Skip to main content

Alkaline Phosphatase/ALPP Antibody (JM22-53)

Novus Biologicals, part of Bio-Techne | Catalog # NBP2-67136

Recombinant Monoclonal Antibody.
Novus Biologicals, part of Bio-Techne
Catalog #
Availability
Size / Price
Qty
Loading...
NBP2-67136

Key Product Details

Species Reactivity

Human

Applications

Immunocytochemistry/ Immunofluorescence, Immunohistochemistry, Immunohistochemistry-Paraffin, Western Blot

Label

Unconjugated

Antibody Source

Recombinant Monoclonal Rabbit IgG Clone # JM22-53 expressed in HEK293

Concentration

1 mg/ml

Product Specifications

Immunogen

Synthetic peptide within Human Alkaline Phosphatase/ALPP aa 171-220 / 535. (SwissProt: P05187 Human)

Localization

Cell membrane.

Clonality

Monoclonal

Host

Rabbit

Isotype

IgG

Description

Novus Biologicals Rabbit Alkaline Phosphatase/ALPP Antibody (JM22-53) (NBP2-67136) is a recombinant monoclonal antibody validated for use in IHC, WB and ICC/IF. All Novus Biologicals antibodies are covered by our 100% guarantee.

Scientific Data Images for Alkaline Phosphatase/ALPP Antibody (JM22-53)

Western Blot: Alkaline Phosphatase/ALPP Antibody (JM22-53) [NBP2-67136]

Western Blot: Alkaline Phosphatase/ALPP Antibody (JM22-53) [NBP2-67136]

Western Blot: Alkaline Phosphatase/ALPP Antibody (JM22-53) [NBP2-67136] - Analysis of Placental alkaline phosphatase/ALPP on human placenta tissue lysates with Rabbit anti-Placental alkaline phosphatase/ALPP antibody at 1/500 dilution. Lysates/proteins at 20 ug/Lane. Predicted band size: 58 kDa Observed band size: 70 kDa Exposure time: 30 seconds; 8% SDS-PAGE gel. Proteins were transferred to a PVDF membrane and blocked with 5% NFDM/TBST for 1 hour at room temperature. Goat Anti-Rabbit IgG - HRP Secondary Antibody at 1:300,000 dilution was used for 1 hour at room temperature.
Immunocytochemistry/ Immunofluorescence: Alkaline Phosphatase/ALPP Antibody (JM22-53) [NBP2-67136]

Immunocytochemistry/ Immunofluorescence: Alkaline Phosphatase/ALPP Antibody (JM22-53) [NBP2-67136]

Immunocytochemistry/Immunofluorescence: Alkaline Phosphatase/ALPP Antibody (JM22-53) [NBP2-67136] - Staining PLAP in HepG2 cells (green). The nuclear counter stain is DAPI (blue). Cells were fixed in paraformaldehyde, permeabilised with 0.25% Triton X100/PBS.
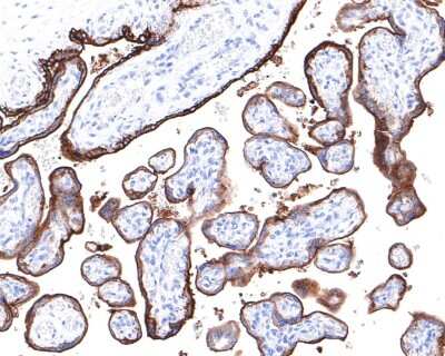
Immunohistochemistry-Paraffin: Alkaline Phosphatase/ALPP Antibody (JM22-53) [NBP2-67136]

Immunohistochemistry-Paraffin: Alkaline Phosphatase/ALPP Antibody (JM22-53) [NBP2-67136]

Immunohistochemistry-Paraffin: Alkaline Phosphatase/ALPP Antibody (JM22-53) [NBP2-67136] - Analysis of paraffin-embedded human seminoma tissue with Rabbit anti-Placental alkaline phosphatase/ALPP antibody washed with ddH2O and PBS, and then probed with the primary antibody at 1/400 dilution for 1 hour at room temperature. The detection was performed using an HRP conjugated compact polymer system. DAB was used as the chromogen. Tissues were counterstained with hematoxylin and mounted with DPX.

Applications for Alkaline Phosphatase/ALPP Antibody (JM22-53)

Application
Recommended Usage

Immunocytochemistry/ Immunofluorescence

1:50-1:200

Immunohistochemistry-Paraffin

1:50-1:400

Western Blot

1:500-1:2000

Formulation, Preparation, and Storage

Purification

Protein A purified

Formulation

TBS (pH7.4), 0.05% BSA, 40% Glycerol

Preservative

0.05% Sodium Azide

Concentration

1 mg/ml

Shipping

The product is shipped with polar packs. Upon receipt, store it immediately at the temperature recommended below.

Stability & Storage

Store at 4C short term. Aliquot and store at -20C long term. Avoid freeze-thaw cycles.

Background: Alkaline Phosphatase/ALPP

Alkaline phosphatases are phosphodiesterases. The placental-specific isozyme of Alkaline Phosphatase (PLAP) is found in trophoblast cells of normal human mature placenta, seminomas of testis and ovarian carcinomas. Detection of alkaline phosphatase in serum is a marker for ovarian and testicular cancer.

Long Name

Alkaline Phosphatase, Placental Type

Alternate Names

Alkaline Phosphatase, PLAP, SEAP

Gene Symbol

ALPP

Additional Alkaline Phosphatase/ALPP Products

Product Documents for Alkaline Phosphatase/ALPP Antibody (JM22-53)

Certificate of Analysis

To download a Certificate of Analysis, please enter a lot number in the search box below.

Product Specific Notices for Alkaline Phosphatase/ALPP Antibody (JM22-53)

This product is for research use only and is not approved for use in humans or in clinical diagnosis. Primary Antibodies are guaranteed for 1 year from date of receipt.

Loading...
Loading...
Loading...
Loading...
Loading...