Skip to main content

Recombinant Mouse CD52 Fc Chimera Protein, CF

R&D Systems, part of Bio-Techne | Catalog # 10712-CD

R&D Systems, part of Bio-Techne
Catalog #
Availability
Size / Price
Qty
Loading...
10712-CD-050

Key Product Details

  • R&D Systems NS0-derived Recombinant Mouse CD52 Fc Chimera Protein (10712-CD)
  • Quality control testing to verify active proteins with lot specific assays by in-house scientists
  • All R&D Systems proteins are covered with a 100% guarantee

Source

NS0

Accession #

Structure / Form

Disulfide-linked homodimer

Conjugate

Unconjugated

Applications

Bioactivity

Product Specifications

Source

Mouse myeloma cell line, NS0-derived mouse CD52 protein
Mouse CD52
(Thr27-Ser47)
Accession # Q64389.1
IEGRMDP Mouse IgG2a
(Glu98-Lys330)
N-terminus C-terminus

Purity

>95%, by SDS-PAGE visualized with Silver Staining and quantitative densitometry by Coomassie® Blue Staining.

Endotoxin Level

<0.10 EU per 1 μg of the protein by the LAL method.

N-terminal Sequence Analysis

Thr27

Predicted Molecular Mass

29 kDa

SDS-PAGE

32-36 kDa & 38-42 kDa, under reducing conditions

Activity

Measured by its binding ability in a functional ELISA.
When Recombinant Human Siglec-10 Fc Chimera Protein (Catalog # 2130-SL) is immobilized at 2.5 μg/mL (100 µL/well), the concentration of Recombinant Mouse CD52 Fc Chimera (Catalog # 10712-CD) that produces 50% of the optimal binding response is found to be approximately 1.5-7.5 μg/mL.

Scientific Data Images for Recombinant Mouse CD52 Fc Chimera Protein, CF

Recombinant Mouse CD52 Fc Chimera Protein Binding Activity.

When Recombinant Human Siglec-10 Fc Chimera (2130-SL) is immobilized at 2.5 μg/mL (100 μL/well), the concentration of Recombinant Mouse CD52 Fc Chimera (Catalog # 10712-CD) that produces 50% of the optimal binding response is found to be approximately 1.5-7.5 μg/mL.

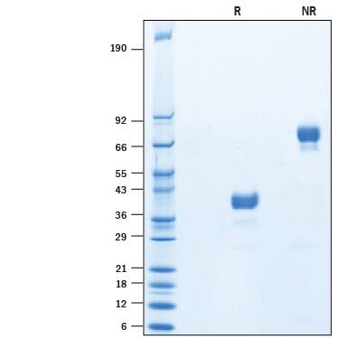
Recombinant Mouse CD52 Fc Chimera Protein SDS-PAGE.

2 μg/lane of Recombinant Mouse CD52 Fc Chimera (Catalog # 10712-CD) was resolved with SDS-PAGE under reducing (R) and non-reducing (NR) conditions and visualized by Coomassie® Blue staining, showing bands at 32-42 kDa and 64-84 kDa, respectively.

Formulation, Preparation and Storage

10712-CD
Formulation Lyophilized from a 0.2 μm filtered solution in PBS.
Reconstitution Reconstitute at 250 μg/mL in PBS.
Shipping The product is shipped at ambient temperature. Upon receipt, store it immediately at the temperature recommended below.
Stability & Storage Use a manual defrost freezer and avoid repeated freeze-thaw cycles.
  • 12 months from date of receipt, -20 to -70 °C as supplied.
  • 1 month, 2 to 8 °C under sterile conditions after reconstitution.
  • 3 months, -20 to -70 °C under sterile conditions after reconstitution.

Background: CD52

CD52, also known as CAMPATH-1 antigen, HE5, and gp20, is a cell surface glycoprotein that can be targeted to induce immune suppression by complement-mediated cell lysis (1, 2). Mature mouse CD52 is a short peptide that is tethered to the cell surface with a GPI linkage (1, 2). CD52 carries a large N-linked carbohydrate moiety which increases the molecular weight significantly (3-5). Mouse CD52 shares only 23% and 16% amino acid identity with rat and human CD52, respectively. CD52 is expressed on lymphocytes, monocytes, monocycte-derived dendritic cells, eosinophils, and neutrophils (6-8), as well as on mature spermatozoa and epithelial cells lining the male genital tract (5, 9, 10). It protects sperm against anti-sperm antibodies by binding to C1q and inhibiting complement activation (11). CD52 ligation on CD4+ T cells induces a suppressive population of cells that release soluble CD52 which then binds to Siglec-10 (12-14). This interaction inhibits the proliferation of activated T cells and the cytotoxic function of autoimmune CD8+ T cells in type 1 diabetes (13).

References

  1. Morris, P.J. et al. (2006) Transplantation. 81:1361.
  2. Hu, Y. et al. (2009) Immunol. 128:260.
  3. Xia, M.Q. et al. (1991) Eur. J. Immunol. 21:1677.
  4. Treumann, A. et al. (1995) J. Biol. Chem. 270:6088.
  5. Schroter, S. et al. (1999) J. Biol. Chem. 274:29862.
  6. Ratzinger, G. et al. (2003) Blood 101:1422.
  7. Elsner, J. et al. (1996) Blood 88:4684.
  8. Ambrose, L.R. et al. (2009) Blood 114:3052.
  9. Focarelli, R. et al. (1998) Mol. Hum. Reprod. 4:119.
  10. Koyama, K. et al. (2009) J. Reprod. Immunol. 83:56.
  11. Hardiyanto, L. et al. (2012) J. Reprod. Immunol. 94:142.
  12. Watanabe, T. et al. (2006) Clin. Immunol. 120:247.
  13. Bandala-Sanchez, E. et al. (2013) Nat. Immunol. 14:741.
  14. Toh, B.-H. et al. (2013) Cell. Mol. Immunol. 10:379.

Alternate Names

CAMPATH-1, CD52, CDw52, He5, HEL-S-171mP

Entrez Gene IDs

1043 (Human); 23833 (Mouse)

Gene Symbol

CD52

UniProt

Additional CD52 Products

Product Documents for Recombinant Mouse CD52 Fc Chimera Protein, CF

Certificate of Analysis

To download a Certificate of Analysis, please enter a lot number in the search box below.

Note: Certificate of Analysis not available for kit components.

Product Specific Notices for Recombinant Mouse CD52 Fc Chimera Protein, CF

For research use only

Loading...
Loading...
Loading...