ZPBP Antibody - Azide and BSA Free
Novus Biologicals, part of Bio-Techne | Catalog # NBP2-93039
Key Product Details
Species Reactivity
Human, Mouse, Rat
Applications
Immunohistochemistry, Immunohistochemistry-Paraffin, Western Blot, ELISA, Immunocytochemistry/ Immunofluorescence
Label
Unconjugated
Antibody Source
Polyclonal Rabbit IgG
Format
Azide and BSA Free
Concentration
Please see the vial label for concentration. If unlisted please contact technical services.
Product Specifications
Immunogen
Recombinant fusion protein containing a sequence corresponding to amino acids 45-200 of human ZPBP (NP_008940.2). HLVRLPRAFRLTKDSVKIVGSTSFPVKAYVMLHQKSPHVLCVTQQLRNAELIDPSFQWYGPKGKVVSVENRTAQITSTGSLVFQNFEESMSGIYTCFLEYKPTVEEIVKRLQLKYAIYAYREPHYYYQFTARYHAAPCNSIYNISFEKKLLQILSK
Clonality
Polyclonal
Host
Rabbit
Isotype
IgG
Theoretical MW
40 kDa.
Disclaimer note: The observed molecular weight of the protein may vary from the listed predicted molecular weight due to post translational modifications, post translation cleavages, relative charges, and other experimental factors.
Disclaimer note: The observed molecular weight of the protein may vary from the listed predicted molecular weight due to post translational modifications, post translation cleavages, relative charges, and other experimental factors.
Description
Novus Biologicals Rabbit ZPBP Antibody - Azide and BSA Free (NBP2-93039) is a polyclonal antibody validated for use in IHC, WB, ELISA and ICC/IF. All Novus Biologicals antibodies are covered by our 100% guarantee.
Scientific Data Images for ZPBP Antibody - Azide and BSA Free
Immunohistochemistry-Paraffin: ZPBP Antibody - Azide and BSA Free [NBP2-93039]
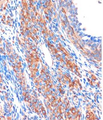
Immunohistochemistry-Paraffin: ZPBP Antibody [NBP2-93039] - Immunohistochemistry of paraffin-embedded Rat ovary using ZPBP Rabbit pAb (NBP2-93039) at dilution of 1:100 (40x lens). Perform microwave antigen retrieval with 10 mM PBS buffer pH 7.2 before commencing with IHC staining protocol.Immunohistochemistry: ZPBP Antibody - Azide and BSA Free [NBP2-93039]
Immunohistochemistry: ZPBP Antibody [NBP2-93039] - Analysis of mouse testis using ZPBP at dilution of 1:100. Blue: DAPI for nuclear staining.Immunohistochemistry-Paraffin: ZPBP Antibody - Azide and BSA Free [NBP2-93039]
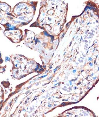
Immunohistochemistry-Paraffin: ZPBP Antibody [NBP2-93039] - Immunohistochemistry of paraffin-embedded Human placenta using ZPBP Rabbit pAb (NBP2-93039) at dilution of 1:100 (40x lens). Perform microwave antigen retrieval with 10 mM PBS buffer pH 7.2 before commencing with IHC staining protocol.Applications for ZPBP Antibody - Azide and BSA Free
Application
Recommended Usage
Immunocytochemistry/ Immunofluorescence
1:50-1:200
Immunohistochemistry
1:50-1:200
Western Blot
1:500-1:2000
Formulation, Preparation, and Storage
Purification
Affinity purified
Formulation
PBS (pH 7.3), 50% glycerol
Format
Azide and BSA Free
Preservative
0.01% Thimerosal
Concentration
Please see the vial label for concentration. If unlisted please contact technical services.
Shipping
The product is shipped with polar packs. Upon receipt, store it immediately at the temperature recommended below.
Stability & Storage
Store at -20C. Avoid freeze-thaw cycles.
Background: ZPBP
Long Name
Zona Pellucida Binding Protein
Alternate Names
Iam38, Sp38, ZPBP1
Gene Symbol
ZPBP
Additional ZPBP Products
Product Documents for ZPBP Antibody - Azide and BSA Free
Product Specific Notices for ZPBP Antibody - Azide and BSA Free
This product is for research use only and is not approved for use in humans or in clinical diagnosis. Primary Antibodies are guaranteed for 1 year from date of receipt.
Loading...
Loading...
Loading...
Loading...
⚠ WARNING: This product can expose you to chemicals including Methotrexate, which is known to the State of California to cause reproductive toxicity with developmental effects. For more information, go to www.P65Warnings.ca.gov