Skip to main content

Recombinant Human TRAIL R2 Fc Alexa Fluor® 488 Protein

R&D Systems, part of Bio-Techne | Catalog # AFG10140

Fc Chimera
R&D Systems, part of Bio-Techne
Catalog #
Availability
Size / Price
Qty
Loading...
AFG10140-020

Key Product Details

  • R&D Systems CHO-derived Recombinant Human TRAIL R2 Fc Alexa Fluor® 488 Protein (AFG10140)
  • Quality control testing to verify active proteins with lot specific assays by in-house scientists
  • All R&D Systems proteins are covered with a 100% guarantee

Source

CHO

Accession #

Structure / Form

Disulfide-linked homodimer
Labeled with Alexa Fluor® 488 via amines
Excitation Wavelength: 488 nm
Emission Wavelength: 515-545 nm

Conjugate

Alexa Fluor 488 (Excitation= 488 nm, Emission= 515-545 nm)

Applications

Bioactivity

Product Specifications

Source

Chinese Hamster Ovary cell line, CHO-derived human TRAIL R2/TNFRSF10B protein
Human TRAIL R2/TNFRSF10B
(Ala54-Ser210)
Accession # AAH01281.1
IEGRMD Human IgG1
(Pro100-Lys330)
N-terminus C-terminus

Purity

>95%, by SDS-PAGE visualized with Silver Staining and quantitative densitometry by Coomassie® Blue Staining.

Endotoxin Level

<1.0 EU per 1 μg of the protein by the LAL method.

N-terminal Sequence Analysis

Ala54

Predicted Molecular Mass

44 kDa

SDS-PAGE

54-61 kDa, under reducing conditions.

Activity

Measured by flow cytometry for its ability to bind anti-human TRAILR2 Antibody conjugated beads. The concentration of Recombinant Human TRAIL R2/TNFRSF10B Fc Chimera Alexa Fluor® 488 (Catalog # AFG10140) that produces 50% of the binding response is 6.00-60.0 ng/mL.

Scientific Data Images for Recombinant Human TRAIL R2 Fc Alexa Fluor® 488 Protein

Flow cytometry analysis for Recombinant Human TRAIL R2/TNFRSF10B Fc Chimera Alexa Fluor® 488 staining on anti-human TRAILR2 Antibody conjugated beads.

Streptavidin coated beads conjugated to biotinylated anti-human TRAILR2 Antibody were stained with the indicated concentrations of Recombinant Human TRAIL R2/TNFRSF10B Fc Chimera Alexa Fluor® 488 (Catalog # AFG10140).

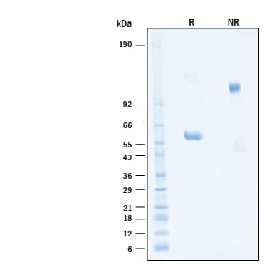
Recombinant Human TRAIL R2/TNFRSF10B Fc Chimera Alexa Fluor® 488 Protein SDS-PAGE.

2 μg/lane of Recombinant Human TRAIL R2/TNFRSF10B Fc Chimera Alexa Fluor® 488 Protein (Catalog # AFG10140) was resolved with SDS-PAGE under reducing (R) and non-reducing (NR) conditions and visualized by Coomassie® Blue staining, showing bands at 54-61 kDa and 110-120 kDa, respectively.

Formulation, Preparation and Storage

AFG10140
Formulation Supplied as a 0.2 μm filtered solution in PBS with BSA as a carrier protein.
Shipping The product is shipped with dry ice or equivalent. Upon receipt, store it immediately at the temperature recommended below.
Stability & Storage Protect from light. Use a manual defrost freezer and avoid repeated freeze-thaw cycles.
  • 6 months from date of receipt, -20 to -70 °C as supplied.
  • 1 month, 2 to 8 °C under sterile conditions after opening.
  • 3 months, -20 to -70 °C under sterile conditions after opening.

Background: TRAIL R2/TNFRSF10B

Human TRAIL R2, also called DR5 and TRICK 2 is a type 1, TNF R family, membrane protein which is a receptor for TRAIL (APO2 ligand) (1). In the new TNF superfamily nomenclature, TRAIL R2 is referred to as TNFRSF10B. TRAIL R2 cDNA encodes a 440 amino acid residue precursor protein containing extracellular cysteine-rich domains, a transmembrane domain and a cytoplasmic death domain. Among TNF receptor family proteins, TRAIL R2 is most closely related to TRAIL R1/DR4, sharing 55% amino acid sequence identity. There are no known rat or mouse homologs to TRAILR2. Binding of trimeric TRAIL to TRAIL R2 induces apoptosis (1, 2). The induction of apoptosis likely requires oligomerization of the receptor. The human TRAIL R2/Fc chimera neutralizes the ability of TRAIL to induce apoptosis (1, 2). Besides TRAIL R2, an additional TRAIL R1/DR4, which tranduces apoptosis signaling, and two TRAIL decoy receptors, which antagonize TRAIL-induced apoptosis, have been reported (3).

References

  1. Chaudhary, P.M. et al. (1997) Immunity 7:821.
  2. Walczak, H. et al. (1997) EMBO J. 16:5386.
  3. Golstein, P. (1997) Curr. Biol. 7:R750.

Long Name

TRAIL Receptor 2

Alternate Names

CD262, DR5, TNFRSF10B, TRAILR2

Entrez Gene IDs

8795 (Human); 21933 (Mouse)

Gene Symbol

TNFRSF10B

UniProt

Additional TRAIL R2/TNFRSF10B Products

Product Documents for Recombinant Human TRAIL R2 Fc Alexa Fluor® 488 Protein

Certificate of Analysis

To download a Certificate of Analysis, please enter a lot number in the search box below.

Note: Certificate of Analysis not available for kit components.

Product Specific Notices for Recombinant Human TRAIL R2 Fc Alexa Fluor® 488 Protein


This product is provided under an agreement between Life Technologies Corporation and R&D Systems, Inc, and the manufacture, use, sale or import of this product is subject to one or more US patents and corresponding non-US equivalents, owned by Life Technologies Corporation and its affiliates. The purchase of this product conveys to the buyer the non-transferable right to use the purchased amount of the product and components of the product only in research conducted by the buyer (whether the buyer is an academic or for-profit entity). The sale of this product is expressly conditioned on the buyer not using the product or its components (1) in manufacturing; (2) to provide a service, information, or data to an unaffiliated third party for payment; (3) for therapeutic, diagnostic or prophylactic purposes; (4) to resell, sell, or otherwise transfer this product or its components to any third party, or for any other commercial purpose. Life Technologies Corporation will not assert a claim against the buyer of the infringement of the above patents based on the manufacture, use or sale of a commercial product developed in research by the buyer in which this product or its components was employed, provided that neither this product nor any of its components was used in the manufacture of such product. For information on purchasing a license to this product for purposes other than research, contact Life Technologies Corporation, Cell Analysis Business Unit, Business Development, 29851 Willow Creek Road, Eugene, OR 97402, Tel: (541) 465-8300. Fax: (541) 335-0354.

For research use only

Loading...
Loading...