Skip to main content

Recombinant Mouse Serpin F1/PEDF Protein, CF

R&D Systems, part of Bio-Techne | Catalog # 8295-SF

R&D Systems, part of Bio-Techne
Catalog #
Availability
Size / Price
Qty
Loading...
8295-SF-025

Key Product Details

  • R&D Systems NS0-derived Recombinant Mouse Serpin F1/PEDF Protein (8295-SF)
  • Quality control testing to verify active proteins with lot specific assays by in-house scientists
  • All R&D Systems proteins are covered with a 100% guarantee

Source

NS0

Accession #

Conjugate

Unconjugated

Applications

Bioactivity

Product Specifications

Source

Mouse myeloma cell line, NS0-derived mouse Serpin F1/PEDF protein
Gln20-Thr417, with a C-­terminal 6-His tag

Purity

>95%, by SDS-PAGE with silver staining.

Endotoxin Level

<0.10 EU per 1 μg of the protein by the LAL method.

N-terminal Sequence Analysis

No results obtained: Gln20 inferred from enzymatic pyroglutamate treatment revealing Asn21.

Predicted Molecular Mass

45 kDa

SDS-PAGE

50-56 kDa, reducing conditions

Activity

Measured by its ability to enhance the adhesion of Saos-2 human osteosarcoma cells to bovine Collagen I coated plate. Eth, E.K. et al. (2007) Cancer Gene Therapy. 14:616.
The ED50 for this effect is ≤ 2.00 μg/mL.

Scientific Data Images for Recombinant Mouse Serpin F1/PEDF Protein, CF

Serpin F1/PEDF-induced Adhesion.

Serpin F1/PEDF-induced Adhesion.

Recombinant Mouse Serpin F1/PEDF enhances the adhesion of Saos‑2 human osteosarcoma cells to a bovine Collagen I coated plate. The ED50 for this effect is ≤ 2.00 μg/mL.
Serpin F1/PEDF-induced Adhesion.

Serpin F1/PEDF-induced Adhesion.

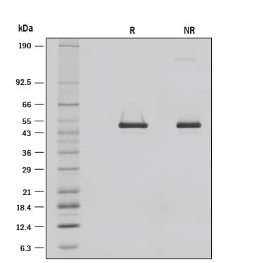
1 μg/lane of Recombinant Mouse Serpin F1/PEDF was resolved with SDS-PAGE under reducing (R) and non-reducing (NR) conditions and visualized by silver staining, showing R bands at 48.8, 42.5 kDa and NR bands at 140.8, 47.9, 42.1 kDa.

Formulation, Preparation and Storage

8295-SF
Formulation Lyophilized from a 0.2 μm filtered solution in PBS and NaCl.
Reconstitution
Reconstitute at 250 μg/mL in steril PBS.

Reconstitution Buffer Available:
Size / Price
Qty
Loading...
Shipping The product is shipped at ambient temperature. Upon receipt, store it immediately at the temperature recommended below.
Stability & Storage Use a manual defrost freezer and avoid repeated freeze-thaw cycles.
  • 12 months from date of receipt, -20 to -70 °C as supplied.
  • 1 month, 2 to 8 °C under sterile conditions after reconstitution.
  • 3 months, -20 to -70 °C under sterile conditions after reconstitution.

Background: Serpin F1/PEDF

Serpin Peptidase Inhibitor, clade F (Serpin F1), also called Pigment Epithelium-Derived Factor (PEDF), EPC-1, and PIG35, is a member of the Serpin superfamily of serine protease inhibitors (1-5). This superfamily is comprised of two protein groups with dissimilar functions. One group demonstrates protease inhibition while proteins in the other group display no protease inhibition, but rather, perform diverse functions, such as molecular chaperones, circulating transporters, and tumor suppressors (2). Serpin F1 is part of this latter group. It is a 50 kDa, monomeric phosphoglycoprotein that is comprised of three beta-sheets, 8-10 alpha-helices, and a C-terminal reactive center loop (RCL), a structure common to all Serpins (2-5). However, unlike Serpins that exhibit protease inhibiting activity, the RCL of Serpin F1 does not undergo a conformational change, a prerequisite for anti-protease activity (3, 5). Such cleavage does, however, generate a 46 kDa fragment that possesses nonprotease-associated bioactivity (6). Mouse Serpin F1 displays 88% and 93% amino acid sequence identity with the human and rat orthologs, respectively.

