Skip to main content

Recombinant Human Sialate O-acetylesterase/SIAE His-tag, CF

R&D Systems, part of Bio-Techne | Catalog # 11497-SI

R&D Systems, part of Bio-Techne
Catalog #
Availability
Size / Price
Qty
Loading...
11497-SI-020

Key Product Details

  • R&D Systems CHO-derived Recombinant Human Sialate O-acetylesterase/SIAE His-tag (11497-SI)
  • Quality control testing to verify active proteins with lot specific assays by in-house scientists
  • All R&D Systems proteins are covered with a 100% guarantee

Source

CHO

Accession #

Conjugate

Unconjugated

Applications

Enzyme Activity

Product Specifications

Source

Chinese Hamster Ovary cell line, CHO-derived human SIAE protein
Ile24-Lys523, with a C-terminal 6-His tag

Purity

>95%, by SDS-PAGE visualized with Silver Staining and quantitative densitometry by Coomassie® Blue Staining.

Endotoxin Level

<0.10 EU per 1 μg of the protein by the LAL method.

N-terminal Sequence Analysis

Ile24

Predicted Molecular Mass

57 kD

SDS-PAGE

63-69 & 88-97 kD, under reducing conditions.

Activity

Measured by its ability to hydrolyze p-nitrophenylacetate.
The specific activity is >25000 pmol/min/μg, as measured under the described conditions.

Scientific Data Images for Recombinant Human Sialate O-acetylesterase/SIAE His-tag, CF

Recombinant Human SIAE His-tag Protein Enzyme Activity Diagram.

Recombinant Human SIAE His-tag Protein (Catalog # 11497-SI) catalyzes the removal of O-acetyl ester groups from position 9 of Sialic Acid.

Recombinant Human SIAE His-tag Protein Enzyme Activity Assay.

Recombinant Human SIAE His-tag Protein (Catalog # 11497-SI) is measured by its ability to hydrolyze p-nitrophenylacetate.

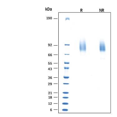
Recombinant Human SIAE His-tag Protein SDS-PAGE.

2 μg/lane of Recombinant Human SIAE His-tag Protein (Catalog # 11497-SI) was resolved with SDS-PAGE under reducing (R) and non-reducing (NR) conditions and visualized by Coomassie® Blue staining, showing bands at 63-69 & 88-97 kDa, under reducing conditions.

Formulation, Preparation and Storage

11497-SI
Formulation Supplied as a 0.2 μm filtered solution in Tris and NaCl.
Shipping The product is shipped with polar packs. Upon receipt, store it immediately at the temperature recommended below.
Stability & Storage Use a manual defrost freezer and avoid repeated freeze-thaw cycles.
  • 6 months from date of receipt, -20 to -70 °C as supplied.
  • 3 months, -20 to -70 °C under sterile conditions after opening.

Background: SIAE

Recombinant human Sialate O-acetylesterase (SIAE) is a glycosylated lysosomal protein that has two transcript isoforms: the cytosolic sialic acid esterase (Cse) that lacks 35 amino acids at the N-terminus and the lysosomal/membrane-associated sialic acid esterase (Lse) (1, 2). The Lse form is the predominantly expressed form responsible for the acetyl esterase activity on NeuAc in most tissues (2) and represents the recombinant product form. SIAE contains a signal sequence, a variable N-terminus, and a core protein structure that is unique within the SGNH hydrolase family (2) and contains a shallow active site pocket that accommodates binding of various complex substrates with acetylated sialic acid. SIAE Lse form catalyzes the removal of O-acetyl ester groups from position 9 of Sialic acid and is highly expressed in the testis, colon, and prostrate (3). SIAE deficiency has been shown to impact B cell development, signaling, and immunological tolerance through modulation of Siglec binding (4). Many SIAE variants in humans that result in defective activity or improper secretion have been identified in patients with autoimmune diseases including Crohn's disease, Sjogren's syndrome, lupus, rheumatoid arthritis, and type I diabetes (5). In addition, SIAE modulation of Siglec binding and sialic acid levels may play a key role in the immune evasion pathway associated with cancer (6). SIAE has also been implicated to play an important role in immune modulation during pregnancy (7). 

References

  1. Higa, H.H. et. al. (1987) Biochem. Biophys. Res. Commun. 144:1099.
  2. Orizio, F. et. al. (2015) Glycobiology 9:992.
  3. Zhu, H. et. al. (2004) J. Biomed. Biotechnol. 3:130.
  4. Cariappa, A. et. al. (2009) J. Exp. Med. 206:125.
  5. Surolia, I. et. al. (2010) Nature 466:243.
  6. Grabenstein, S. et. al. (2021) Glycobiology 31:1279.
  7. Erickson, J. et. al. (2022) Nature 606:769.

Long Name

Sialic Acid Acetylesterase

Alternate Names

AIS6, CSE-C, CSEC, EC 3.1.1.53, LSE, MGC87009, Sialate O-Acetylesterase, YSG2

Entrez Gene IDs

54414 (Human); 22619 (Mouse); 363045 (Rat)

Gene Symbol

SIAE

UniProt

Additional SIAE Products

Product Documents for Recombinant Human Sialate O-acetylesterase/SIAE His-tag, CF

Certificate of Analysis

To download a Certificate of Analysis, please enter a lot number in the search box below.

Note: Certificate of Analysis not available for kit components.

Product Specific Notices for Recombinant Human Sialate O-acetylesterase/SIAE His-tag, CF

For research use only

Loading...
Loading...
Loading...