Skip to main content

Recombinant Canine TIM-3 Fc Chimera Protein, CF

R&D Systems, part of Bio-Techne | Catalog # 10719-TM

R&D Systems, part of Bio-Techne
Catalog #
Availability
Size / Price
Qty
Loading...
10719-TM-050

Key Product Details

  • R&D Systems CHO-derived Recombinant Canine TIM-3 Fc Chimera Protein (10719-TM)
  • Quality control testing to verify active proteins with lot specific assays by in-house scientists
  • All R&D Systems proteins are covered with a 100% guarantee

Source

CHO

Accession #

Structure / Form

Disulfide-linked homodimer

Conjugate

Unconjugated

Applications

Bioactivity

Product Specifications

Source

Chinese Hamster Ovary cell line, CHO-derived canine TIM-3 protein
Canine TIM-3
(Ala24-Arg189)
Accession # NP_001241644.1
IEGRMD Human IgG1
(Pro100-Lys330)
N-terminus C-terminus

Purity

>95%, by SDS-PAGE visualized with Silver Staining and quantitative densitometry by Coomassie® Blue Staining.

Endotoxin Level

<0.10 EU per 1 μg of the protein by the LAL method.

N-terminal Sequence Analysis

Ala24

Predicted Molecular Mass

45 kDa

SDS-PAGE

58-69 kDa, under reducing conditions

Activity

Measured by its binding ability in a functional ELISA.
When Recombinant Human Galectin‑9 (Catalog # 2045-GA) is immobilized at 1 μg/mL (100 µL/well), the concentration of Recombinant Canine TIM‑3 Fc Chimera (Catalog # 10719-TM) that produces 50% of the optimal binding response is found to be approximately 0.15-0.90 μg/mL.

Scientific Data Images for Recombinant Canine TIM-3 Fc Chimera Protein, CF

Recombinant Canine TIM-3 Fc Chimera Protein Binding Activity.

When Recombinant Human Galectin‑9 (2045-GA) is immobilized at 1 μg/mL (100 µL/well), the concentration of Recombinant Canine TIM‑3 Fc Chimera (Catalog # 10719-TM) that produces 50% of the optimal binding response is found to be approximately 0.15-0.90 μg/mL.

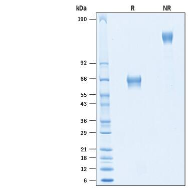
Recombinant Canine TIM-3 Fc Chimera Protein SDS-PAGE.

2 μg/lane of Recombinant Canine TIM-3 Fc Chimera (Catalog # 10719-TM) was resolved with SDS-PAGE under reducing (R) and non-reducing (NR) conditions and visualized by Coomassie® Blue staining, showing bands at 58-69 kDa and 116-138 kDa, respectively.

Formulation, Preparation and Storage

10719-TM
Formulation Lyophilized from a 0.2 μm filtered solution in PBS with Trehalose.
Reconstitution Reconstitute at 250 μg/mL in PBS.
Shipping The product is shipped at ambient temperature. Upon receipt, store it immediately at the temperature recommended below.
Stability & Storage Use a manual defrost freezer and avoid repeated freeze-thaw cycles.
  • 12 months from date of receipt, -20 to -70 °C as supplied.
  • 1 month, 2 to 8 °C under sterile conditions after reconstitution.
  • 3 months, -20 to -70 °C under sterile conditions after reconstitution.

Background: TIM-3

TIM-3 (T cell immunoglobulin and mucin domain-3), also known as HAVCR2, is a 60 kDa member of the TIM family of immune regulating molecules. TIMs are type I transmembrane glycoproteins with one Ig-like V-type domain and a Ser/Thr-rich mucin stalk region (1, 2). Mature canine TIM-3 consists of a 171 amino acid (aa) extracellular domain (ECD), a 21 aa transmembrane segment, and a 67 aa cytoplasmic tail. Within the ECD, canine TIM-3 shares 66% aa sequence identity with human TIM-3. TIM-3 is up‑regulated on several populations of activated myeloid cells (macrophage, monocyte, dendritic cell, microglia, mast cell) and T cells (Th1, CD8+, NK, Treg) (3-10). Its binding to Galectin-9 induces a range of immunosuppressive functions which enhance immune tolerance and inhibit anti-tumor immunity (11). TIM-3 ligation attenuates CD8+ and Th1 cell responses (11-13) and promotes the activity of Treg and myeloid derived suppressor cells (8, 11, 13, 14). In addition, dendritic cell-expressed TIM-3 dampens inflammation by enabling the phagocytosis of apoptotic cells and the cross-presentation of apoptotic cell antigens (4). It also binds the alarmin HMGB1, thereby preventing the activation of TLRs in response to released tumor cell DNA (7). TIM-3 interactions with Galectin-9 can alternatively trigger immune stimulatory effects, such as the coactivation of NK cell cytotoxicity.

References

  1. Sakuishi, K. et al. (2011) Trends Immunol. 32:345.
  2. Anderson, A.C. (2012) Curr. Opin. Immunol. 24:213.
  3. Monney, L. et al. (2002) Nature 415:536.
  4. Nakayama, M. et al. (2009) Blood 113:3821.
  5. Anderson, A.C. et al. (2007) Science 318:1141.
  6. Wiener, Z. et al. (2007) J. Invest. Dermatol. 127:906.
  7. Chiba, S. et al. (2012) Nat. Immunol. 13:832.
  8. Sanchez-Fueyo, A. et al. (2003) Nat. Immunol. 4:1093.
  9. Ndhlovu, L.C. et al. (2012) Blood 119:3734.
  10. Gleason, M.K. et al. (2012) Blood 119:3064.
  11. Zhu, C. et al. (2005) Nat. Immunol. 6:1245.
  12. Sakhdari, A. et al. (2012) PLoS ONE 7:e40146.
  13. Sabatos, C.A. et al. (2003) Nat. Immunol. 4:1102.
  14. Dardalhon, V. et al. (2010) J. Immunol. 185:1383.

Long Name

T Cell Immunoglobulin Mucin-3

Alternate Names

CD366, HAVcr-2, HAVCR2, KIM-3, SPTCL, TIM3, TIMD3

Entrez Gene IDs

84868 (Human); 171285 (Mouse); 363578 (Rat); 479318 (Canine); 102141722 (Cynomolgus Monkey)

Gene Symbol

HAVCR2

UniProt

Additional TIM-3 Products

Product Documents for Recombinant Canine TIM-3 Fc Chimera Protein, CF

Certificate of Analysis

To download a Certificate of Analysis, please enter a lot number in the search box below.

Note: Certificate of Analysis not available for kit components.

Product Specific Notices for Recombinant Canine TIM-3 Fc Chimera Protein, CF

For research use only

Loading...
Loading...
Loading...