Skip to main content

Recombinant Human IL-13 R alpha 1 Fc Avi-tag Protein, CF

R&D Systems, part of Bio-Techne | Catalog # AVI10436

Biotinylated
R&D Systems, part of Bio-Techne
Catalog #
Availability
Size / Price
Qty
Loading...
AVI10436-050

Key Product Details

  • R&D Systems CHO-derived Recombinant Human IL-13 R alpha 1 Fc Avi-tag Protein (AVI10436)
  • Quality control testing to verify active proteins with lot specific assays by in-house scientists
  • All R&D Systems proteins are covered with a 100% guarantee

Source

CHO

Accession #

Structure / Form

Biotinylated via Avi-tag

Conjugate

Biotin

Applications

Bioactivity

Product Specifications

Source

Chinese Hamster Ovary cell line, CHO-derived human IL-13 R alpha 1 protein
Human IL-13 R alpha1
(Ala27-Thr343)
Accession # AAB37127.1
IEGRMD Human IgG1
(Pro100-Lys330)
Avi-tag
N-terminus C-terminus

Purity

>95%, by SDS-PAGE visualized with Silver Staining and quantitative densitometry by Coomassie® Blue Staining.

Endotoxin Level

<0.10 EU per 1 μg of the protein by the LAL method.

N-terminal Sequence Analysis

Ala27

Predicted Molecular Mass

65 kDa

SDS-PAGE

93-103 kDa, under reducing conditions

Activity

Measured by its binding ability in a functional ELISA.
When Biotinylated Recombinant Human IL-13 R alpha1 Fc Chimera Avi-tag (Catalog # AVI10436) is immobilized at 1 µg/mL (100 µL/well), Recombinant Human IL-13 (Catalog # 213-ILB) binds with an ED50 of 10-80 ng/mL.

Scientific Data Images for Recombinant Human IL-13 R alpha 1 Fc Avi-tag Protein, CF

Biotinylated Human IL-13 R alpha 1 Fc Chimera Avi-tag Protein Binding Activity.

When Biotinylated Recombinant Human IL-13 R alpha1 Fc Chimera Avi-tag (Catalog # AVI10436) is immobilized at 1 µg/mL (100 µL/well), Recombinant Human IL-13 (213-ILB) binds with an ED50 of 10-80 ng/mL.

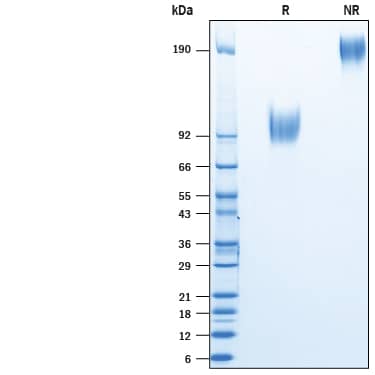
Biotinylated Recombinant Human IL-13 R alpha 1 Fc Chimera Avi-tag Protein SDS-PAGE.

2 μg/lane of Biotinylated Recombinant Human IL-13 R alpha1 Fc Chimera Avi-tag (Catalog # AVI10436) was resolved with SDS-PAGE under reducing (R) and non-reducing (NR) conditions and visualized by Coomassie® Blue staining, showing bands at 93-103 kDa and 186-206 kDa, respectively.

Formulation, Preparation and Storage

AVI10436
Formulation Supplied as a 0.2 μm filtered solution in PBS with Trehalose.
Shipping The product is shipped with dry ice or equivalent. Upon receipt, store it immediately at the temperature recommended below.
Stability & Storage Use a manual defrost freezer and avoid repeated freeze-thaw cycles.
  • 6 months from date of receipt, -20 to -70 °C as supplied.
  • 1 month, 2 to 8 °C under sterile conditions after opening.
  • 3 months, -20 to -70 °C under sterile conditions after opening.

Background: IL-13 R alpha 1

IL-13 RA1, also known as IL-13R and IL-13 RA, is a type I transmembrane protein. Its cDNA encodes a 427 aa precursor protein, with 322 aa extracellular domain, 24 aa transmembrane domain and 60 aa intracellular domain. Within the extracellular domain, human IL-13 RA1 shares 75% and 74% homology with mouse and rat IL-13 RA1, respectively. IL-13 RA1 expresses ubiquitously in all tissues with the highest level in heart, liver, skeletal muscle and ovary (1). As a receptor, IL-13 RA1 can function alone or as a heterodimer with IL-4R. Although both IL-4 and IL-13 signal through IL-4R/IL-13 RA1 heterodimer, there are distinct differences. IL-4 binds IL-4R with high affinity then binds IL-13 RA1 with low affinity. In contrast, IL-13 binds IL-13 RA1 with decent affinity, then binds IL-4R with high affinity (2). In addition, the N-terminal Fibronectin type III domain (D1) of IL-13 RA1 is only required for the binding of IL-13 not IL-4 (3,4). After binding to IL-4 or IL-13, the Tyr residues in the cytoplasmic domain of IL-13 RA get phosphorylated and then activate signaling proteins including Jak1, Tyk1, Tyk2, IRS-1, and STAT6 (5, 6). Alternative splicing generates soluble iL-13 RA1 missing the transmembrane domain (7). It not only functions as a decoy receptor for IL-13, but also is able to reduce fasting blood glucose, mediated by IL-4 (8). Higher expression of IL-13 RA1 are found in several cancers, often associated with poor prognosis in patients (9-11). Our Avi-tag Biotinylated human IL-13 RA1 features biotinylation at a single site contained within the Avi-tag, a unique 15 amino acid peptide. Protein orientation will be uniform when bound to streptavidin-coated surface due to the precise control of biotinylation and the rest of the protein is unchanged so there is no interference in the protein's bioactivity.

References

  1. Aman M.J. et al. (1996) J. Biol. Chem. 271:29265.
  2. LaPorte S.L. et al. (2008) Cell 132:259.
  3. Arima K. et al. (2005) J. Biol. Chem. 280:24915.
  4. Ito T, et al. (2009) J. Biol. Chem. 284:24289.
  5. Umeshita-Suyama R. et al. (2000) Int. Immunol. 12:1499.
  6. Roy B, et al. (2002) J. Leukoc. Biol. 72:580.
  7. Osawa M, et al. (2000) Immunogenetics 51:974.
  8. Rachmin I, et al. (2017) Am. J. Physiol. Endocrinol. Metab. 313:E663.
  9. Park M.H. et al. (2017) Ann, Surg. Oncol. 24:3780.
  10. Cao H, et al. (2016) Oncotarget 7:61183.
  11. Suzuki A, et al. (2015) Cytokine 75:79.

Long Name

Interleukin 13 Receptor alpha 1

Alternate Names

CD213a1, IL-13Ra1, IL13R alpha 1, IL13RA1

Entrez Gene IDs

3597 (Human); 16164 (Mouse)

Gene Symbol

IL13RA1

UniProt

Additional IL-13 R alpha 1 Products

Product Documents for Recombinant Human IL-13 R alpha 1 Fc Avi-tag Protein, CF

Certificate of Analysis

To download a Certificate of Analysis, please enter a lot number in the search box below.

Note: Certificate of Analysis not available for kit components.

Product Specific Notices for Recombinant Human IL-13 R alpha 1 Fc Avi-tag Protein, CF

For research use only

Loading...
Loading...