Skip to main content

HCG3 Antibody - BSA Free

Novus Biologicals, part of Bio-Techne | Catalog # NBP3-47991

Novus Biologicals, part of Bio-Techne
Catalog #
Availability
Size / Price
Qty
Loading...
NBP3-47991

Key Product Details

Species Reactivity

Human, Mouse, Rat

Applications

Immunohistochemistry, Western Blot, ELISA

Label

Unconjugated

Antibody Source

Polyclonal Rabbit IgG

Format

BSA Free

Concentration

Please see the vial label for concentration. If unlisted please contact technical services.

Product Specifications

Immunogen

DnaJ(Hsp40) homolog, subfamily B, member 3. (Uniprot# Q8WWF6)

Clonality

Polyclonal

Host

Rabbit

Isotype

IgG

Theoretical MW

28 kDa.
Disclaimer note: The observed molecular weight of the protein may vary from the listed predicted molecular weight due to post translational modifications, post translation cleavages, relative charges, and other experimental factors.

Description

Novus Biologicals Rabbit HCG3 Antibody - BSA Free (NBP3-47991) is a polyclonal antibody validated for use in IHC, WB and ELISA. All Novus Biologicals antibodies are covered by our 100% guarantee.

Scientific Data Images for HCG3 Antibody - BSA Free

HCG3 Antibody - BSA Free

Western Blot: HCG3 Antibody - BSA Free [NBP3-47991] -

Western Blot: HCG3 Antibody - BSA Free [NBP3-47991] - Mouse testis tissue were subjected to SDS PAGE followed by western blot with (HCG3 antibody) at dilution of 1:800
HCG3 Antibody - BSA Free

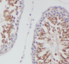
Immunohistochemistry: HCG3 Antibody - BSA Free [NBP3-47991] -

Immunohistochemistry: HCG3 Antibody - BSA Free [NBP3-47991] - Immunohistochemistry of paraffin-embedded human testis using (HCG3 antibody) at dilution of 1:100

Applications for HCG3 Antibody - BSA Free

Application
Recommended Usage

Immunohistochemistry

1:20-1:200

Western Blot

1:1000-1:4000

Formulation, Preparation, and Storage

Purification

Immunogen affinity purified

Formulation

PBS, 50% Glycerol, pH (7.3)

Format

BSA Free

Preservative

0.02% Sodium Azide

Concentration

Please see the vial label for concentration. If unlisted please contact technical services.

Shipping

The product is shipped with polar packs. Upon receipt, store it immediately at the temperature recommended below.

Stability & Storage

Store at -20C. Avoid freeze-thaw cycles.

Background: HCG3

HCG3 may operate as a co-chaperone of the male germ cell- and haploid stage-specific Hsp70 proteins (Potential)

Alternate Names

DnaJ (Hsp40) homolog, subfamily B, member 3, dnaJ homolog subfamily B member 3, HCG3MGC26879

Gene Symbol

DNAJB3

Additional HCG3 Products

Product Documents for HCG3 Antibody - BSA Free

Certificate of Analysis

To download a Certificate of Analysis, please enter a lot number in the search box below.

Product Specific Notices for HCG3 Antibody - BSA Free

This product is for research use only and is not approved for use in humans or in clinical diagnosis. Primary Antibodies are guaranteed for 1 year from date of receipt.

Loading...
Loading...
Loading...
Loading...