Serpin F1 is a multifunctional protein that is synthesized by multiple cell types and is expressed in many tissues including the retinal pigment epithelium, liver, bone, connective, heart, and adipose tissues (1, 3, 5, 7, 8). It has been shown to bind to several different cell surface molecules including the PEDF Receptor, Laminin Receptor, LRP-6, and the F1 ATP Synthase (5, 9-13). It also has binding affinity for several extracellular matrix components, such as Heparin, Heparin Sulphate, Hyaluronan, and Collagens (5, 3). It is believed that the multiple and varied biological activities attributed to Serpin F1 are due to its interactions with these different cell surface molecules. Serpin F1 has been shown to be involved in neurogenesis, neuronal cell survival, angiogenesis, tumorgenesis, stem cell survival and multipotency, and inflammation (2-5, 10, 12-15). In humans, Serpin F1 has been suggested to play a role in choroidal neovascularization, obesity and insulin resistance, cardiovascular disease, osteogenesis imperfecta, and cancer (3-5, 15-19).

References

  1. Kozaki, K. et al. (1998) J. Biol. Chem. 273:15125.
  2. Filleur, S. et al. (2009) J. Cell. Biochem. 106:769.
  3. Kawaguchi, T. et al. (2010) Curr. Mol. Med. 10:302.
  4. Chandolu, V. and C.R. Dass (2012) J. Biomed. Biotechnol. 2012:740295.
  5. Becerra, S.P. and V. Notario (2013) Nat. Rev. Cancer 13:258.
  6. Wu, Y.Q. and S.P. Becerra (1996) Invest. Ophthalmol. Vis. Sci. 37:1984.
  7. Singh, V.K. et al. (1998) Mol. Vis. 4:7.
  8. Tombran-Tink, J. and C.J. Barnstable (2004) Biochem. Biophys. Res. Commun. 316:573.
  9. Notari, L. et al. (2006) J. Biol. Chem. 281:38022.
  10. Notari, L. et al. (2010) FEBS J. 277:2192.
  11. Park, K. et al. (2011) Mol. Cell. Biol. 31:3038.
  12. Bernard, A. et al. (2009) J. Biol. Chem. 284:10480.
  13. Matsui, T. et al. (2014) Biochem. Biophys. Res. Commun. 443:847.
  14. Elahy, M. et al. (2012) J. Biomed. Biotechol. 2012:239091.
  15. Chavan, S.S. et al. (2012) Mol. Med. 18:1161.
  16. Wang, P. et al. (2008) Eur. J. Endocrinol. 159:713.
  17. Homan, E.P. et al. (2011) J. Bone Miner. Res. 26:2798.
  18. Taube, A. et al. (2012) Am. J. Physiol. Heart Circ. Physiol. 302:H2148.
  19. Venturi, G. et al. (2012) J. Bone Miner. Res. 27:723.

Long Name

Serpine F1/Pigment Epithelium-derived Factor

Alternate Names

EPC-1, PEDF

Entrez Gene IDs

5176 (Human); 20317 (Mouse); 287526 (Rat)

Gene Symbol

SERPINF1

UniProt

Additional Serpin F1/PEDF Products

Product Documents for Recombinant Mouse Serpin F1/PEDF Protein, CF

Certificate of Analysis

To download a Certificate of Analysis, please enter a lot number in the search box below.

Note: Certificate of Analysis not available for kit components.

Product Specific Notices for Recombinant Mouse Serpin F1/PEDF Protein, CF

For research use only

Loading...
Loading...
Loading...