Skip to main content

Key Product Details

Species Reactivity

Mouse

Applications

ELISA, Flow Cytometry, Immunocytochemistry/ Immunofluorescence, Immunohistochemistry, Immunohistochemistry-Paraffin, Western Blot

Label

Unconjugated

Antibody Source

Polyclonal Goat IgG

Concentration

1.0 mg/ml

Product Specifications

Immunogen

This Goat anti-Mouse IgG (H+L) Secondary Antibody was developed against mouse IgG-heavy and light chain.

Specificity

By immunoelectrophoresis and ELISA this Goat anti-Mouse IgG (H+L) Secondary Antibody reacts specifically with mouse IgG and with light chains common to other mouse immunoglobulins. No was detected against non-immunoglobulin serum proteins. This may cross react with IgG from other species.

Clonality

Polyclonal

Host

Goat

Isotype

IgG

Scientific Data Images for Goat anti-Mouse IgG (H+L) Secondary Antibody

Western Blot: Goat anti-Mouse IgG (H+L) Secondary Antibody [NB7535]

Western Blot: Goat anti-Mouse IgG (H+L) Secondary Antibody [NB7535]

Western Blot: Goat anti-Mouse IgG (H+L) Secondary Antibody [NB7535] - Image using the HRP format of Goat anti-Mouse IgG (H+L) Secondary Antibody.
Immunocytochemistry/ Immunofluorescence: Goat anti-Mouse IgG (H+L) Secondary Antibody [NB7535]

Immunocytochemistry/ Immunofluorescence: Goat anti-Mouse IgG (H+L) Secondary Antibody [NB7535]

Immunocytochemistry/Immunofluorescence: Goat anti-Mouse IgG (H+L) Secondary Antibody [NB7535] - Detection of RYK in human primary colon cancer cell line using anti-RYK antibody followed by Goat anti-Mouse IgG (H+L) Secondary Antibody. Image from verified customer review.
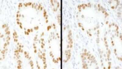
Immunohistochemistry-Paraffin: Goat anti-Mouse IgG (H+L) Secondary Antibody [NB7535]

Immunohistochemistry-Paraffin: Goat anti-Mouse IgG (H+L) Secondary Antibody [NB7535]

Immunohistochemistry-Paraffin: Goat anti-Mouse IgG (H+L) Secondary Antibody [NB7535] - FFPE serial sections of human stomach carcinoma. Primary Antibody: Mouse anti-p53 (Clone DO-1) used at a dilution of 1:100. Secondary Antibody Goat anti-Mouse IgG (H+L) Secondary Antibody used at a dilution of 1:200 (5ug/ml). Detection: DAB. Image using the HRP format of this antibody.

Applications for Goat anti-Mouse IgG (H+L) Secondary Antibody

Application
Recommended Usage

ELISA

1:1000-1:30000 For Coating-1:100-1:500

Immunocytochemistry/ Immunofluorescence

1:200- 1:2000

Immunohistochemistry

1:200- 1:2000

Western Blot

1:1000- 1:30000

Formulation, Preparation, and Storage

Purification

Immunogen affinity purified

Formulation

Phosphate Buffered Saline (PBS)

Preservative

0.09% Sodium Azide

Concentration

1.0 mg/ml

Shipping

The product is shipped with polar packs. Upon receipt, store it immediately at the temperature recommended below.

Stability & Storage

Store at 4C. Do not freeze.

Background: IgG (H+L)

Antibodies, also known as immunoglobulins (Igs) are critical for immunity and are grouped into five primary classes: IgG, IgM, IgA, IgD, and IgE. The most abundant antibody isotype is immunoglobulin G (IgG) with concentrations ranging from 7.5-22 mg/ml in human serum and has a molecular weight of 150 kDa. The major effector functions of IgG include neutralization, opsonization, complement fixation and antibody dependent cell-mediated cytotoxicity (ADCC). This monomeric immunoglobulin, expressed on the surface of mature B cells, is often depicted as a Y-shape and comprised of 2 heavy chains and 2 light chains linked by disulfide bonds. The heavy chain is type gamma including subtypes gamma 1, gamma 2, gamma 3, and gamma 4 while the light chain is either a kappa or lambda chain. An IgG molecule has two antigen binding sites, each consisting of a heavy and light chain N-terminal variable domain. When combined with the constant heavy chain 1 (Ch1) and the constant light chain domains, it forms the fragment antigen-binding (Fab) region (2 per antibody). The remaining domains (Ch2-Ch4) of both heavy chains make up the Fc region and contain a site for covalently linking an enzymatic or fluorochrome probe, such as HRP or Janelia Fluor 549, for target detection and visualization (1,2,3).

The 4 IgG subclasses, sharing 95% amino acid identity, include IgG1, IgG2, IgG3, and IgG4 for humans and IgG1, IgG2a, IgG2b, and IgG3 for mice. The relative abundance of each human subclass is 60% for IgG1, 32% for IgG2, 4% for IgG3, and 4% for IgG4. In an IgG deficiency, there may be a shortage of one or more subclasses (4).

References

1. Painter RH. (1998) Encyclopedia of Immunology (Second Edition). Elsevier. 1208-1211

2. Chapter 9 - Antibodies. (2012) Immunology for Pharmacy. Mosby 70-78

3. Schroeder H, Cavacini, L. (2010) Structure and Function of Immunoglobulins. J Allergy Clin Immunol. 125(2 0 2): S41-S52. PMID: 20176268

4. Vidarsson G, Dekkers G, Rispens T. (2014) IgG subclasses and allotypes: from structure to effector functions. Front Immunol. 5:520. PMID: 25368619

Additional IgG (H+L) Products

Product Documents for Goat anti-Mouse IgG (H+L) Secondary Antibody

Certificate of Analysis

To download a Certificate of Analysis, please enter a lot number in the search box below.

Product Specific Notices for Goat anti-Mouse IgG (H+L) Secondary Antibody

This product is for research use only and is not approved for use in humans or in clinical diagnosis. Secondary Antibodies are guaranteed for 1 year from date of receipt.

Loading...
Loading...
Loading...
Loading...
Loading...