Skip to main content

HIPK4 Antibody

Novus Biologicals, part of Bio-Techne | Catalog # NBP3-12399

Novus Biologicals, part of Bio-Techne
Catalog #
Availability
Size / Price
Qty
Loading...
NBP3-12399

Key Product Details

Species Reactivity

Human, Mouse, Rat, Primate

Applications

Immunohistochemistry, Immunohistochemistry-Paraffin, Western Blot, ELISA, Immunoprecipitation

Label

Unconjugated

Antibody Source

Polyclonal Rabbit

Concentration

Please see the vial label for concentration. If unlisted please contact technical services.

Product Specifications

Immunogen

Synthetic peptide taken within amino acid region 470-550 on human Homeodomain-interacting protein kinase 4.

Reactivity Notes

Baboon (100%).

Clonality

Polyclonal

Host

Rabbit

Description

Novus Biologicals Rabbit HIPK4 Antibody (NBP3-12399) is a polyclonal antibody validated for use in IHC, WB, ELISA and IP. All Novus Biologicals antibodies are covered by our 100% guarantee.

Scientific Data Images for HIPK4 Antibody

Western Blot: HIPK4 Antibody [NBP3-12399]

Western Blot: HIPK4 Antibody [NBP3-12399]

Western Blot: HIPK4 Antibody [NBP3-12399] - 1) Wild type mouse testis extract 10 uL. ) 2) kO mouse testis extract 10 uL. 3) 3T3 cells overexpressing mouse 2.5 uL. Apparent MW is 72-80 KDa. 1:250 dilution in DilObuffer.
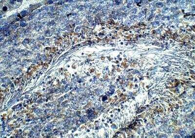
Immunohistochemistry-Paraffin: HIPK4 Antibody [NBP3-12399]

Immunohistochemistry-Paraffin: HIPK4 Antibody [NBP3-12399]

Immunohistochemistry-Paraffin: HIPK4 Antibody [NBP3-12399] - Rat testis. 1:50. IHC blocking buffer. DAB (brown) staining in Hematoxlyin QS (blue) counerstain. 40x magnification.
Western Blot: HIPK4 Antibody [NBP3-12399]

Western Blot: HIPK4 Antibody [NBP3-12399]

Western Blot: HIPK4 Antibody [NBP3-12399] - Lane A: Human over expressing NIH 3T3 cells reduced. Lane B: Mouse over expressing NIH 3T3 cells. Lane C: Mock transfected NIH 3TS3 cells. Dilution 1:500. Total protein per lane 2.5 ug. Apparent MW is 72-80 KDa.

Applications for HIPK4 Antibody

Application
Recommended Usage

ELISA

1:5000

Immunohistochemistry-Paraffin

1:50-1:150

Immunoprecipitation

1:200

Western Blot

1:2500-1:5000

Formulation, Preparation, and Storage

Purification

Affinity purified

Formulation

Contains Tris, HCl/glycine buffer (pH 7.4-7.8), 30% glycerol, 0.5% BSA, along with cryo-protective agents, and HEPES (exact storage and stabilization buffer information is proprietary).

Preservative

0.02% Sodium Azide

Concentration

Please see the vial label for concentration. If unlisted please contact technical services.

Shipping

The product is shipped with polar packs. Upon receipt, store it immediately at the temperature recommended below.

Stability & Storage

Store at 4C short term. Store at -20C long term. Avoid freeze-thaw cycles.

Background: HIPK4

Protein kinase that phosphorylates human TP53 at Ser-9, and thus induces TP53 repression of BIRC5 promoter. May act as a corepressor of transcription factors (Potential)

Alternate Names

EC 2.7.11.1, FLJ32818, homeodomain interacting protein kinase 4, homeodomain-interacting protein kinase 4

Gene Symbol

HIPK4

Additional HIPK4 Products

Product Documents for HIPK4 Antibody

Certificate of Analysis

To download a Certificate of Analysis, please enter a lot number in the search box below.

Product Specific Notices for HIPK4 Antibody

This product is for research use only and is not approved for use in humans or in clinical diagnosis. Primary Antibodies are guaranteed for 1 year from date of receipt.

Loading...
Loading...
Loading...
Loading...