ZP2 Antibody - BSA Free
Novus Biologicals, part of Bio-Techne | Catalog # NBP1-86103
Key Product Details
Species Reactivity
Human
Applications
Immunohistochemistry, Immunohistochemistry-Paraffin
Label
Unconjugated
Antibody Source
Polyclonal Rabbit IgG
Format
BSA Free
Concentration
Concentrations vary lot to lot. See vial label for concentration. If unlisted please contact technical services.
Product Specifications
Immunogen
This antibody was developed against Recombinant Protein corresponding to amino acids: PNCTYILDPEKLTLRATYDNCTRRVHGGHQMTIRVMNNSAALRHGAVMYQFFCPAMQVEETQGLSASTICQKDFMSFSLPRVFSGLADDSKGTKVQMGWSIEVGDGARAKTLTLPEAMKEGFSLLIDNHRMTFHVPFNATGVT
Clonality
Polyclonal
Host
Rabbit
Isotype
IgG
Scientific Data Images for ZP2 Antibody - BSA Free
Immunohistochemistry-Paraffin: ZP2 Antibody [NBP1-86103]
Immunohistochemistry-Paraffin: ZP2 Antibody [NBP1-86103] - Staining of human endometrium shows no positivity in glandular cells as expected.Immunohistochemistry-Paraffin: ZP2 Antibody [NBP1-86103]
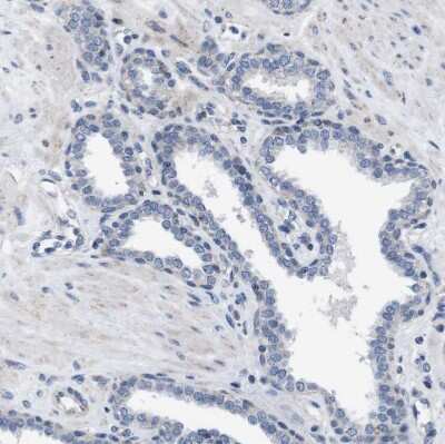
Immunohistochemistry-Paraffin: ZP2 Antibody [NBP1-86103] - Staining of human prostate shows no positivity in glandular cells as expected.Immunohistochemistry-Paraffin: ZP2 Antibody [NBP1-86103]
Immunohistochemistry-Paraffin: ZP2 Antibody [NBP1-86103] - Staining of human ovary shows moderate cytoplasmic/ membranous positivity in oocytes.Applications for ZP2 Antibody - BSA Free
Application
Recommended Usage
Immunohistochemistry
1:20 - 1:50
Immunohistochemistry-Paraffin
1:20 - 1:50
Application Notes
For IHC-Paraffin, HIER pH 6 retrieval is recommended.
Formulation, Preparation, and Storage
Purification
Affinity purified
Formulation
PBS (pH 7.2) and 40% Glycerol
Format
BSA Free
Preservative
0.02% Sodium Azide
Concentration
Concentrations vary lot to lot. See vial label for concentration. If unlisted please contact technical services.
Shipping
The product is shipped with polar packs. Upon receipt, store it immediately at the temperature recommended below.
Stability & Storage
Store at 4C short term. Aliquot and store at -20C long term. Avoid freeze-thaw cycles.
Background: ZP2
Long Name
Zona Pellucida Glycoprotein 2 (Sperm Receptor)
Alternate Names
Zona Pellucida Protein A, Zp-2, ZPA
Entrez Gene IDs
7783 (Human)
Gene Symbol
ZP2
UniProt
Additional ZP2 Products
Product Documents for ZP2 Antibody - BSA Free
Product Specific Notices for ZP2 Antibody - BSA Free
This product is for research use only and is not approved for use in humans or in clinical diagnosis. Primary Antibodies are guaranteed for 1 year from date of receipt.
Loading...
Loading...
Loading...
Loading...