Skip to main content

Recombinant Human CD40 Ligand/TNFSF5 (HEK293-expressed), CF Best Seller

R&D Systems, part of Bio-Techne | Catalog # 6420-CLB

Analyzed by SEC-MALS. HA tag
R&D Systems, part of Bio-Techne
Catalog #
Availability
Size / Price
Qty
Loading...
6420-CLB-050

Key Product Details

  • R&D Systems HEK293-derived Recombinant Human CD40 Ligand/TNFSF5 (HEK293-expressed) (6420-CLB)
  • Quality control testing to verify active proteins with lot specific assays by in-house scientists
  • All R&D Systems proteins are covered with a 100% guarantee

Source

HEK293

Accession #

Conjugate

Unconjugated

Applications

Bioactivity

Product Specifications

Source

Human embryonic kidney cell, HEK293-derived human CD40 Ligand/TNFSF5 protein
YPYDVPDYA GCN4-IZ GGGSGGGSGGGS Human CD40 Ligand
(Met113-Leu261)
Accession # P29965.1
N-terminus C-terminus

Purity

>95%, by SDS-PAGE under reducing conditions and visualized by silver stain.

Endotoxin Level

<0.10 EU per 1 μg of the protein by the LAL method.

N-terminal Sequence Analysis

Tyr (of HA tag)

Predicted Molecular Mass

22 kDa

SDS-PAGE

20-27 kDa, under reducing conditions.

Activity

Measured in a cell proliferation assay using human B cells. The ED50 for this effect is 0.250-3.00 ng/mL in the presence of Recombinant Human IL-4 (Catalog # 204-IL) and a cross linking HA Tag Antibody (Catalog # MAB060).

Scientific Data Images for Recombinant Human CD40 Ligand/TNFSF5 (HEK293-expressed), CF

Recombinant Human CD40 Ligand/TNFSF5 Protein SEC-MALS.

Recombinant Human CD40 Ligand/TNFSF5 (Catalog # 6420-CLB) has a molecular weight (MW) of 66.8 kDa as analyzed by SEC-MALS, suggesting that this protein is a homotrimer.  MW may differ from predicted MW due to post-translational modifications (PTMs) present (i.e. Glycosylation).

Recombinant Human CD40 Ligand/TNFSF5 (HEK293-expressed) Bioactivity.

Recombinant Human CD40 Ligand/TNFSF5 (HEK293-expressed) (Catalog # 6420-CLB) stimulates the proliferation of human B cells in the presence of Recombinant Human IL‑4 (204-IL) and a cross linking HA Tag Antibody (MAB060). The ED50 for this effect is 0.250-3.00 ng/mL.

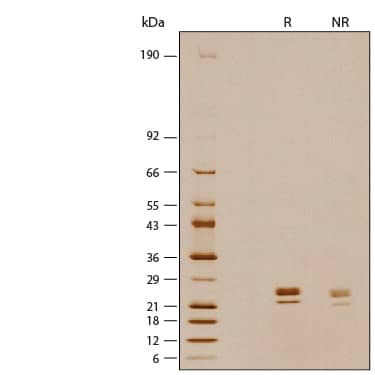
Recombinant Human CD40 Ligand/TNFSF5 (HEK293-expressed) Protein SDS-PAGE.

1 μg/lane of Recombinant Human CD40 Ligand/TNFSF5 (HEK293-expressed) Protein (Catalog # 6420-CLB) was resolved with SDS-PAGE under reducing (R) and non-reducing (NR) conditions and visualized by silver staining, showing bands at 20-27 kDa.

Formulation, Preparation and Storage

6420-CLB
Formulation Lyophilized from a 0.2 μm filtered solution in PBS and EDTA with Trehalose.
Reconstitution Reconstitute at 500 μg/mL in PBS.
Shipping The product is shipped at ambient temperature. Upon receipt, store it immediately at the temperature recommended below.
Stability & Storage Use a manual defrost freezer and avoid repeated freeze-thaw cycles.
  • 12 months from date of receipt, -20 to -70 °C as supplied.
  • 1 month, 2 to 8 °C under sterile conditions after reconstitution.
  • 3 months, -20 to -70 °C under sterile conditions after reconstitution.

