Skip to main content

Recombinant Human TDO2 Protein, CF

R&D Systems, part of Bio-Techne | Catalog # 9768-TD

Tryptophan 2,3-dioxygenase
R&D Systems, part of Bio-Techne
Catalog #
Availability
Size / Price
Qty
Loading...
9768-TD-020

Key Product Details

  • R&D Systems E. coli-derived Recombinant Human TDO2 Protein (9768-TD)
  • Quality control testing to verify active proteins with lot specific assays by in-house scientists
  • All R&D Systems proteins are covered with a 100% guarantee

Source

E. coli

Accession #

Conjugate

Unconjugated

Applications

Enzyme Activity

Product Specifications

Source

E. coli-derived human TDO2 protein
Leu18-Phe388
with an N-terminal Met and a C-terminal 6-His tag

Purity

>90%, by SDS-PAGE visualized with Silver Staining and quantitative densitometry by Coomassie® Blue Staining.

Endotoxin Level

<1.0 EU per 1 μg of the protein by the LAL method.

N-terminal Sequence Analysis

Met

Predicted Molecular Mass

45 kDa

SDS-PAGE

40 kDa and 78 kDa, reducing conditions

Activity

Measured by its ability to oxidize L-tryptophan to N-formyl-kynurenine.
The specific activity is >650 pmol/min/μg, as measured under the described conditions.

Scientific Data Images for Recombinant Human TDO2 Protein, CF

Recombinant Human TDO2 Protein Enzyme Activity

Recombinant Human TDO2 Protein Enzyme Activity

Recombinant Human TDO2 (Catalog # 9768-TD) is measured by its ability to oxidize L-tryptophan to N-formyl-kynurenine. The activity (orange) is approximately 10-fold greater than the competitor's TDO2 (green).
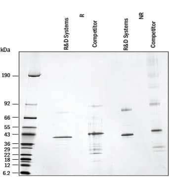
Recombinant Human TDO2 Protein SDS-PAGE

Recombinant Human TDO2 Protein SDS-PAGE

1 μg/lane of Recombinant Human TDO2 (Catalog # 9768-TD) and 1 μg/lane of competitor Human TDO2 was resolved with 4‑20% SDS-PAGE under reducing (R) and non-reducing (NR) conditions and visualized by silver staining.

Formulation, Preparation and Storage

9768-TD
Formulation Supplied as a 0.2 μm filtered solution in Tris, NaCl and Glycerol.
Shipping The product is shipped with dry ice or equivalent. Upon receipt, store it immediately at the temperature recommended below.
Stability & Storage Use a manual defrost freezer and avoid repeated freeze-thaw cycles.
  • 6 months from date of receipt, -20 to -70 °C as supplied.
  • 3 months, -20 to -70 °C under sterile conditions after opening.

Background: TDO2

Tryptophan 2,3-dioxygenase (TDO2), a heme-containing cytosolic dioxygenase, forms a homo-tetrameric active molecule of approximately 190 kDa composed of 48 kDa monomers (1, 2). Human TDO2 shares 89% aa sequence identity with mouse TDO2. TDO2 is one of three proteins capable of catalyzing the first and rate-limiting step of the L-kynurenine pathway (KP): oxidative cleavage of the essential amino acid L-tryptophan to form N‑formyl‑kynurenine (3). TDO2 is a cytosolic protein typically localized to the liver and brain, unlike the more ubiquitously expressed indoleamine 2,3-dioxygenase (IDO), yet it is responsible for ~90% of the primary route of catabolism of tryptophan through the KP (3). TDO2 is upregulated in extrahepatic tumors (4-6) and is consequently a target in cancer immunotherapy (7). TDO2 is a therapeutic target in brain disease such as schizophrenia, Alzheimers disease, multiple sclerosis and glioma (8-11) due to its role in the regulation of levels of critical biologically active downstream KP metabolites (3). Polymorphisms in the TDO2 gene have been implicated for a role in behavioural responses and autism (12,13).

References

  1. Lewis-Ballester, A. et al. (2016) Sci. Rep. 6:35169.
  2. Rafice, S.A. et al. (2009) Biochem. Soc. Trans. 37:408.
  3. Badawy, A. (2017) Int J. Tryptophan Res. 10:1.
  4. Pilotte, L. et al. (2012) Proc. Natl. Acad. Sci. U.S.A. 109:2497.
  5. D'Amato, N.C. et al. (2015) Cancer Res. 75:4651.
  6. Yu, C.P et al. (2017) Med. Oncol. 34:73.
  7. Platten, et al. (2015) Front. Immunol. 5:673.
  8. Breda, C. et al. (2016) Proc. Natl. Acad. Sci. U.S.A. 113:5435.
  9. Yu, C.P. et al. (2016) Metab. Brain Dis. 31:737.
  10. Lanz. T.V. et al. (2017) Sci. Rep. 7:41271.
  11. Reus, G.Z. et al. (2018) Prog. Neuropsychopharmacol. Biol. Psychiatry 81:55.
  12. Soichot, M. et al. (2013) Alcohol Alcohol 48:415.
  13. Nabi, R. et al. (2004) Am. J. Med. Genet. B. Neuropsychiatr. Genet. 125B:63.

Long Name

Tryptophan 2,3-dioxygenase

Alternate Names

chky, TDO, TO, TRPO, Tryptophan Oxygenase, Tryptophan Pyrrolase, Tryptophanase

Entrez Gene IDs

6999 (Human); 56720 (Mouse); 64206 (Rat)

Gene Symbol

TDO2

UniProt

Additional TDO2 Products

Product Documents for Recombinant Human TDO2 Protein, CF

Certificate of Analysis

To download a Certificate of Analysis, please enter a lot number in the search box below.

Note: Certificate of Analysis not available for kit components.

Product Specific Notices for Recombinant Human TDO2 Protein, CF

For research use only

Loading...
Loading...
Loading...