Skip to main content

Caspase-4 Antibody - BSA Free

Novus Biologicals, part of Bio-Techne | Catalog # NBP1-77208

Novus Biologicals, part of Bio-Techne

Key Product Details

Species Reactivity

Validated:

Human

Cited:

Bacteria - Escherichia coli

Applications

Validated:

Immunohistochemistry, Immunohistochemistry-Paraffin, Western Blot, ELISA, Immunocytochemistry/ Immunofluorescence

Cited:

Western Blot

Label

Unconjugated

Antibody Source

Polyclonal Rabbit IgG

Format

BSA Free

Concentration

1 mg/ml

Product Specifications

Immunogen

Antibody was raised against a 15 amino acid synthetic peptide from near the center of human Caspase-4. The immunogen is located within amino acids 100 - 150 of Caspase-4. Amino Acid Squence: ERAEIIYPIKERNNR

Specificity

Depending on cell lines or tissues used, other cleavage products may be observed.

Clonality

Polyclonal

Host

Rabbit

Isotype

IgG

Description

Novus Biologicals Rabbit Caspase-4 Antibody - BSA Free (NBP1-77208) is a polyclonal antibody validated for use in IHC, WB, ELISA and ICC/IF. Anti-Caspase-4 Antibody: Cited in 1 publication. All Novus Biologicals antibodies are covered by our 100% guarantee.

Scientific Data Images for Caspase-4 Antibody - BSA Free

Western Blot: Caspase-4 AntibodyBSA Free [NBP1-77208]

Western Blot: Caspase-4 AntibodyBSA Free [NBP1-77208]

Western Blot: Caspase-4 Antibody [NBP1-77208] - Human spleen cells with caspase-4 antibody at (A) 1 and (B) 2 ug/ml.
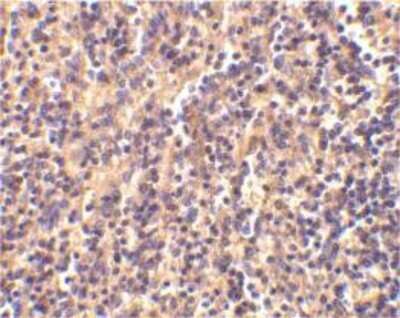
Immunohistochemistry-Paraffin: Caspase-4 Antibody - BSA Free [NBP1-77208]

Immunohistochemistry-Paraffin: Caspase-4 Antibody - BSA Free [NBP1-77208]

Immunohistochemistry-Paraffin: Caspase-4 Antibody [NBP1-77208] - Human spleen tissue using caspase-4 antibody at 2 ug/ml.
Caspase-4 Antibody - BSA Free

Immunocytochemistry/ Immunofluorescence: Caspase-4 Antibody - BSA Free [NBP1-77208] -

Immunocytochemistry/ Immunofluorescence: Caspase-4 Antibody - BSA Free [NBP1-77208] - Immunofluorescence of Caspase-4 in A20 cells with Caspase-4 antibody at 10 ug/mL.

Applications for Caspase-4 Antibody - BSA Free

Application
Recommended Usage

ELISA

1:100-1:2000

Immunocytochemistry/ Immunofluorescence

10 ug/ml

Immunohistochemistry

2 ug/ml

Immunohistochemistry-Paraffin

2 ug/ml

Western Blot

1-2 ug/ml

Formulation, Preparation, and Storage

Purification

Peptide affinity purified

Formulation

PBS

Format

BSA Free

Preservative

0.02% Sodium Azide

Concentration

1 mg/ml

Shipping

The product is shipped with polar packs. Upon receipt, store it immediately at the temperature recommended below.

Stability & Storage

Store at 4C short term. Aliquot and store at -20C long term. Avoid freeze-thaw cycles.

Background: Caspase-4

Caspases are a family of cysteine proteases that can be divided into the apoptotic and inflammatory caspase subfamilies. Unlike the apoptotic caspases, members of the inflammatory subfamily are generally not involved in cell death but are associated with the immune response to microbial pathogens. Members of this subfamily include caspase-1, -4, -5, and -12. Activation of these caspases results in the cleavage and activation of proinflammatory cytokines such as IL-1beta and IL-18. Caspase-4 was initially identified as a homologous protein to Caspase-1 and the C. elegans Ced-3 which could induce apoptosis in transfected cells. More recent studies have shown that it can be activated by ER stress and has been suggested to be involved in multiple neuronal pathologies such as Alzheimer's disease.

Alternate Names

CASP4, Caspase4, ICE(rel)II, ICH-2, Mih1/TX, TX

Gene Symbol

CASP4

Additional Caspase-4 Products

Product Documents for Caspase-4 Antibody - BSA Free

Certificate of Analysis

To download a Certificate of Analysis, please enter a lot number in the search box below.

Product Specific Notices for Caspase-4 Antibody - BSA Free

This product is for research use only and is not approved for use in humans or in clinical diagnosis. Primary Antibodies are guaranteed for 1 year from date of receipt.

Loading...
Loading...
Loading...
Loading...