Skip to main content

Cyclin I Antibody - BSA Free

Novus Biologicals, part of Bio-Techne | Catalog # NBP2-47123

Novus Biologicals, part of Bio-Techne
Catalog #
Availability
Size / Price
Qty
Loading...
NBP2-47123

Key Product Details

Species Reactivity

Human

Applications

Immunohistochemistry, Immunohistochemistry-Paraffin, Western Blot

Label

Unconjugated

Antibody Source

Polyclonal Rabbit IgG

Format

BSA Free

Concentration

Concentrations vary lot to lot. See vial label for concentration. If unlisted please contact technical services.

Product Specifications

Immunogen

Recombinant protein encompassing a sequence within the N-terminus region of human Cyclin I. The exact sequence is proprietary.

Clonality

Polyclonal

Host

Rabbit

Isotype

IgG

Description

Novus Biologicals Rabbit Cyclin I Antibody - BSA Free (NBP2-47123) is a polyclonal antibody validated for use in IHC and WB. All Novus Biologicals antibodies are covered by our 100% guarantee.

Scientific Data Images for Cyclin I Antibody - BSA Free

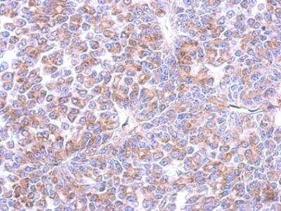
Immunohistochemistry-Paraffin: Cyclin I Antibody [NBP2-47123]

Immunohistochemistry-Paraffin: Cyclin I Antibody [NBP2-47123]

Immunohistochemistry-Paraffin: Cyclin I Antibody [NBP2-47123] - Analysis of paraffin-embedded RF48 xenograft, using antibody at 1:500 dilution.
Cyclin I Antibody - BSA Free

Western Blot: Cyclin I Antibody [NBP2-47123] -

Sample (30 ug of whole cell lysate)
A: HCT116
10% SDS PAGE
NBP2-47123 diluted at 1:1000

Applications for Cyclin I Antibody - BSA Free

Application
Recommended Usage

Immunohistochemistry

10 - 1:500

Immunohistochemistry-Paraffin

1:100-1:1000

Western Blot

1:500-1:3000

Formulation, Preparation, and Storage

Purification

Antigen Affinity-purified

Formulation

PBS, 20% Glycerol

Format

BSA Free

Preservative

0.01% Thimerosal

Concentration

Concentrations vary lot to lot. See vial label for concentration. If unlisted please contact technical services.

Shipping

The product is shipped with polar packs. Upon receipt, store it immediately at the temperature recommended below.

Stability & Storage

Aliquot and store at -20C or -80C. Avoid freeze-thaw cycles.

Background: Cyclin I

The protein encoded by this gene belongs to the highly conserved cyclin family, whose members are characterized by a dramatic periodicity in protein abundance through the cell cycle. Cyclins function as regulators of CDK kinases. Different cyclins exhibit distinct expression and degradation patterns which contribute to the temporal coordination of each mitotic event. This cyclin shows the highest similarity with cyclin G. The transcript of this gene was found to be expressed constantly during cell cycle progression. The function of this cyclin has not yet been determined. [provided by RefSeq]

Alternate Names

CYC1, cyclin I, cyclin ITI, cyclin-I, CYI

Gene Symbol

CCNI

Additional Cyclin I Products

Product Documents for Cyclin I Antibody - BSA Free

Certificate of Analysis

To download a Certificate of Analysis, please enter a lot number in the search box below.

Product Specific Notices for Cyclin I Antibody - BSA Free

This product is for research use only and is not approved for use in humans or in clinical diagnosis. Primary Antibodies are guaranteed for 1 year from date of receipt.

Loading...
Loading...
Loading...
Loading...

⚠ WARNING: This product can expose you to chemicals including mercury, which is known to the State of California to cause reproductive toxicity with developmental effects.  For more information go to www.P65Warnings.ca.gov.