Extracellular Matrix for 3D Organoid Cultures - Fully Defined, Synthetic Component Derived Formulation.
Synthetic Components, Real Results! Request a Quote Today
Key Product Details
Features:
Cultrex Synthetic Hydrogel is a fully defined, synthetic component derived hydrogel formulation developed to further advance 3D organoid and cell culturing. This product is ideal for end users who have development efficiency, process consistency, and compliance driven end goals.
Summary for Cultrex Synthetic Hydrogel Kit (RUO), 1 mL
Why Use Cultrex Synthetic Hydrogel?
Cultrex Synthetic Hydrogel is a fully defined, synthetic-component derived hydrogel formulation. While animal-component derived formulations have inherent variability, synthetic component derived formulations enable increased variable control for improved consistency and improved compliance for end users trying to reduce animal component risks. Formed through the cross-linking of synthetic polymer chains, the soft structure and porosity of hydrogels is able to mimic living tissue environments.
Cultrex Synthetic Hydrogel provides a proprietary formulation that has a storage modulus observed to support 3D cell and tissue organoid cultures in human intestinal, human liver, and human lung applications requiring an extracellular matrix scaffold.
What Comes in the Cultrex Synthetic Hydrogel Kit?
One kit includes 8 vial components to prepare desired hydrogel volume. One kit prepares up to 1 mL of total hydrogel volume. A digital protocol is provided for optimal out-of-the-box customer experience. See Product Datasheet.
Product Specifications for Cultrex Synthetic Hydrogel Kit (RUO), 1 mL
Applications
Cell Culture
Endotoxin level
≤ 4 EU/mL by Limulus Amoebocyte Lysate (LAL) assay
Quality Testing
No bacterial or fungal growth detected following 14 days in culture
Cell Culture Testing
Organoid Culture - Cultrex Synthetic Hydrogel supports growth and expansion of human intestinal organoid progenitor cells.
Gelling Assay - Cultrex Synthetic Hydrogel gels in less than 30 minutes at 37 °C.
Dome Assay Cultrex Synthetic Hydrogel forms and maintains stable 3-D dome structures on cell culture plates.
Limitations
This product is produced by and ships from R&D Systems, Inc., a Bio-Techne brand.
This product is covered by one or more of the following US patents: 16/942580; PCT/US2020/044067 and other pending US patent applications and foreign equivalents 3148127; 202080063571.3; 20757115.9.
For research use only. Not for diagnostic use.
Scientific Data Examples for Cultrex Synthetic Hydrogel Kit (RUO), 1 mL
Differentiation of Intestinal Organoids in Cultrex Synthetic Hydrogel.
Organoids expanded in Cultrex Synthetic Hydrogel exhibit expected cystic morphology, indicative of healthy baseline development. Upon differentiation, the organoids begin to lose their cystic morphology and start forming more specialized, structured tissues. This demonstrates the ability of Cultrex Synthetic Hydrogel to support both healthy initial organoid growth and subsequent differentiation into mature structures.
Cultrex Synthetic Hydrogel Performance Compared to Basement Membrane Extracts.
Cultrex UltiMatrix BME (Catalog # BME001-05) domes were plated at 10,000 cell per 10 μL hydrogel, and Cultrex Synthetic Hydrogel (Catalog # CSH-RUO) domes were plated at 15,000 cells. After three days in culture, comparable organoid growth is observed.
Cultrex Synthetic Hydrogel Performance Compared to Competitor Basement Membrane Extracts.
Domes using animal component derived matrix from another supplier and Cultrex Synthetic Hydrogel (Catalog # CSH-RUO) were each plated at 10,000 cell per 10 μL hydrogel. Morphologically similar organoid growth is observed after 4 and 5.5 days, respectively.
Cultrex Synthetic Hydrogel Outperforms Alternative Synthetic Matrices.
Successful organoid growth observed in Cultrex Synthetic Hydrogel (Catalog # CSH-RUO-01) while organoids encapsulated in a competitor's defined hydrogel showed failed organoid formation and significant cell death by day 4.
Defined Matrix Supports Organoid Growth.
Adult airway organoids were cultured in Cultrex Synthetic Hydrogel (Catalog # CSH-RUO-01) with Recombinant Human FGF-10 Heat Stable Protein (Catalog # BT-FGF10HS). Scale bar indicates 1 mm.
ICC Imaging of Enteroids.
