ZNF677 Antibody - BSA Free
Novus Biologicals, part of Bio-Techne | Catalog # NBP1-82676
Key Product Details
Species Reactivity
Human
Applications
Immunohistochemistry, Immunohistochemistry-Paraffin, Immunocytochemistry/ Immunofluorescence
Label
Unconjugated
Antibody Source
Polyclonal Rabbit IgG
Format
BSA Free
Concentration
Concentrations vary lot to lot. See vial label for concentration. If unlisted please contact technical services.
Product Specifications
Immunogen
This antibody was developed against Recombinant Protein corresponding to amino acids: NYRNLLSLDEDNIPPEDDISVGFTSKGLSPKENNKEELYHLVILERKESHGINNFDLKEVWENMPKFDSLWDYDVK
Clonality
Polyclonal
Host
Rabbit
Isotype
IgG
Scientific Data Images for ZNF677 Antibody - BSA Free
Immunocytochemistry/ Immunofluorescence: ZNF677 Antibody [NBP1-82676]
Immunocytochemistry/Immunofluorescence: ZNF677 Antibody [NBP1-82676] - Staining of human cell line AF22 shows localization to nucleus & centrosome.Immunohistochemistry: ZNF677 Antibody [NBP1-82676]
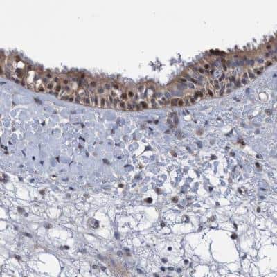
Immunohistochemistry: ZNF677 Antibody [NBP1-82676] - Staining of human nasopharynx shows nuclear and cytoplasmic positivity in respiratory epithelial cells.Applications for ZNF677 Antibody - BSA Free
Application
Recommended Usage
Immunocytochemistry/ Immunofluorescence
0.25-2 ug/ml
Immunohistochemistry
1:50 - 1:200
Immunohistochemistry-Paraffin
1:50 - 1:200
Application Notes
For IHC-Paraffin, HIER pH 6 retrieval is recommended. Immunocytochemistry/Immunofluorescence Fixation Permeabilization: Use PFA/Triton X-100.
Formulation, Preparation, and Storage
Purification
Affinity purified
Formulation
PBS (pH 7.2) and 40% Glycerol
Format
BSA Free
Preservative
0.02% Sodium Azide
Concentration
Concentrations vary lot to lot. See vial label for concentration. If unlisted please contact technical services.
Shipping
The product is shipped with polar packs. Upon receipt, store it immediately at the temperature recommended below.
Stability & Storage
Store at 4C short term. Aliquot and store at -20C long term. Avoid freeze-thaw cycles.
Background: ZNF677
Alternate Names
MGC48625, zinc finger protein 677
Gene Symbol
ZNF677
Additional ZNF677 Products
Product Documents for ZNF677 Antibody - BSA Free
Product Specific Notices for ZNF677 Antibody - BSA Free
This product is for research use only and is not approved for use in humans or in clinical diagnosis. Primary Antibodies are guaranteed for 1 year from date of receipt.
Loading...
Loading...
Loading...
Loading...