shock protein 90 family, the members of which are highly conserved between isoforms and species. Hsp90 functions as a molecular chaperone and has ATPase activity. Hsp90 is a cytoplasmic protein that forms a homodimer in vivo and interacts with TOM34, AHSA1, HDAC6 and SMYD3. Several signal transduction pathways depend on Hsp90 function, including pathways involving erbB2, hypoxia sensitivity (Hif1 alpha), and steroid hormone receptors (for example, androgen, progesterone, glucocorticoid, and aryl-hydrocarbon). Recent reports show that Hsp90 from tumor cells has increased sensitivity to small molecule inhibitors (for example, 17AAG). The mechanism of the differential sensitivity of Hsp90 from normal versus tumor cells is unknown, although mutation has been ruled out. One possible mechanism may be differences in post-translational modification of tumor Hsp90. K294 was found to be acetylated in purified Hsp90 from SkBr3 cells, a breast cancer cell line.

Long Name

Heat Shock Protein 90 alpha

Alternate Names

HSP86, HSP89A, HSP90A, HSP90AA1, HSP90N, HSPC1, HSPCA, HSPCAL1, HSPCAL4, HSPN, LAP2

Gene Symbol

HSP90AA1

Additional HSP90 alpha Products

Product Documents for HSP90 alpha [ac Lys294] Antibody - BSA Free

Certificate of Analysis

To download a Certificate of Analysis, please enter a lot number in the search box below.

Product Specific Notices for HSP90 alpha [ac Lys294] Antibody - BSA Free

This product is for research use only and is not approved for use in humans or in clinical diagnosis. Primary Antibodies are guaranteed for 1 year from date of receipt.

Loading...
Loading...
Loading...
Loading...