Skip to main content

Recombinant Human BMP-9 Protein Best Seller

R&D Systems, part of Bio-Techne | Catalog # 3209-BP

R&D Systems, part of Bio-Techne
Discontinued Product
3209-BP has been discontinued. An alternative/replacement product is available: 3209-BP/CF. View all BMP-9 products.

Key Product Details

Source

CHO

Accession #

Structure / Form

Disulfide-linked homodimer

Conjugate

Unconjugated

Applications

Bioactivity

Product Specifications

Source

Chinese Hamster Ovary cell line, CHO-derived human BMP-9 protein
Ser320-Arg429

Purity

>95%, by SDS-PAGE under reducing conditions and visualized by silver stain.

Endotoxin Level

<0.01 EU per 1 μg of the protein by the LAL method.

N-terminal Sequence Analysis

Ser320

Predicted Molecular Mass

12.1 kDa (monomer)

SDS-PAGE

13 kDa, reducing conditions

Activity

Measured by its ability to induce alkaline phosphatase production by ATDC5 mouse chondrogenic cells. Nakamura, K. et al. (1999) Exp. Cell Res. 250:351.
The ED50 for this effect is 0.4-1.6 ng/mL.

Reviewed Applications

Read 3 reviews rated 4.3 using 3209-BP in the following applications:

Scientific Data Images for Recombinant Human BMP-9 Protein

Recombinant Human BMP-9 Protein Bioactivity

Recombinant Human BMP-9 Protein Bioactivity

Recombinant Human BMP-9 (Catalog # 3209-BP) induces alkaline phosphatase production in the ATDC5 mouse chondrogenic cell line. The ED50 for this effect is 0.4-1.6 ng/mL.
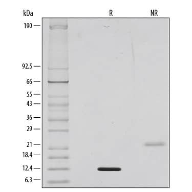
Recombinant Human BMP-9 Protein SDS-PAGE

Recombinant Human BMP-9 Protein SDS-PAGE

1 μg/lane of Recombinant Human BMP-9 was resolved with SDS-PAGE under reducing (R) and non-reducing (NR) conditions and visualized by silver staining, showing single bands at 13 kDa and 23 kDa, respectively.

Formulation, Preparation and Storage

Carrier Free
What does CF mean?

CF stands for Carrier Free (CF). We typically add Bovine Serum Albumin (BSA) as a carrier protein to our recombinant proteins. Adding a carrier protein enhances protein stability, increases shelf-life, and allows the recombinant protein to be stored at a more dilute concentration. The carrier free version does not contain BSA.

What formulation is right for me?

In general, we advise purchasing the recombinant protein with BSA for use in cell or tissue culture, or as an ELISA standard. In contrast, the carrier free protein is recommended for applications, in which the presence of BSA could interfere.

Carrier: 3209-BP
Formulation Lyophilized from a 0.2 μm filtered solution in Acetonitrile and TFA with BSA as a carrier protein.
Reconstitution Reconstitute at 10 μg/mL in sterile 4 mM HCl containing at least 0.1% human or bovine serum albumin.
Shipping The product is shipped at ambient temperature. Upon receipt, store it immediately at the temperature recommended below.
Stability & Storage Use a manual defrost freezer and avoid repeated freeze-thaw cycles.
  • 12 months from date of receipt, -20 to -70 °C as supplied.
  • 1 month, 2 to 8 °C under sterile conditions after reconstitution.
  • 3 months, -70 °C under sterile conditions after reconstitution.
Carrier Free: 3209-BP/CF
Formulation Supplied as a 0.2 μm filtered solution in Acetonitrile and TFA.
Reconstitution

It is recommended that sterile 4 mM HCl be added to the vial to prepare a working stock solution of no less than 100 μg/mL. The carrier-free protein should be used immediately upon dilution to avoid losses in activity due to non-specific binding to the inside surface of the vial. For long term storage as a dilute solution, a carrier protein (e.g. 0.1% HSA or BSA) should be added to the vial.

Shipping The product is shipped with dry ice or equivalent. Upon receipt, store it immediately at the temperature recommended below.
Stability & Storage Use a manual defrost freezer and avoid repeated freeze-thaw cycles.
  • 12 months from date of receipt, -70 °C as supplied.
  • 1 month, 2 to 8 °C under sterile conditions after opening.

Background: BMP-9

Human BMP-9, also known as growth and differentiation factor 2 (GDF-2), is a member of the BMP subgroup of the TGF-beta superfamily proteins that signal through heterodimeric complexes composed of type I and type II BMP receptors. BMP-9 regulates the development and function of a variety of embryonal and adult tissues (1, 2). The human BMP-9 cDNA encodes a 429 amino acid (aa) precursor that includes a 22 aa signal sequence, a 298 aa propeptide, and a 111 aa mature protein (3). Unlike with other BMP family proteins, the propeptide does not interfere with the biological activity of BMP-9 and remains associated with the mature peptide after proteolytic cleavage (4). Human and mouse BMP-9 share 96% aa sequence identity. Within the mature protein, human BMP-9 shares 64% aa sequence identity with human BMP-10 and less than 50% aa sequence identity with other BMPs. BMP-9 is expressed by non-parenchymal cells in the liver, (5, 6) where it promotes lipid metabolism and inhibits glucose production (7). BMP-9 exerts a prolonged hypoglycemic effect which may be due to an enhancement of insulin release (7). BMP-9 interacts with a high affinity specific heteromeric receptor expressed on liver endothelial cells that has been identified as ALK-1 (4 - 6). In the embryonal CNS, BMP-9 functions in the development and maintenance of the cholinergic neuronal phenotype (8 - 10). BMP-9 also induces the differentiation of mesenchymal stem cells into the chondrogenic lineage (11, 12). At low concentrations, BMP-9 is a proliferative factor for hematopoietic progenitor cells, but at higher concentrations, it enhances TGF-beta 1 production and inhibits hematopoietic progenitor colony formation (13).

References

  1. Chen, D. et al. (2004) Growth Factors 22:233.
  2. Miyazono, K. et al. (2005) Cytokine Growth Factor Rev. 16:251.
  3. Celeste, A.J. et al. (1994) J. Bone Miner. Res. 9:S136.
  4. Brown, M.A. et al. (2005) J. Biol. Chem. 280:25111.
  5. Song, J.J. et al. (1995) Endocrinology 136:4293.
  6. Miller, A.F. et al. (2000) J. Biol. Chem. 275:17937.
  7. Chen, C. et al. (2003) Nat. Biotechnol. 21:294.
  8. Lopez-Coviella, I. et al. (2000) Science 289:313.
  9. Lopez-Coviella, I. et al. (2005) Proc. Natl. Acad. Sci. 102:6984.
  10. Lopez-Coviella, I. et al. (2002) J. Physiol. Paris 96:53.
  11. Majumdar, M.K. et al. (2001) J. Cell. Physiol. 189:275.
  12. Hills, R.L. et al. (2005) J. Orthoped. Res. 23:611.
  13. Ploemacher, R.E. et al. (1999) Leukemia 13:428.

Long Name

Bone Morphogenetic Protein 9

Alternate Names

BMP9, GDF-2, GDF2

Entrez Gene IDs

2658 (Human); 12165 (Mouse)

Gene Symbol

GDF2

UniProt

Additional BMP-9 Products

Product Documents for Recombinant Human BMP-9 Protein

Certificate of Analysis

To download a Certificate of Analysis, please enter a lot number in the search box below.

Note: Certificate of Analysis not available for kit components.

Product Specific Notices for Recombinant Human BMP-9 Protein

For research use only

Loading...
Loading...
Loading...