Skip to main content

Recombinant Human IL1RAPL2 His-tag Protein, CF

R&D Systems, part of Bio-Techne | Catalog # 11207-MR

R&D Systems, part of Bio-Techne
Catalog #
Availability
Size / Price
Qty
Loading...
11207-MR-100

Key Product Details

  • R&D Systems CHO-derived Recombinant Human IL1RAPL2 His-tag Protein (11207-MR)
  • Quality control testing to verify active proteins with lot specific assays by in-house scientists
  • All R&D Systems proteins are covered with a 100% guarantee

Source

CHO

Accession #

Conjugate

Unconjugated

Applications

Bioactivity

Product Specifications

Source

Chinese Hamster Ovary cell line, CHO-derived human IL1RAPL2 protein
Thr17-Glu356, with a C-terminal 6-His tag

Purity

>95%, by SDS-PAGE visualized with Silver Staining and quantitative densitometry by Coomassie® Blue Staining.

Endotoxin Level

<0.10 EU per 1 μg of the protein by the LAL method.

N-terminal Sequence Analysis

Thr17 and Lys20

Predicted Molecular Mass

40 kDa

SDS-PAGE

40-60 kDa, under reducing conditions.

Activity

Measured by its binding ability in a functional ELISA.

When Recombinant Human IL1RAPL2 His-tag (Catalog # 11207-MR) is immobilized at 2 µg/mL (100 µL/well), Recombinant Human PTPRD Fc Chimera  (Catalog # 9995-PR) binds with an ED50 of 45.0-450 ng/mL.

Scientific Data Images for Recombinant Human IL1RAPL2 His-tag Protein, CF

Recombinant Human IL1RAPL2 His-tag Protein Binding Activity.

When Recombinant Human IL1RAPL2 His-tag Protein (Catalog # 11207-MR) is immobilized at 2 µg/mL (100 µL/well), Recombinant Human PTPRD Fc Chimera Protein (9995-PR) binds with an ED50 of 45.0-450 ng/mL.

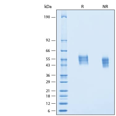
Recombinant Human IL1RAPL2 His-tag Protein SDS-PAGE.

2 μg/lane of Recombinant Human IL1RAPL2 His-tag Protein (Catalog # 11207-MR) was resolved with SDS-PAGE under reducing (R) and non-reducing (NR) conditions and visualized by Coomassie® Blue staining, showing bands at 40-60 kDa.

Formulation, Preparation and Storage

11207-MR
Formulation Lyophilized from a 0.2 μm filtered solution in PBS with Trehalose.
Reconstitution Reconstitute at 500 μg/mL in PBS.
Shipping The product is shipped at ambient temperature. Upon receipt, store it immediately at the temperature recommended below.
Stability & Storage Use a manual defrost freezer and avoid repeated freeze-thaw cycles.
  • 12 months from date of receipt, -20 to -70 °C as supplied.
  • 1 month, 2 to 8 °C under sterile conditions after reconstitution.
  • 3 months, -20 to -70 °C under sterile conditions after reconstitution.

Background: IL1RAPL2

The Interleukin 1 receptor family (IL-1R) comprises at least eleven members including IL-1 RI (IL-1R1), IL-1 RII (IL-1 R2), IL-1 RAcP (IL-1 R3), ST2 (T1/IL‑1 R4), IL‑18 R alpha (IL-1 Rrp/IL-1 R5), IL-1 Rrp2 (IL-1 RL2/IL-1 R6), IL-18 R beta (AcPL/IL-1 R7), IL1RAPL1 (TIGIRR-2/IL-1 R8), and IL1RAPL2 (TIGIRR-1/IL-1 R9) (1). All family members possess three immunoglobulin (Ig)-like domains in their extracellular region. Most members also have an intracellular TIR (Toll-like receptor/IL-1 receptor signaling) domain that is also conserved in the Toll-like receptor family. Related proteins, SIGIRR (single Ig domain-containing IL-1 R-related molecule) and IL-18BP, differ from the other members by having only one Ig domain (1). IL-1 receptor accessory protein-like 2 (IL1RAPL2) is alternately known as IL-1 R9 and three immunoglobulin domain containing IL-1 receptor-related molecule 1 (TIGIRR-1) and is expressed in the brain (2). Its sequence predicts an 686 amino acid (aa) residue type I transmembrane glycoprotein with a 17 aa signal peptide, a 339 aa extracellular region containing three Ig-like domains, an 18 aa transmembrane domain and a 312 aa cytoplasmic tail (3). By comparison to other IL-1 receptor family proteins, IL1RAPL2 has a C-terminal cytoplasmic extension beyond the TIR domain that is found in IL-1RAPL1 and SIGIRR but not other family members (3). Human and mouse IL1RAPL2 share approximately 95% aa sequence identity. Human IL1RAPL2 is most homologous (63%) to IL-1RAPL1, a receptor protein that is highly expressed in hippocampus and is involved in X-linked mental retardation (4, 5). Genes for both have been localized to human chromosome Xq22. A ligand for IL1RAPL2 has not been identified (1).

References

  1. Boraschi, D. and A. Tagliabue (2006) Vitam. Horm. 74:229.
  2. Andre, R. et al. (2005) J. Neurochem. 95:324.
  3. Born, T.L. et al. (2000) J. Biol. Chem. 275:29946.
  4. Jin, H. et al. (2000) Eur. J. Hum. Genet. 8:87.
  5. Carrie, A. et al. (1999) Nat. Genet. 23:25.

Long Name

Interleukin 1 Receptor Accessory Protein-like 2

Alternate Names

IL-1R10, IL-1RAPL2, IL1RAPL2, TIGIRR-1

Entrez Gene IDs

26280 (Human); 60367 (Mouse)

Gene Symbol

IL1RAPL2

UniProt

Additional IL1RAPL2 Products

Product Documents for Recombinant Human IL1RAPL2 His-tag Protein, CF

Certificate of Analysis

To download a Certificate of Analysis, please enter a lot number in the search box below.

Note: Certificate of Analysis not available for kit components.

Product Specific Notices for Recombinant Human IL1RAPL2 His-tag Protein, CF

For research use only

Loading...
Loading...
Loading...