Skip to main content

GLYATL1 Antibody - BSA Free

Novus Biologicals, part of Bio-Techne | Catalog # NBP2-98175

Novus Biologicals, part of Bio-Techne

Key Product Details

Species Reactivity

Human

Applications

Immunohistochemistry-Paraffin

Label

Unconjugated

Antibody Source

Polyclonal Rabbit IgG

Format

BSA Free

Concentration

Please see the vial label for concentration. If unlisted please contact technical services.

Product Specifications

Immunogen

Produced in rabbits immunized with E. coli-derived Human GLYATL1 fragment.

Clonality

Polyclonal

Host

Rabbit

Isotype

IgG

Description

This antibody can be stored at 2C to 8C for one month without detectable loss of activity. Antibody products are stable for twelve months from date of receipt when stored at -20C to -80C. Avoid repeated freeze-thaw cycles.

Scientific Data Images for GLYATL1 Antibody - BSA Free

Immunohistochemistry-Paraffin: GLYATL1 Antibody [NBP2-98175]

Immunohistochemistry-Paraffin: GLYATL1 Antibody [NBP2-98175]

Immunohistochemistry-Paraffin: GLYATL1 Antibody [NBP2-98175] - Immunochemical staining of human GLYATL1 in human kidney with rabbit polyclonal antibody at 1:100 dilution, formalin-fixed paraffin embedded sections.
GLYATL1 Antibody - BSA Free

Immunohistochemistry-Paraffin: GLYATL1 Antibody - BSA Free [NBP2-98175] -

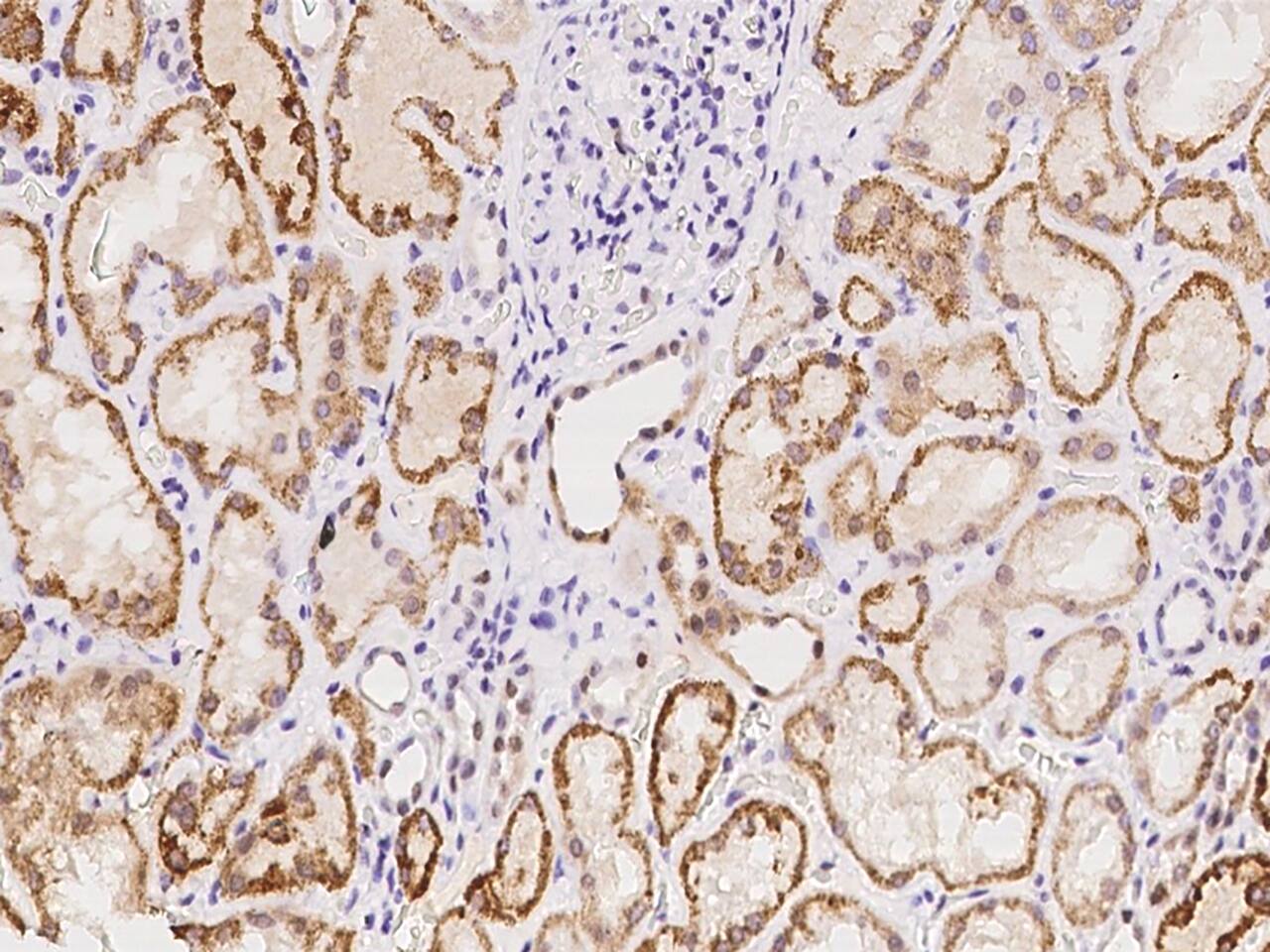
Immunohistochemistry-Paraffin: GLYATL1 Antibody - BSA Free [NBP2-98175] - Immunochemical staining of human GLYATL1 in human kidney with NBP2-98175 at 1:100 dilution, formalin-fixed paraffin embedded sections.

Applications for GLYATL1 Antibody - BSA Free

Application
Recommended Usage

Immunohistochemistry-Paraffin

1:50-1:200

Formulation, Preparation, and Storage

Purification

Antigen and protein A Affinity-purified

Formulation

PBS

Format

BSA Free

Preservative

0.03% Proclin 300

Concentration

Please see the vial label for concentration. If unlisted please contact technical services.

Shipping

The product is shipped with polar packs. Upon receipt, store it immediately at the temperature recommended below.

Stability & Storage

Store at 4C short term. Aliquot and store at -20C long term. Avoid freeze-thaw cycles.

Background: GLYATL1

Mitochondrial acyltransferase which transfers the acyl group to the N-terminus of glycine. Can conjugate amultitude of substrates to form a variety of N-acylglycines

Alternate Names

Acyl-CoA:glycine N-acyltransferase-like protein 1, EC 2.3.1.13, FLJ26507, FLJ34646, GATF-C, glycine N-acyltransferase-like protein 1, glycine-N-acyltransferase-like 1, GNAT, MGC15397, MGC15937

Gene Symbol

GLYATL1

Additional GLYATL1 Products

Product Documents for GLYATL1 Antibody - BSA Free

Certificate of Analysis

To download a Certificate of Analysis, please enter a lot number in the search box below.

Product Specific Notices for GLYATL1 Antibody - BSA Free

This product is for research use only and is not approved for use in humans or in clinical diagnosis. Primary Antibodies are guaranteed for 1 year from date of receipt.

Loading...
Loading...
Loading...
Loading...