Cytokeratin 6 Antibody (SPM269) - Azide and BSA Free
Novus Biologicals, part of Bio-Techne | Catalog # NBP2-34406
Conjugate
Catalog #
Forumulation
Catalog #
Key Product Details
Species Reactivity
Human, Mouse
Applications
Immunohistochemistry, Immunohistochemistry-Paraffin, Flow Cytometry, Immunocytochemistry/ Immunofluorescence, CyTOF-ready
Label
Unconjugated
Antibody Source
Monoclonal Mouse IgG2a Kappa Clone # SPM269
Format
Azide and BSA Free
Concentration
1.0 mg/ml
Product Specifications
Immunogen
A synthetic peptide of 11 amino acids (GSSTIKYTTTS) from C-terminus of human Cytokeratin 6
Localization
Cytoplasmic
Specificity
This monoclonal antibody recognizes a protein of 56kDa, identified as cytokeratin 6 (CK6). In humans, multiple isoforms of Cytokeratin 6 (6A-6F), encoded by several highly homologous genes, have distinct tissue expression patterns, and Cytokeratin 6A is the dominant form in epithelial tissue. The gene encoding human Cytokeratin 6A maps to chromosome 12q13, and mutations in this gene are linked to several inheritable hair and skin pathologies. Keratins 6 and 16 are expressed in keratinocytes, which are undergoing rapid turnover in the suprabasal region (also known as hyper-proliferation-related keratins). Keratin 6 is found in hair follicles, suprabasal cells of a variety of internal stratified epithelia, in epidermis, in both normal and hyper-proliferative situations. Epidermal injury results in activation of keratinocytes, which express CK6 and CK16. CK6 is strongly expressed in about 75% of head and neck squamous cell carcinomas. Expression of CK6 is particularly associated with differentiation.
Marker
Basal Cell Marker
Clonality
Monoclonal
Host
Mouse
Isotype
IgG2a Kappa
Theoretical MW
56 kDa.
Disclaimer note: The observed molecular weight of the protein may vary from the listed predicted molecular weight due to post translational modifications, post translation cleavages, relative charges, and other experimental factors.
Disclaimer note: The observed molecular weight of the protein may vary from the listed predicted molecular weight due to post translational modifications, post translation cleavages, relative charges, and other experimental factors.
Description
1.0 mg/ml of antibody purified from Bioreactor Concentrate by Protein A/G. Prepared in 10mM PBS WITHOUT BSA & azide. Also available at 200 ug/ml WITH BSA & azide (NBP2-34358).
Antibody with azide - store at 2 to 8C. Antibody without azide - store at -20 to -80C.
Antibody with azide - store at 2 to 8C. Antibody without azide - store at -20 to -80C.
Scientific Data Images for Cytokeratin 6 Antibody (SPM269) - Azide and BSA Free
Immunocytochemistry/ Immunofluorescence: Cytokeratin 6 Antibody (SPM269) - Azide and BSA Free [NBP2-34406]
Immunocytochemistry/Immunofluorescence: Cytokeratin 6 Antibody (SPM269) - Azide and BSA Free [NBP2-34406] - Immunofluorescence Analysis of RAW cells labeling KRT6 with Cytokeratin 6 Antibody (SPM269) followed by Goat anti-Mouse IgG-CF488 (Cyan). The nuclear counterstain is Red Dot (Red).Immunohistochemistry-Paraffin: Cytokeratin 6 Antibody (SPM269) - Azide and BSA Free [NBP2-34406]
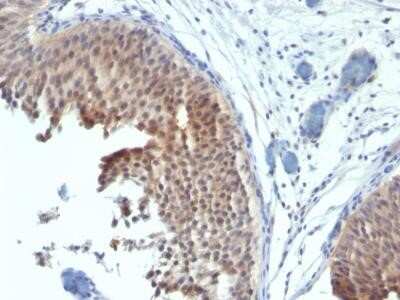
Immunohistochemistry-Paraffin: Cytokeratin 6 Antibody (SPM269) - Azide and BSA Free [NBP2-34406] - Formalin-fixed, paraffin-embedded human Bladder Carcinoma stained with Cytokeratin 6 Monoclonal Antibody (SPM269).Flow Cytometry: Cytokeratin 6 Antibody (SPM269) - Azide and BSA Free [NBP2-34406]
Flow Cytometry: Cytokeratin 6 Antibody (SPM269) - Azide and BSA Free [NBP2-34406] - Flow Cytometric Analysis of RAW cells using Cytokeratin 6 Antibody (SPM269) followed by Goat anti-Mouse IgG-CF488 (Blue); Isotype Control (Red).Applications for Cytokeratin 6 Antibody (SPM269) - Azide and BSA Free
Application
Recommended Usage
Flow Cytometry
0.5-1ug/million cells
Immunocytochemistry/ Immunofluorescence
0.5-1ug/ml
Immunohistochemistry-Paraffin
0.5-1.0ug/ml
Application Notes
Immunohistochemistry (Formalin-fixed): 1-2ug/ml for 30 minutes at RT. Staining of formalin/paraffin tissues is enhanced by digestion of tissue sections with pepsin at 1mg/ml Tris-HCl, pH 2.0 for 10-15 min at RT.
Optimal dilution for a specific application should be determined.
Optimal dilution for a specific application should be determined.
Formulation, Preparation, and Storage
Purification
Protein A or G purified
Formulation
10 mM PBS
Format
Azide and BSA Free
Preservative
No Preservative
Concentration
1.0 mg/ml
Shipping
The product is shipped with polar packs. Upon receipt, store it immediately at the temperature recommended below.
Stability & Storage
Store at -20 to -80C. Avoid freeze-thaw cycles.
Background: Cytokeratin 6
Alternate Names
Allergen Hom s 5, CK6A, CK-6A, CK6C, CK6D, CK-6D, cytokeratin 6A, cytokeratin 6C, cytokeratin 6D, Cytokeratin-6A, Cytokeratin-6D, K6A, K6C, K6D, keratin 6A, keratin 6C, keratin 6D, keratin, epidermal type II, K6A, keratin, type II cytoskeletal 6A, Keratin-6A, KRT6C, KRT6D, Type-II keratin Kb6
Gene Symbol
KRT6A
Additional Cytokeratin 6 Products
Product Documents for Cytokeratin 6 Antibody (SPM269) - Azide and BSA Free
Product Specific Notices for Cytokeratin 6 Antibody (SPM269) - Azide and BSA Free
This product is for research use only and is not approved for use in humans or in clinical diagnosis. Primary Antibodies are guaranteed for 1 year from date of receipt.
Loading...
Loading...
Loading...
Loading...
Loading...