Skip to main content

Chorionic Gonadotropin alpha Chain (hCG alpha) Antibody (RM330)

Novus Biologicals, part of Bio-Techne | Catalog # NBP2-77412

Recombinant Monoclonal Antibody
Novus Biologicals, part of Bio-Techne
Catalog #
Availability
Size / Price
Qty
Loading...
NBP2-77412

Key Product Details

Species Reactivity

Human

Applications

Immunohistochemistry, Western Blot, ELISA

Label

Unconjugated

Antibody Source

Recombinant Monoclonal Rabbit IgG Clone # RM330 expressed in HEK293

Concentration

Please see the vial label for concentration. If unlisted please contact technical services.

Product Specifications

Immunogen

Native hCG protein purified from Human Urine

Specificity

This antibody reacts to Chorionic Gonadotropin alpha Chain (hCG alpha). The antibody recognizes both the native complex and the beta subunit of hCG.

Clonality

Monoclonal

Host

Rabbit

Isotype

IgG

Description

Novus Biologicals Rabbit Chorionic Gonadotropin alpha Chain (hCG alpha) Antibody (RM330) (NBP2-77412) is a recombinant monoclonal antibody validated for use in IHC, WB and ELISA. All Novus Biologicals antibodies are covered by our 100% guarantee.

Scientific Data Images for Chorionic Gonadotropin alpha Chain (hCG alpha) Antibody (RM330)

Western Blot: Chorionic Gonadotropin alpha Chain (hCG alpha) Antibody (RM330) [NBP2-77412]

Western Blot: Chorionic Gonadotropin alpha Chain (hCG alpha) Antibody (RM330) [NBP2-77412]

Western Blot: Chorionic Gonadotropin alpha Chain (hCG alpha) Antibody (RM330) [NBP2-77412] - Western Blot of hCG protein purified from human urine using NBP2-77412.
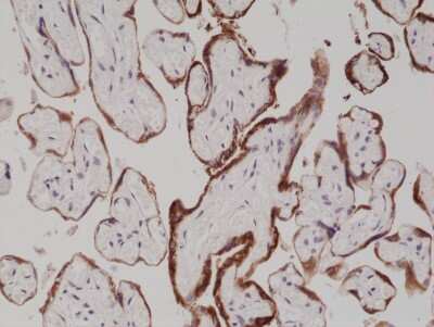
Immunohistochemistry: Chorionic Gonadotropin alpha Chain (hCG alpha) Antibody (RM330) [NBP2-77412]

Immunohistochemistry: Chorionic Gonadotropin alpha Chain (hCG alpha) Antibody (RM330) [NBP2-77412]

Immunohistochemistry: Chorionic Gonadotropin alpha Chain (hCG alpha) Antibody (RM330) [NBP2-77412] - Immunohistochemical staining of formalin fixed and paraffin embedded human placenta tissue section using NBP2-77412.

Applications for Chorionic Gonadotropin alpha Chain (hCG alpha) Antibody (RM330)

Application
Recommended Usage

ELISA

1:1000 - 1:10000

Immunohistochemistry

1:500 - 1:1000

Western Blot

1:5000 - 1:20000

Formulation, Preparation, and Storage

Purification

Protein A purified

Formulation

50% Glycerol/PBS, 1% BSA

Preservative

0.09% Sodium Azide

Concentration

Please see the vial label for concentration. If unlisted please contact technical services.

Shipping

The product is shipped with polar packs. Upon receipt, store it immediately at the temperature recommended below.

Stability & Storage

Store at -20C. Avoid freeze-thaw cycles.

Background: Chorionic Gonadotropin alpha Chain (HCG alpha)

HCG is a glycoprotein hormone secreted in pregnancy by embryonic trophoblast cells during the first 7 weeks of gestation. Production subsequently shifts to the placenta, where it continues until term. HCG is a heterodimer consisting of an alpha chain and a beta chain. The alpha chain is common to several other hormones, including lutenizing hormone (LH), follicle stimulating hormone (FSH), and thyroid stimulating hormone (TSH), while the beta chain is unique to HCG. Both alpha and beta chains contain a cysteine knot motif, also found in growth factors such as TGF-beta family members.

Alternate Names

alpha HCG, CGA, FSHA, GPHa1, LHA, TSHA

Gene Symbol

CGA

Additional Chorionic Gonadotropin alpha Chain (HCG alpha) Products

Product Documents for Chorionic Gonadotropin alpha Chain (hCG alpha) Antibody (RM330)

Certificate of Analysis

To download a Certificate of Analysis, please enter a lot number in the search box below.

Product Specific Notices for Chorionic Gonadotropin alpha Chain (hCG alpha) Antibody (RM330)

This product is for research use only and is not approved for use in humans or in clinical diagnosis. Primary Antibodies are guaranteed for 1 year from date of receipt.

Loading...
Loading...
Loading...
Loading...