Skip to main content

Zyxin Antibody - BSA Free

Novus Biologicals, part of Bio-Techne | Catalog # NBP1-90349

Novus Biologicals, part of Bio-Techne
Catalog #
Availability
Size / Price
Qty
Loading...
NBP1-90349
NBP1-90349-25ul

Key Product Details

Validated by

Orthogonal Validation

Species Reactivity

Validated:

Human, Mouse

Cited:

Human, Mouse

Applications

Validated:

Immunohistochemistry, Immunohistochemistry-Paraffin, Immunocytochemistry/ Immunofluorescence

Cited:

Immunocytochemistry/ Immunofluorescence

Label

Unconjugated

Antibody Source

Polyclonal Rabbit IgG

Format

BSA Free

Concentration

Concentrations vary lot to lot. See vial label for concentration. If unlisted please contact technical services.

Product Specifications

Immunogen

This antibody was developed against Recombinant Protein corresponding to amino acids: PAPKFSPVTPKFTPVASKFSPGAPGGSGSQPNQKLGHPEALSAGTGSPQPPSFTYAQQREKPRVQEKQHPVPPPAQNQNQVRSPGAPGPLTLKEVEELEQLTQQLMQDMEHPQRQNVAVNE

Reactivity Notes

Mouse reactivity reported in scientific literature (PMID: 31387632). Rat (85%).

Marker

Focal Adhesion Marker

Clonality

Polyclonal

Host

Rabbit

Isotype

IgG

Description

Novus Biologicals Rabbit Zyxin Antibody - BSA Free (NBP1-90349) is a polyclonal antibody validated for use in IHC and ICC/IF. Anti-Zyxin Antibody: Cited in 4 publications. All Novus Biologicals antibodies are covered by our 100% guarantee.

Scientific Data Images for Zyxin Antibody - BSA Free

Immunocytochemistry/ Immunofluorescence: Zyxin Antibody [NBP1-90349]

Immunocytochemistry/ Immunofluorescence: Zyxin Antibody [NBP1-90349]

Immunocytochemistry/Immunofluorescence: Zyxin Antibody [NBP1-90349] - Staining of human cell line U-2 OS shows localization to focal adhesion sites. Antibody staining is shown in green.
Zyxin Antibody - BSA Free Immunohistochemistry: Zyxin Antibody - BSA Free [NBP1-90349]

Immunohistochemistry: Zyxin Antibody - BSA Free [NBP1-90349]

Analysis in human endometrium and liver tissues using NBP1-90349 antibody. Corresponding ZYX RNA-seq data are presented for the same tissues.
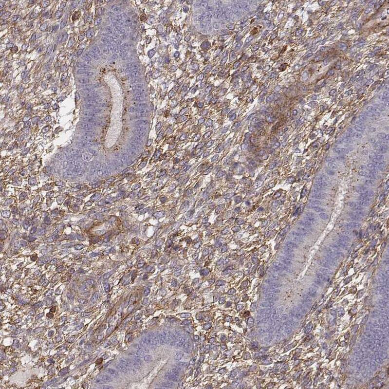
Zyxin Antibody - BSA Free Immunohistochemistry: Zyxin Antibody - BSA Free [NBP1-90349]

Immunohistochemistry: Zyxin Antibody - BSA Free [NBP1-90349]

Staining of human endometrium shows strong cytoplasmic positivity in stromal cells.

Applications for Zyxin Antibody - BSA Free

Application
Recommended Usage

Immunocytochemistry/ Immunofluorescence

0.25-2 ug/ml

Immunohistochemistry

1:200 - 1:500

Immunohistochemistry-Paraffin

1:200 - 1:500
Application Notes
For IHC-Paraffin, HIER pH 6 retrieval is recommended. ICC/IF Fixation Permeabilization: Use PFA/Triton X-100.

Formulation, Preparation, and Storage

Purification

Affinity purified

Formulation

PBS (pH 7.2) and 40% Glycerol

Format

BSA Free

Preservative

0.02% Sodium Azide

Concentration

Concentrations vary lot to lot. See vial label for concentration. If unlisted please contact technical services.

Shipping

The product is shipped with polar packs. Upon receipt, store it immediately at the temperature recommended below.

Stability & Storage

Store at 4C short term. Aliquot and store at -20C long term. Avoid freeze-thaw cycles.

Background: Zyxin

Focal adhesions are actin-rich structures that enable cells to adhere to the extracellular matrix and at which protein complexes involved in signal transduction assemble. Zyxin is a zinc-binding phosphoprotein that concentrates at focal adhesions and along the actin cytoskeleton. Zyxin has an N-terminal proline-rich domain and three LIM domains in its C-terminal half. The proline-rich domain may interact with SH3 domains of proteins involved in signal transduction pathways while the LIM domains are likely involved in protein-protein binding. Zyxin may function as a messenger in the signal transduction pathway that mediates adhesion-stimulated changes in gene expression and may modulate the cytoskeletal organization of actin bundles. Alternative splicing results in multiple transcript variants that encode the same isoform.

Alternate Names

Zyx, Zyxin 2

Gene Symbol

ZYX

Additional Zyxin Products

Product Documents for Zyxin Antibody - BSA Free

Certificate of Analysis

To download a Certificate of Analysis, please enter a lot number in the search box below.

Product Specific Notices for Zyxin Antibody - BSA Free

This product is for research use only and is not approved for use in humans or in clinical diagnosis. Primary Antibodies are guaranteed for 1 year from date of receipt.

Loading...
Loading...
Loading...
Loading...