Background: CD40 Ligand/TNFSF5

CD40 Ligand, also known as TNFSF, CD154, TRAP, and gp39, is a 34-39 kDa type II transmembrane glycoprotein that belongs to the TNF superfamily (1-3). Mature human CD40 Ligand consists of a 22 amino acid (aa) cytoplasmic domain, a transmembrane segment, and an 215 aa extracellular region (4, 5). The extracellular domain of human CD40 Ligand shares 74% and 76% aa sequence identity with mouse and rat CD40 Ligand, respectively. Similar to other TNF superfamily members, CD40 Ligand forms a bioactive homotrimer, both as membrane bound and soluble forms (6-9). The 18 kDa soluble form (aa 113-261) arises from proteolytic processing. Mutation and alternative splicing generate additional forms of CD40 Ligand that are often truncated or non-trimerizable (8). CD40 Ligand is expressed on platelets, as well as on activated T cells and B cells, basophils, eosinophils, fibroblasts, mast cells, monocytes, natural killer cells, vascular endothelial cells, and smooth muscle cells. CD40 Ligand binds to CD40, which is expressed on the surface of B cells, dendritic cells, macrophages, monocytes, platelets, endothelial, and epithelial cells (10). The interaction of CD40 Ligand with CD40 initiates signaling in both CD40 and CD40 Ligand expressing cells (11).  CD40 ligation by CD40 Ligand promotes B cell activation and T cell-dependent humoral responses (12, 13). CD40 Ligand dysregulation on T cells and antigen presenting cells contributes to the immune deficiency associated with HIV infection and AIDS (14, 15). It is also implicated in the pathology of multiple cardiovascular diseases including atherosclerosis, atherothrombosis, and restenosis (16, 17).

 

References

  1. Zhang, G. (2004) Curr. Opin. Struct. Biol. 14:154.
  2. Hehlgans, T. and K. Pfeffer (2005) Immunology 115:1.
  3. Quezada, S.A. et al. (2004) Annu. Rev. Immunol. 22:307.
  4. Graf, D. et al. (1992) Eur. J. Immunol. 22:3191.
  5. Hollenbaugh, D. et al. (1992) EMBO J. 11:4313.
  6. Khandekar, S.S. et al. (2001) Protein Expr. Purif. 23:301.
  7. Pietravalle, F. et al. (1996) J. Biol. Chem. 271:5965.
  8. Garber, E. et al. (1999) J. Biol. Chem. 274:33545.
  9. Vakkalanka, R.K. et al. (1999) Arthritis Rheum. 42:871.
  10. van Kooten, C. and J. Banchereau (1997) Curr. Opin. Immunol. 9:330.
  11. Eissner, G. et al. (2004) Cytokine Growth Factor. Rev. 15:353.
  12. Rickert, R.C. et al. (2011) Immunol. Rev. 244:115.
  13. Elgueta, R. et al. (2009) Immunol. Rev. 229:152.
  14. Kornbluth, R.S. (2000) J. Leukoc. Biol. 68:373.
  15. Chougnet, C. (2003) J. Leukoc. Biol. 74:702.
  16. Pamukcu, B. et al. (2011) Ann. Med. 43:331.
  17. Hassan, G.S. et al. (2012) Immunobiology 217:521.

Alternate Names

CD154, CD40L, CD40LG, gp39, TNFSF5, TRAP

Entrez Gene IDs

959 (Human); 21947 (Mouse); 84349 (Rat)

Gene Symbol

CD40LG

UniProt

Additional CD40 Ligand/TNFSF5 Products

Product Documents for Recombinant Human CD40 Ligand/TNFSF5 (HEK293-expressed), CF

Certificate of Analysis

To download a Certificate of Analysis, please enter a lot number in the search box below.

Note: Certificate of Analysis not available for kit components.

Product Specific Notices for Recombinant Human CD40 Ligand/TNFSF5 (HEK293-expressed), CF

For research use only

Loading...
Loading...
Loading...