Skip to main content

FDX1 Antibody - BSA Free

Novus Biologicals, part of Bio-Techne | Catalog # NBP1-89227

Novus Biologicals, part of Bio-Techne
Catalog #
Availability
Size / Price
Qty
Loading...
NBP1-89227-25ul
NBP1-89227

Key Product Details

Validated by

Orthogonal Validation, Independent Antibodies

Species Reactivity

Validated:

Human

Cited:

Human

Predicted:

Mouse (98%), Rat (96%). Backed by our 100% Guarantee.

Applications

Validated:

Immunohistochemistry, Immunohistochemistry-Paraffin, Western Blot, Immunocytochemistry/ Immunofluorescence

Cited:

Immunohistochemistry

Label

Unconjugated

Antibody Source

Polyclonal Rabbit IgG

Format

BSA Free

Concentration

Concentrations vary lot to lot. See vial label for concentration. If unlisted please contact technical services.

Product Specifications

Immunogen

This antibody was developed against Recombinant Protein corresponding to amino acids: NLDIDGFGACEGTLACSTCHLIFEDHIYEKLDAITDEENDMLDLAYGLTDRSRLGC

Clonality

Polyclonal

Host

Rabbit

Isotype

IgG

Scientific Data Images for FDX1 Antibody - BSA Free

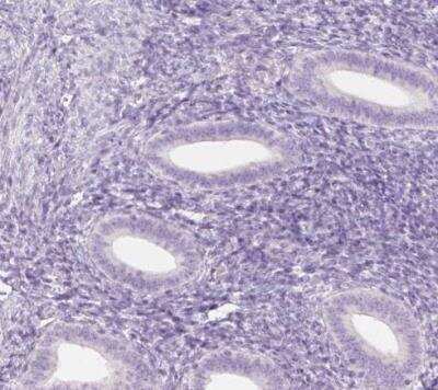
Immunohistochemistry-Paraffin: FDX1 Antibody [NBP1-89227]

Immunohistochemistry-Paraffin: FDX1 Antibody [NBP1-89227]

Immunohistochemistry-Paraffin: FDX1 Antibody [NBP1-89227] - Analysis in human adrenal gland and cerebral cortex tissues using NBP1-89227 antibody. Corresponding FDX1 RNA-seq data are presented for the same tissues.
Immunohistochemistry-Paraffin: FDX1 Antibody [NBP1-89227]

Immunohistochemistry-Paraffin: FDX1 Antibody [NBP1-89227]

Immunohistochemistry-Paraffin: FDX1 Antibody [NBP1-89227] - Staining of human adrenal gland, cerebral cortex, endometerium and tonsil using Anti-FDX1 antibody NBP1-89227 (A) shows similar protein distribution across tissues to independent antibody (B).
Western Blot: FDX1 Antibody [NBP1-89227]

Western Blot: FDX1 Antibody [NBP1-89227]

Western Blot: FDX1 Antibody [NBP1-89227] - Analysis in control (vector only transfected HEK293T lysate) and FDX1 over-expression lysate (Co-expressed with a C-terminal myc-DDK tag (3.1 kDa) in mammalian HEK293T cells).

Applications for FDX1 Antibody - BSA Free

Application
Recommended Usage

Immunocytochemistry/ Immunofluorescence

0.25-2 ug/ml

Immunohistochemistry

1:5000 - 1:10000

Immunohistochemistry-Paraffin

1:5000 - 1:10000

Western Blot

0.04-0.4 ug/ml
Application Notes
IHC-Paraffin, HIER pH 6 retrieval is recommended. ICC/IF, Fixation Permeabilization: Use PFA/Triton X-100.

Formulation, Preparation, and Storage

Purification

Affinity purified

Formulation

PBS (pH 7.2) and 40% Glycerol

Format

BSA Free

Preservative

0.02% Sodium Azide

Concentration

Concentrations vary lot to lot. See vial label for concentration. If unlisted please contact technical services.

Shipping

The product is shipped with polar packs. Upon receipt, store it immediately at the temperature recommended below.

Stability & Storage

Store at 4C short term. Aliquot and store at -20C long term. Avoid freeze-thaw cycles.

Background: FDX1

The product of this gene is a small iron-sulfur protein that transfers electrons from NADPH through ferredoxin reductase to a terminal cytochrome P450. This particular oxidation/reduction system is found in steroidogenic tissues, and is involved with the synthesis of bile acid and vitamin D. In addition to the expressed gene at this chromosomal locus (11q22), there are pseudogenes located on chromosomes 20 and 21. This gene product has been identified in a number of different tissues but all forms have been shown to be identical and are not tissue specific. [provided by RefSeq]

Alternate Names

Adrenal ferredoxin, adrenodoxin, mitochondrial, ADXhepatoredoxin, FDX, ferredoxin 1, ferredoxin-1, Hepatoredoxin, LOH11CR1D, mitochondrial adrenodoxin

Gene Symbol

FDX1

Additional FDX1 Products

Product Documents for FDX1 Antibody - BSA Free

Certificate of Analysis

To download a Certificate of Analysis, please enter a lot number in the search box below.

Product Specific Notices for FDX1 Antibody - BSA Free

This product is for research use only and is not approved for use in humans or in clinical diagnosis. Primary Antibodies are guaranteed for 1 year from date of receipt.

Loading...
Loading...
Loading...
Loading...