Skip to main content

Recombinant Mouse GDF-15 Protein, CF

R&D Systems, part of Bio-Techne | Catalog # 8944-GD

R&D Systems, part of Bio-Techne
Catalog #
Availability
Size / Price
Qty
Loading...
8944-GD-025

Key Product Details

  • R&D Systems E. coli-derived Recombinant Mouse GDF-15 Protein (8944-GD)
  • Quality control testing to verify active proteins with lot specific assays by in-house scientists
  • All R&D Systems proteins are covered with a 100% guarantee

Source

E. coli

Accession #

Structure / Form

Disulfide-linked homodimer

Conjugate

Unconjugated

Applications

Bioactivity

Product Specifications

Source

E. coli-derived mouse GDF-15 protein
Ser189-Ala303

Purity

>90%, by SDS-PAGE visualized with Silver Staining and quantitative densitometry by Coomassie® Blue Staining.

Endotoxin Level

<0.10 EU per 1 μg of the protein by the LAL method.

N-terminal Sequence Analysis

Ser189

Predicted Molecular Mass

13 kDa

SDS-PAGE

9-13 kDa, reducing conditions

Activity

Measured by its binding ability in a functional ELISA.
Recombinant Mouse GDF-15 (Catalog # 8944-GD) binds to Recombinant Mouse GFR alpha-like Fc Chimera (Catalog # 9844-GR) with an ED50 of 0.500-5.00 ng/mL.

Scientific Data Images for Recombinant Mouse GDF-15 Protein, CF

Recombinant Mouse GDF‑15 Protein Binding Activity.

In a functional ELISA, Recombinant Mouse GDF-15 (Catalog # 8944-GD) binds to Recombinant Mouse GFR alpha-like Fc Chimera (9844-GR) with an ED50 of 0.500-5.00 ng/mL.
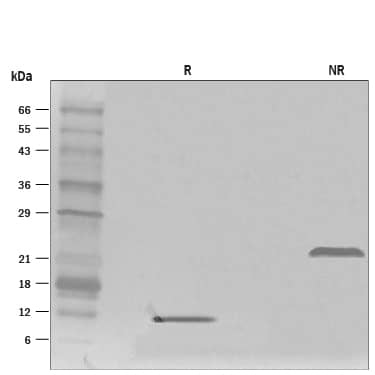
Recombinant Mouse GDF-15 Protein SDS-PAGE

Recombinant Mouse GDF-15 Protein SDS-PAGE

1 μg/lane of Recombinant Mouse GDF-15 (Catalog # 8944-GD) was resolved with SDS-PAGE under reducing (R) and non-reducing (NR) conditions and visualized by silver staining, showing bands at 10.5 kDa and 22 kDa, respectively.

Formulation, Preparation and Storage

8944-GD
Formulation Lyophilized from a 0.2 μm filtered solution in HCl.
Reconstitution
Reconstitute at 250 μg/mL in 4 mM HCl.

Reconstitution Buffer Available:
Size / Price
Qty
Loading...
Shipping The product is shipped at ambient temperature. Upon receipt, store it immediately at the temperature recommended below.
Stability & Storage Use a manual defrost freezer and avoid repeated freeze-thaw cycles.
  • 12 months from date of receipt, -20 to -70 °C as supplied.
  • 1 month, 2 to 8 °C under sterile conditions after reconstitution.
  • 3 months, -20 to -70 °C under sterile conditions after reconstitution.

Background: GDF-15

Growth Differentiation Factor 15 (GDF-15), also called Macrophage Inhibitory Cytokine 1 (MIC-1), Placental Transforming Growth Factor  beta, Prostate-derived Factor, and Placental Bone Morphogenetic Protein, is a divergent member of the TGF-beta superfamily. Cellular responses to TGF-beta proteins are mediated by hetero-oligomeric complexes of type I and type II serine/threonine kinase receptors (1-3). GDF-15 is highly expressed in placenta and brain, and it is expressed at lower levels in kidney, pancreas, prostate, and colon. Similar to other TGF-beta family proteins, GDF-15 is synthesized as a large precursor protein that is cleaved at a dibasic cleavage site (RxxR) to release the mature protein. Mature mouse GDF-15 shares 66% and 97% amino acid sequence identity with the human and rat proteins, respectively. The C-terminal domain of GDF-15 contains seven characteristic conserved cysteine residues necessary for the formation of the cysteine knot and the single inter-chain disulfide bond (4, 5). Biologically active GDF-15 is a disulfide-linked homodimer of the mature protein. GDF-15 has been shown to have various functions, including inhibition of TNF-alpha production from lipopolysaccharide-stimulated macrophages and the induction of cartilage formation (2, 6). GDF-15 also promotes neuronal survival, and hypothalamic expression of GDF-15 causes appetite suppression via modulation of neuropeptide Y and pro-opiomelanocortin levels (7-10). GDF-15 is cardioprotective via inhibition of platelet activation, limiting atherosclerosis, promoting recovery following myocardial infarction, and regulating angiogenesis (11-15). Exposure of cardiomyocytes to GDF-15 results in Smad2 and Smad3 phosphorylation (16).

References

  1. Unsicker, K. et al. (2013) Cytokine Growth Factor Rev. 24:373.
  2. Bootcov, M.R. et al. (1997) Proc. Natl. Acad. Sci. USA 94:11514.
  3. Fairlie, W.D. et al. (1999) J. Leukoc. Biol. 65:2.
  4. Fairlie, W.D. et al. (2001) J. Biol. Chem. 276:16911.
  5. Bauskin, A.R. et al. (2000) EMBO J. 19:2212.
  6. Paralkar, V.M. et al. (1998) J. Biol. Chem. 273:13760.
  7. Johnen, H. et al. (2007) Nat. Med. 13:1333.
  8. Strelau, J. et al. (2000) J. Neurosci. 20:8597.
  9. Breit, S.N. et al. (2011) Growth Factors 29:187.
  10. Strelau, J. et al. (2009) J. Neurosci. 29:13640.
  11. Whitson, R.J. et al. (2013) J. Cell. Biochem. 114:1424.
  12. Rossaint, J. et al. (2013) J. Thromb. Haemost. 11:335.
  13. Song, H. et al. (2012) Mol. Biol. Rep. 39:4017.
  14. Preusch, M.R. et al. (2013) Eur. J. Med. Res. 18:19.
  15. Kempf, T. et al. (2011) Nat. Med. 17:581.
  16. Xu, J. et al. (2006) Circ. Res. 98:342.

Long Name

Growth Differentiation Factor 15

Alternate Names

GDF15, MIC-1, NAG-1, PDF, PLAB, PTGF-beta

Entrez Gene IDs

9518 (Human); 23886 (Mouse); 29455 (Rat)

Gene Symbol

GDF15

UniProt

Additional GDF-15 Products

Product Documents for Recombinant Mouse GDF-15 Protein, CF

Certificate of Analysis

To download a Certificate of Analysis, please enter a lot number in the search box below.

Note: Certificate of Analysis not available for kit components.

Product Specific Notices for Recombinant Mouse GDF-15 Protein, CF

For research use only

Loading...
Loading...
Loading...