Images of human enteroids expanded with Wnt/RSPO2 (Catalog # BT-WRSP2) in Cultrex Synthetic Hydrogel (Catalog # CSH-RUO-01), with quantification of total organoid area on day 4. ICC images of enteroids stained with Villin (Catalog # NBP2-75707), E-Cadherin (Catalog # AF748) and DAPI in Synthetic Hydrogel. Scale bar indicates 50 µm.
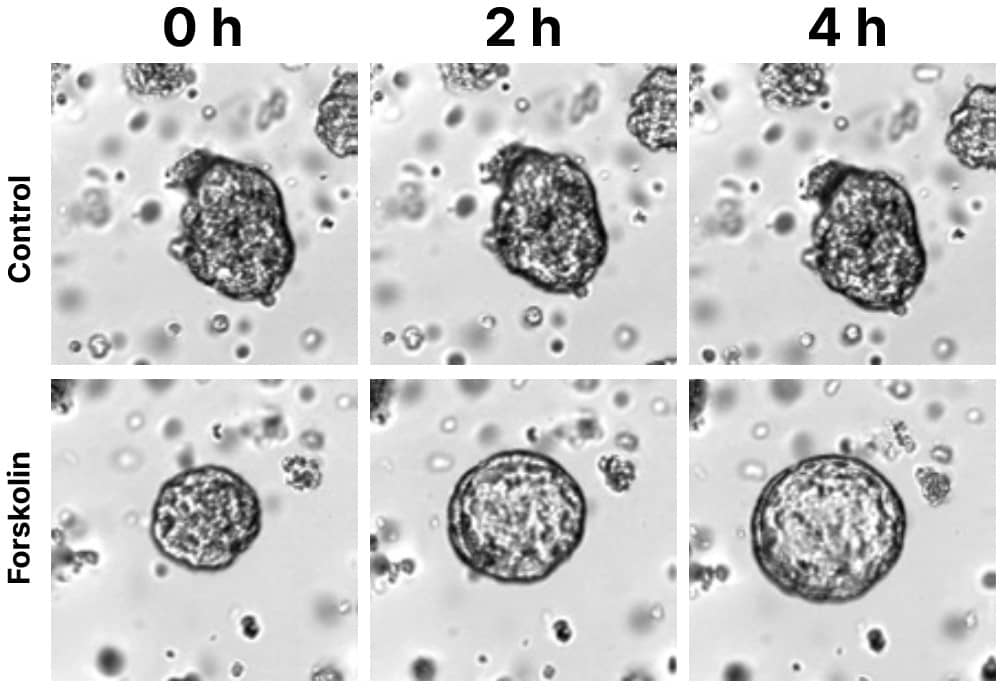
Forskolin Swelling Assay.
Enteroids cultured in Wnt/RSPO2 (Catalog # BT-WRSP2) and Synthetic Hydrogel (Catalog # CSH-RUO-01) were differentiated for 7 days and then exposed to Forskolin (10 µM, Catalog # 1099) or DMSO (control) to assess the function of mature CFTR-expressing secretory cells (e.g. enterocytes). The presence of Forskolin led to organoid swelling whereas control did not change in size. Scale bar indicates 100 µm.
ICC Imaging of Lung Sections.
Lung organoids grown with FGF-10 HS (Catalog # BT-FGF10HS) in Cultrex Synthetic Hydrogel (Catalog # CSH-RUO-01). Sections of lung organoids (cultured for 25 days) in Synthetic Hydrogel with FGF-10 HS stained for SFTPC, SCGB1A1, FOXJ1 (Catalog # AF3619), and DAPI. Scale bar indicates 50 µm.
Brightfield Images of Liver Organoids Under Expansion and Differentiation Conditions.
Liver organoids were cultured in Cultrex Synthetic Hydrogel (Catalog # CSH-RUO-01) under expansion (top row, scale bar indicates 500 µm) and differentiation conditions (bottom row, scale bar indicates 100 µm). Expanding liver organoids exhibit typical cystic morphology and can be passaged at least three times in Synthetic Hydrogel (data not shown). Upon differentiation, the organoids transition to a more complex structure, displaying folding and wrinkled morphologies.
Preparation & Storage
Stability
Product is stable for 12 months from date of manufacture when stored at ≤ -70 °C. See lot specific Certificate of Analysis for expiration date.
Shipping Conditions
The product is shipped with dry ice or equivalent. Upon receipt, store it immediately at the recommended temperature.
Storage
Store the unopened product at ≤ -70 °C. Use a manual defrost freezer and minimize repeated freeze-thaw cycles.
Bio-Techne uses cookies to provide you with a great website experience. By continuing to use this website you acknowledge this and agree to our cookie policy. Learn more.