Skip to main content

HOXC10 Antibody (OTI5C10) - Azide and BSA Free

Novus Biologicals, part of Bio-Techne | Catalog # NBP2-70909

Novus Biologicals, part of Bio-Techne

Key Product Details

Species Reactivity

Human, Mouse, Rat

Applications

Immunohistochemistry, Immunohistochemistry-Paraffin, Western Blot

Label

Unconjugated

Antibody Source

Monoclonal Mouse IgG2B Clone # OTI5C10

Format

Azide and BSA Free

Concentration

LYOPH mg/ml

Product Specifications

Immunogen

Human recombinant protein fragment corresponding to amino acids 1-262 of human HOXC10(NP_059105) produced in E.coli.

Reactivity Notes

Please note that this antibody is reactive to Mouse and derived from the same host, Mouse. Mouse-On-Mouse blocking reagent may be needed for IHC and ICC experiments to reduce high background signal. You can find these reagents under catalog numbers PK-2200-NB and MP-2400-NB. Please contact Technical Support if you have any questions.

Clonality

Monoclonal

Host

Mouse

Isotype

IgG2B

Theoretical MW

37.9 kDa.
Disclaimer note: The observed molecular weight of the protein may vary from the listed predicted molecular weight due to post translational modifications, post translation cleavages, relative charges, and other experimental factors.

Description

Novus Biologicals Mouse HOXC10 Antibody (OTI5C10) - Azide and BSA Free (NBP2-46000) is a monoclonal antibody validated for use in IHC and WB. All Novus Biologicals antibodies are covered by our 100% guarantee.

Scientific Data Images for HOXC10 Antibody (OTI5C10) - Azide and BSA Free

Western Blot: HOXC10 Antibody (OTI5C10)Azide and BSA Free [NBP2-70909]

Western Blot: HOXC10 Antibody (OTI5C10)Azide and BSA Free [NBP2-70909]

Western Blot: HOXC10 Antibody (OTI5C10) - Azide and BSA Free [NBP2-70909] - Analysis of HEK293T cells were transfected with the pCMV6-ENTRY control (Left lane) or pCMV6-ENTRY HOXC10 .
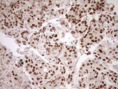
Immunohistochemistry: HOXC10 Antibody (OTI5C10) - Azide and BSA Free [NBP2-70909]

Immunohistochemistry: HOXC10 Antibody (OTI5C10) - Azide and BSA Free [NBP2-70909]

Immunohistochemistry: HOXC10 Antibody (OTI5C10) - Azide and BSA Free [NBP2-70909] - Analysis of Human liver tissue. (Heat-induced epitope retrieval by 1mM EDTA in 10mM Tris buffer (pH8.5) at 120C for 3 min)(1:150)
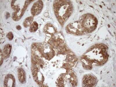
Immunohistochemistry: HOXC10 Antibody (OTI5C10) - Azide and BSA Free [NBP2-70909]

Immunohistochemistry: HOXC10 Antibody (OTI5C10) - Azide and BSA Free [NBP2-70909]

Immunohistochemistry: HOXC10 Antibody (OTI5C10) - Azide and BSA Free [NBP2-70909] - Analysis of Adenocarcinoma of Human breast tissue. (Heat-induced epitope retrieval by 1mM EDTA in 10mM Tris buffer (pH8.5) at 120C for 3 min)(1:150)

Applications for HOXC10 Antibody (OTI5C10) - Azide and BSA Free

Application
Recommended Usage

Immunohistochemistry

1:150

Western Blot

1:2000

Formulation, Preparation, and Storage

Purification

Immunogen affinity purified

Reconstitution

we recommend adding 100uL distilled water to a final antibody concentration of about 1 mg/mL. To use this carrier-free antibody for conjugation experiment, we strongly recommend performing another round of desalting process.

Formulation

Lyophilized from PBS (pH 7.3) with 8% Trehalose

Format

Azide and BSA Free

Preservative

No Preservative

Concentration

LYOPH mg/ml

Shipping

The product is shipped with polar packs. Upon receipt, store it immediately at the temperature recommended below.

Stability & Storage

Store at -20C. Avoid freeze-thaw cycles.

Background: HOXC10

HOXC10 is 342 amino acids long, weighing approximately 38 kDa, that functions as a sequence-specific transcription factor which focuses on the specific positional identities of cells on the anterior-posterior axis, which is all part of a developmental regulatory system. Current studies are being done on several diseases and disorders including squamous cell carcinoma, cervicitis, lung carcinoma, and neuronitis. HOXB8 has also been shown to have interactions with EGFR, CDC27, SUMO2, NUP205, and YWHAG.

Alternate Names

homeo box C10, homeobox C10, Homeobox protein Hox-3I, homeobox protein Hox-C10, homeoprotein C10, HOX3I, MGC5259

Gene Symbol

HOXC10

Additional HOXC10 Products

Product Documents for HOXC10 Antibody (OTI5C10) - Azide and BSA Free

Certificate of Analysis

To download a Certificate of Analysis, please enter a lot number in the search box below.

Product Specific Notices for HOXC10 Antibody (OTI5C10) - Azide and BSA Free

This product is for research use only and is not approved for use in humans or in clinical diagnosis. Primary Antibodies are guaranteed for 1 year from date of receipt.

Loading...
Loading...
Loading...
Loading...
Loading...