Skip to main content

HLX1 Antibody - BSA Free

Novus Biologicals, part of Bio-Techne | Catalog # NBP3-46105

Novus Biologicals, part of Bio-Techne
Catalog #
Availability
Size / Price
Qty
Loading...
NBP3-46105

Key Product Details

Species Reactivity

Human, Mouse, Rat

Applications

Immunohistochemistry, Western Blot, ELISA

Label

Unconjugated

Antibody Source

Polyclonal Rabbit IgG

Format

BSA Free

Concentration

Please see the vial label for concentration. If unlisted please contact technical services.

Product Specifications

Immunogen

H2.0-like homeobox. (Uniprot# Q14774)

Clonality

Polyclonal

Host

Rabbit

Isotype

IgG

Theoretical MW

50 kDa.
Disclaimer note: The observed molecular weight of the protein may vary from the listed predicted molecular weight due to post translational modifications, post translation cleavages, relative charges, and other experimental factors.

Description

Novus Biologicals Rabbit HLX1 Antibody - BSA Free (NBP3-46105) is a polyclonal antibody validated for use in IHC, WB and ELISA. All Novus Biologicals antibodies are covered by our 100% guarantee.

Scientific Data Images for HLX1 Antibody - BSA Free

HLX1 Antibody - BSA Free

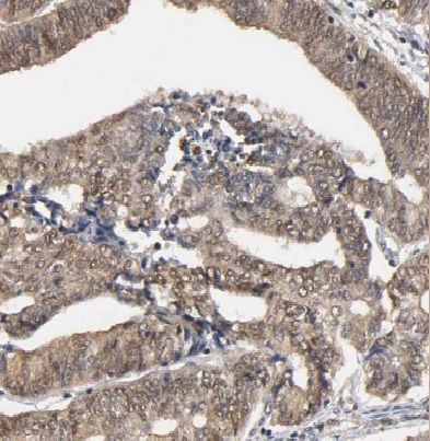
Immunohistochemistry: HLX1 Antibody - BSA Free [NBP3-46105] -

Immunohistochemistry: HLX1 Antibody - BSA Free [NBP3-46105] - Immunohistochemistry of paraffin-embedded human endometrial cancer using (HLX1 antibody) at dilution of 1:100
HLX1 Antibody - BSA Free

Western Blot: HLX1 Antibody - BSA Free [NBP3-46105] -

Western Blot: HLX1 Antibody - BSA Free [NBP3-46105] - Human placenta tissue were subjected to SDS PAGE followed by western blot with (HLX1 antibody) at dilution of 1:500

Applications for HLX1 Antibody - BSA Free

Application
Recommended Usage

Immunohistochemistry

1:20-1:200

Western Blot

1:500-1:2000

Formulation, Preparation, and Storage

Purification

Immunogen affinity purified

Formulation

PBS, 50% Glycerol, pH (7.3)

Format

BSA Free

Preservative

0.02% Sodium Azide

Concentration

Please see the vial label for concentration. If unlisted please contact technical services.

Shipping

The product is shipped with polar packs. Upon receipt, store it immediately at the temperature recommended below.

Stability & Storage

Store at -20C. Avoid freeze-thaw cycles.

Background: HLX1

Transcription factor required for TBX21/T-bet-dependent maturation of Th1 cells as well as maintenance ofTh1-specific gene expression. Involved in embryogenesis and hematopoiesis

Alternate Names

H2.0 (Drosophila)-like homeo box 1, H2.0-like homeo box 1, H2.0-like homeo box-1, H2.0-like homeobox, H2.0-like homeobox 1, H2.0-like homeobox protein, HB24, HLX1H2.0-like homeobox 1 (Drosophila), Homeobox protein HB24, Homeobox protein HLX1

Gene Symbol

HLX

Additional HLX1 Products

Product Documents for HLX1 Antibody - BSA Free

Certificate of Analysis

To download a Certificate of Analysis, please enter a lot number in the search box below.

Product Specific Notices for HLX1 Antibody - BSA Free

This product is for research use only and is not approved for use in humans or in clinical diagnosis. Primary Antibodies are guaranteed for 1 year from date of receipt.

Loading...
Loading...
Loading...
Loading...