Skip to main content

Recombinant Cynomolgus Monkey PVRIG Fc Chimera Protein, CF

R&D Systems, part of Bio-Techne | Catalog # 10718-PV

R&D Systems, part of Bio-Techne
Catalog #
Availability
Size / Price
Qty
Loading...
10718-PV-050

Key Product Details

  • R&D Systems HEK293-derived Recombinant Cynomolgus Monkey PVRIG Fc Chimera Protein (10718-PV)
  • Quality control testing to verify active proteins with lot specific assays by in-house scientists
  • All R&D Systems proteins are covered with a 100% guarantee

Source

HEK293

Accession #

Structure / Form

Disulfide-linked homodimer

Conjugate

Unconjugated

Applications

Bioactivity

Product Specifications

Source

Human embryonic kidney cell, HEK293-derived cynomolgus monkey PVRIG protein
Cynomolgus Monkey PVRIG
(Gly20, Ser21 or Glu23-Leu172)
Accession # XP_005549281.1
IEGRMD Human IgG1
(Pro100-Lys330)
N-terminus C-terminus

Purity

>95%, by SDS-PAGE visualized with Silver Staining and quantitative densitometry by Coomassie® Blue Staining.

Endotoxin Level

<0.10 EU per 1 μg of the protein by the LAL method.

N-terminal Sequence Analysis

Gly20, Ser21, Glu23

Predicted Molecular Mass

45 kDa

SDS-PAGE

52-63 kDa, under reducing conditions

Activity

Measured by its binding ability in a functional ELISA.
When Recombinant Cynomolgus Monkey PVRIG Fc Chimera is immobilized at 1.00 µg/mL (100 µL/well), Recombinant Human Nectin-2/CD112 (Catalog # 2229-N2) binds with an ED50 of 0.150-0.750 μg/mL.

Scientific Data Images for Recombinant Cynomolgus Monkey PVRIG Fc Chimera Protein, CF

Recombinant Cynomolgus Monkey PVRIG Fc Chimera Protein Binding Activity.

When Recombinant Cynomolgus Monkey PVRIG Fc Chimera (Catalog # 10718-CV) is immobilized at 1.00 µg/mL (100 µL/well), Recombinant Human Nectin-2/CD112 (2229-N2) binds with an ED50 of 0.150-0.750 μg/mL.

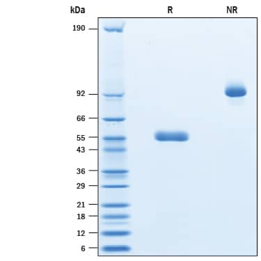
Recombinant Cynomolgus Monkey PVRIG Fc Chimera Protein SDS-PAGE.

2 μg/lane of Recombinant Cynomolgus Monkey PVRIG Fc Chimera (Catalog # 10718-PV) was resolved with SDS-PAGE under reducing (R) and non-reducing (NR) conditions and visualized by Coomassie® Blue staining, showing bands at 52-63 kDa and 104-126 kda, respectively.

Formulation, Preparation and Storage

10718-PV
Formulation Lyophilized from a 0.2 μm filtered solution in PBS with Trehalose.
Reconstitution Reconstitute at 500 μg/mL in PBS.
Shipping The product is shipped at ambient temperature. Upon receipt, store it immediately at the temperature recommended below.
Stability & Storage Use a manual defrost freezer and avoid repeated freeze-thaw cycles.
  • 12 months from date of receipt, -20 to -70 °C as supplied.
  • 1 month, 2 to 8 °C under sterile conditions after reconstitution.
  • 3 months, -20 to -70 °C under sterile conditions after reconstitution.

Background: PVRIG

Human PVRIG (poliovirus receptor related immunoglobulin domain-containing protein), also known as CD112 receptor (CD112R), is an approximately 34 kDa single transmembrane protein in the poliovirus receptor-like protein (PVR) family (1). It is composed of a single extracellular IgV domain, one transmembrane domain, and a long intracellular domain. The intracellular domain contains two tyrosine residues, one within an ITIM-like motif that is a potential docking site for phosphatases (1). The extracellular domain sequence of cynomolgus monkey PVRIG have approximately 90% similarity with human PVRIG, respectively. The human PVRIG gene is preferentially expressed in lymphocytes, such as T cells and NK cells, but not in monocyte derived dendritic cells (1). PVRIG functions as a cell surface receptor for Nectin-2/CD112, a cell surface protein that is widely expressed on antigen-presenting cells and tumor cells. Disrupting the PVRIG/Nectin-2 interaction enhances human T cell response, suggesting PVRIG is a novel checkpoint for human T cells (1-3). Blocking PVRIG with neutralizing antibody is a feasible approach for NK cell mediated immunotherapy of cancers (4, 5).

References

  1. Zhu, Y. et al. (2016) J. Exp. Med. 213:167.
  2. Whelan, S. et al. (2019) Cancer Immunol Res. 7:257.
  3. Murter, B. et al. (2019) Cancer Immunol Res. 7:244.
  4. Li, J. et al. (2020) Haematologica. DOI:10.3324/haematol.2020.258574. 
  5. Sanchez-Correa, B. et al. (2019) Cancers (Basel) 11:877.

Long Name

Poliovirus Receptor Related Immunoglobulin Domain Containing

Alternate Names

C7orf15, CD112R

Entrez Gene IDs

79037 (Human); 102640920 (Mouse); 102127364 (Cynomolgus Monkey)

Gene Symbol

PVRIG

UniProt

Additional PVRIG Products

Product Documents for Recombinant Cynomolgus Monkey PVRIG Fc Chimera Protein, CF

Certificate of Analysis

To download a Certificate of Analysis, please enter a lot number in the search box below.

Note: Certificate of Analysis not available for kit components.

Product Specific Notices for Recombinant Cynomolgus Monkey PVRIG Fc Chimera Protein, CF

For research use only

Loading...
Loading...
Loading...