Skip to main content

ZNF598 Antibody - Azide Free

Novus Biologicals, part of Bio-Techne | Catalog # NBP2-21035

Novus Biologicals, part of Bio-Techne
Catalog #
Availability
Size / Price
Qty
Loading...
NBP2-21035

Key Product Details

Species Reactivity

Human, Mouse

Applications

Immunocytochemistry/ Immunofluorescence, Immunohistochemistry, Immunohistochemistry-Frozen, Immunohistochemistry-Paraffin, Western Blot

Label

Unconjugated

Antibody Source

Polyclonal Rabbit IgG

Format

Azide Free

Concentration

Concentrations vary lot to lot. See vial label for concentration. If unlisted please contact technical services.

Product Specifications

Immunogen

Recombinant protein encompassing a sequence within the center region of human ZNF598. The exact sequence is proprietary.

Reactivity Notes

Immunogen displays the following percentage of sequence identity for non-tested species: Zebrafish (85%).

Clonality

Polyclonal

Host

Rabbit

Isotype

IgG

Theoretical MW

99 kDa.
Disclaimer note: The observed molecular weight of the protein may vary from the listed predicted molecular weight due to post translational modifications, post translation cleavages, relative charges, and other experimental factors.

Description

Novus Biologicals Rabbit ZNF598 Antibody - Azide Free (NBP2-21035) is a polyclonal antibody validated for use in IHC, WB and ICC/IF. All Novus Biologicals antibodies are covered by our 100% guarantee.

Scientific Data Images for ZNF598 Antibody - Azide Free

Western Blot: ZNF598 Antibody [NBP2-21035]

Western Blot: ZNF598 Antibody [NBP2-21035]

Western Blot: ZNF598 Antibody [NBP2-21035] - Sample (30 ug of whole cell lysate) A: Raji 7.5% SDS PAGE diluted at 1:1000
Immunocytochemistry/ Immunofluorescence: ZNF598 Antibody [NBP2-21035]

Immunocytochemistry/ Immunofluorescence: ZNF598 Antibody [NBP2-21035]

Immunocytochemistry/Immunofluorescence: ZNF598 Antibody [NBP2-21035] - Analysis of methanol-fixed A431, using antibody at 1:500 dilution.
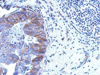
Immunohistochemistry-Paraffin: ZNF598 Antibody [NBP2-21035]

Immunohistochemistry-Paraffin: ZNF598 Antibody [NBP2-21035]

Immunohistochemistry-Paraffin: ZNF598 Antibody [NBP2-21035] - Human breast cancer, using ZNF598 antibody at 1:500 dilution. Antigen Retrieval: Trilogy™ (EDTA based, pH 8.0) buffer, 15min.

Applications for ZNF598 Antibody - Azide Free

Application
Recommended Usage

Immunocytochemistry/ Immunofluorescence

1:100-1:1000

Immunohistochemistry

1:100-1:1000

Immunohistochemistry-Frozen

Assay dependent

Immunohistochemistry-Paraffin

1:100-1:1000

Western Blot

1:500-1:3000

Formulation, Preparation, and Storage

Purification

Antigen Affinity-purified

Formulation

PBS, 1% BSA, 20% Glycerol

Format

Azide Free

Preservative

0.025% Proclin 300

Concentration

Concentrations vary lot to lot. See vial label for concentration. If unlisted please contact technical services.

Shipping

The product is shipped with polar packs. Upon receipt, store it immediately at the temperature recommended below.

Stability & Storage

Aliquot and store at -20C or -80C. Avoid freeze-thaw cycles.

Background: ZNF598

ZNF598 - zinc finger protein 598

Alternate Names

DKFZp762F135, FLJ00086, zinc finger protein 598

Gene Symbol

ZNF598

UniProt

Additional ZNF598 Products

Product Documents for ZNF598 Antibody - Azide Free

Certificate of Analysis

To download a Certificate of Analysis, please enter a lot number in the search box below.

Product Specific Notices for ZNF598 Antibody - Azide Free

This product is for research use only and is not approved for use in humans or in clinical diagnosis. Primary Antibodies are guaranteed for 1 year from date of receipt.

Loading...
Loading...
Loading...
Loading...

⚠ WARNING: This product can expose you to chemicals including mercury, which is known to the State of California to cause reproductive toxicity with developmental effects.  For more information go to www.P65Warnings.ca.gov.