Skip to main content

Apc5 Antibody - BSA Free

Novus Biologicals, part of Bio-Techne | Catalog # NBP3-38385

Novus Biologicals, part of Bio-Techne
Catalog #
Availability
Size / Price
Qty
Loading...
NBP3-38385-20ul
NBP3-38385-100ul

Key Product Details

Species Reactivity

Human, Mouse, Rat

Applications

ELISA, Immunohistochemistry, Immunohistochemistry-Paraffin, Immunoprecipitation, Western Blot

Label

Unconjugated

Antibody Source

Polyclonal Rabbit IgG

Format

BSA Free

Concentration

Please see the vial label for concentration. If unlisted please contact technical services.

Product Specifications

Immunogen

Recombinant fusion protein containing a sequence corresponding to amino acids 1-250 of human Apc5 (NP_057321.2).

Sequence:
MASVHESLYFNPMMTNGVVHANVFGIKDWVTPYKIAVLVLLNEMSRTGEGAVSLMERRRLNQLLLPLLQGPDITLSKLYKLIEESCPQLANSVQIRIKLMAEGELKDMEQFFDDLSDSFSGTEPEVHKTSVVGLFLRHMILAYSKLSFSQVFKLYTALQQYFQNGEKKTVEDADMELTSRDEGERKMEKEELDVSVREEEVSCSGPLSQKQAEFFLSQQASLLKNDETKALTPASLQKELNNLLKFNPDF

Clonality

Polyclonal

Host

Rabbit

Isotype

IgG

Theoretical MW

85 kDa.
Disclaimer note: The observed molecular weight of the protein may vary from the listed predicted molecular weight due to post translational modifications, post translation cleavages, relative charges, and other experimental factors.

Description

Novus Biologicals Rabbit Apc5 Antibody - BSA Free (NBP3-38385) is a polyclonal antibody validated for use in IHC, WB, ELISA and IP. All Novus Biologicals antibodies are covered by our 100% guarantee.

Scientific Data Images for Apc5 Antibody - BSA Free

Apc5 Antibody

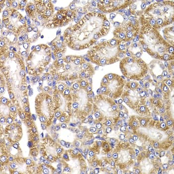
Immunohistochemistry: Apc5 Antibody [NBP3-38385] -

Immunohistochemistry: Apc5 Antibody [NBP3-38385] - Immunohistochemistry analysis of paraffin-embedded Human kidney using [KO Validated] Apc5 Rabbit pAb at dilution of 1:100 (40x lens). Microwave antigen retrieval performed with 0.01M PBS Buffer (pH 7.2) prior to IHC staining.
Apc5 Antibody

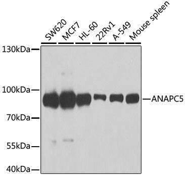
Western Blot: Apc5 Antibody [NBP3-38385] -

Western Blot: Apc5 Antibody [NBP3-38385] - Western blot analysis of various lysates using [KO Validated] Apc5 Rabbit pAb at 1:1000 dilution.
Secondary antibody: HRP-conjugated Goat anti-Rabbit IgG (H+L) at 1:10000 dilution.
Lysates/proteins: 25ug per lane.
Blocking buffer: 3% nonfat dry milk in TBST.
Detection: ECL Basic Kit.
Exposure time: 90s.
Apc5 Antibody

Western Blot: Apc5 Antibody [NBP3-38385] -

Western Blot: Apc5 Antibody [NBP3-38385] - Western blot analysis of lysates from wild type (WT) and Apc5 knockout (KO) 293T cells, using [KO Validated] Apc5 Rabbit pAb at 1:1000 dilution.
Secondary antibody: HRP-conjugated Goat anti-Rabbit IgG (H+L) at 1:10000 dilution.
Lysates/proteins: 25ug per lane.
Blocking buffer: 3% nonfat dry milk in TBST.
Detection: ECL Basic Kit.
Exposure time: 30s.

Applications for Apc5 Antibody - BSA Free

Application
Recommended Usage

Immunohistochemistry-Paraffin

1:50 - 1:200

Immunoprecipitation

0.5ug - 4ug antibody for 200ug - 400ug extracts of whole cells

Western Blot

1:500 - 1:1000

Formulation, Preparation, and Storage

Purification

Affinity purified

Formulation

PBS (pH 7.3), 50% glycerol

Format

BSA Free

Preservative

0.02% Sodium Azide

Concentration

Please see the vial label for concentration. If unlisted please contact technical services.

Shipping

The product is shipped with polar packs. Upon receipt, store it immediately at the temperature recommended below.

Stability & Storage

Store at -20C. Avoid freeze-thaw cycles.

Background: Apc5

APC5 is a component of the anaphase-promoting complex (APC). The APC complex functions as an ubiquitin ligase that controls cell cycle progression and promotes the transition from metaphase to anaphase. The APC complex is composed of at least 11 APC components. APC5 may serve a scaffolding role that connects the enzymatic core APC subunits with the regulatory APC subunits.

Alternate Names

anaphase promoting complex subunit 5, anaphase-promoting complex subunit 5, APC5Cyclosome subunit 5

Gene Symbol

ANAPC5

Additional Apc5 Products

Product Documents for Apc5 Antibody - BSA Free

Certificate of Analysis

To download a Certificate of Analysis, please enter a lot number in the search box below.

Product Specific Notices for Apc5 Antibody - BSA Free

This product is for research use only and is not approved for use in humans or in clinical diagnosis. Primary Antibodies are guaranteed for 1 year from date of receipt.

Loading...
Loading...
Loading...
Loading...