Skip to main content

ZNF622 Antibody - BSA Free

Novus Biologicals, part of Bio-Techne | Catalog # NBP2-38307

Novus Biologicals, part of Bio-Techne
Catalog #
Availability
Size / Price
Qty
Loading...
NBP2-38307
NBP2-38307-25ul

Key Product Details

Species Reactivity

Validated:

Human

Predicted:

Mouse (96%), Rat (96%). Backed by our 100% Guarantee.

Applications

Immunocytochemistry/ Immunofluorescence, Immunohistochemistry, Immunohistochemistry-Paraffin

Label

Unconjugated

Antibody Source

Polyclonal Rabbit IgG

Format

BSA Free

Concentration

Concentrations vary lot to lot. See vial label for concentration. If unlisted please contact technical services.

Product Specifications

Immunogen

This antibody was developed against a recombinant protein corresponding to amino acids: VAHMTKDHSFFIPDIEYLSDIKGLIKYLGEKVGVGKICLWCNEKGKSFYSTEAVQAHMNDKSHCKLFTDGDAALEFADFYDFRSSYPDHKEGE

Clonality

Polyclonal

Host

Rabbit

Isotype

IgG

Description

Novus Biologicals Rabbit ZNF622 Antibody - BSA Free (NBP2-38307) is a polyclonal antibody validated for use in IHC and ICC/IF. All Novus Biologicals antibodies are covered by our 100% guarantee.

Scientific Data Images for ZNF622 Antibody - BSA Free

Immunocytochemistry/ Immunofluorescence: ZNF622 Antibody [NBP2-38307]

Immunocytochemistry/ Immunofluorescence: ZNF622 Antibody [NBP2-38307]

Immunocytochemistry/Immunofluorescence: ZNF622 Antibody [NBP2-38307] - Staining of human cell line SiHa shows localization to cytosol.
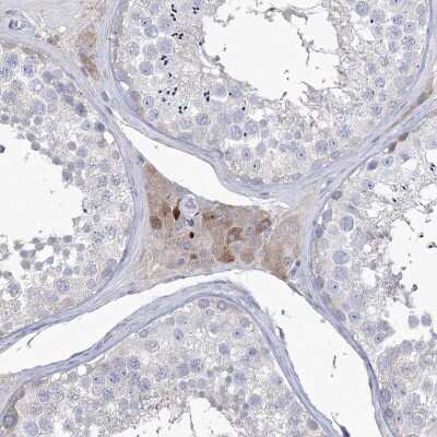
Immunohistochemistry-Paraffin: ZNF622 Antibody [NBP2-38307]

Immunohistochemistry-Paraffin: ZNF622 Antibody [NBP2-38307]

Immunohistochemistry-Paraffin: ZNF622 Antibody [NBP2-38307] - Staining of human testis shows cytoplasmic positivity in Leydig cells.

Applications for ZNF622 Antibody - BSA Free

Application
Recommended Usage

Immunocytochemistry/ Immunofluorescence

0.25-2 ug/ml

Immunohistochemistry

1:200 - 1:500

Immunohistochemistry-Paraffin

1:200 - 1:500
Application Notes
For IHC-Paraffin, HIER pH 6 retrieval is recommended. Immunocytochemistry/Immunofluorescence Fixation Permeabilization: Use PFA/Triton X-100.

Formulation, Preparation, and Storage

Purification

Immunogen affinity purified

Formulation

PBS (pH 7.2) and 40% Glycerol

Format

BSA Free

Preservative

0.02% Sodium Azide

Concentration

Concentrations vary lot to lot. See vial label for concentration. If unlisted please contact technical services.

Shipping

The product is shipped with polar packs. Upon receipt, store it immediately at the temperature recommended below.

Stability & Storage

Store at 4C short term. Aliquot and store at -20C long term. Avoid freeze-thaw cycles.

Background: ZNF622

ZNF622 may behave as an activator of the bound transcription factor, MYBL2, and be involved in embryonic development.

Alternate Names

MGC2485, zinc finger protein 622, Zinc finger-like protein 9, ZPR9MGC17552

Gene Symbol

ZNF622

UniProt

Additional ZNF622 Products

Product Documents for ZNF622 Antibody - BSA Free

Certificate of Analysis

To download a Certificate of Analysis, please enter a lot number in the search box below.

Product Specific Notices for ZNF622 Antibody - BSA Free

This product is for research use only and is not approved for use in humans or in clinical diagnosis. Primary Antibodies are guaranteed for 1 year from date of receipt.

Loading...
Loading...
Loading...
Loading...