Skip to main content

ZNF365 Antibody (OTI9H5) - Azide and BSA Free

Novus Biologicals, part of Bio-Techne | Catalog # NBP2-74939

Novus Biologicals, part of Bio-Techne

Key Product Details

Species Reactivity

Human, Mouse, Rat

Applications

Immunohistochemistry, Immunohistochemistry-Paraffin, Western Blot

Label

Unconjugated

Antibody Source

Monoclonal Mouse IgG2A Clone # OTI9H5

Format

Azide and BSA Free

Concentration

LYOPH mg/ml

Product Specifications

Immunogen

Human recombinant protein fragment corresponding to amino acids 108-407 of human ZNF365 (NP_055766) produced in E.coli.

Reactivity Notes

Please note that this antibody is reactive to Mouse and derived from the same host, Mouse. Mouse-On-Mouse blocking reagent may be needed for IHC and ICC experiments to reduce high background signal. You can find these reagents under catalog numbers PK-2200-NB and MP-2400-NB. Please contact Technical Support if you have any questions.

Clonality

Monoclonal

Host

Mouse

Isotype

IgG2A

Theoretical MW

46.4 kDa.
Disclaimer note: The observed molecular weight of the protein may vary from the listed predicted molecular weight due to post translational modifications, post translation cleavages, relative charges, and other experimental factors.

Description

Novus Biologicals Mouse ZNF365 Antibody (OTI9H5) - Azide and BSA Free (NBP2-46444) is a monoclonal antibody validated for use in IHC and WB. All Novus Biologicals antibodies are covered by our 100% guarantee.

Scientific Data Images for ZNF365 Antibody (OTI9H5) - Azide and BSA Free

Western Blot: ZNF365 Antibody (OTI9H5)Azide and BSA Free [NBP2-74939]

Western Blot: ZNF365 Antibody (OTI9H5)Azide and BSA Free [NBP2-74939]

Western Blot: ZNF365 Antibody (OTI9H5) - Azide and BSA Free [NBP2-74939] - Analysis of HEK293T cells were transfected with the pCMV6-ENTRY control (Left lane) or pCMV6-ENTRY ZNF365.
Immunohistochemistry: ZNF365 Antibody (OTI9H5) - Azide and BSA Free [NBP2-74939]

Immunohistochemistry: ZNF365 Antibody (OTI9H5) - Azide and BSA Free [NBP2-74939]

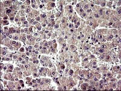
Immunohistochemistry: ZNF365 Antibody (OTI9H5) - Azide and BSA Free [NBP2-74939] - Analysis of Carcinoma of Human liver tissue.(Heat-induced epitope retrieval by 10mM citric buffer, pH6.0, 120C for 3min)
Immunohistochemistry: ZNF365 Antibody (OTI9H5) - Azide and BSA Free [NBP2-74939]

Immunohistochemistry: ZNF365 Antibody (OTI9H5) - Azide and BSA Free [NBP2-74939]

Immunohistochemistry: ZNF365 Antibody (OTI9H5) - Azide and BSA Free [NBP2-74939] - Analysis of Human pancreas tissue. (Heat-induced epitope retrieval by 10mM citric buffer, pH6.0, 120C for 3min)

Applications for ZNF365 Antibody (OTI9H5) - Azide and BSA Free

Application
Recommended Usage

Immunohistochemistry

1:150

Western Blot

1:1000

Formulation, Preparation, and Storage

Purification

Immunogen affinity purified

Reconstitution

we recommend adding 100uL distilled water to a final antibody concentration of about 1 mg/mL. To use this carrier-free antibody for conjugation experiment, we strongly recommend performing another round of desalting process.

Formulation

Lyophilized from PBS (pH 7.3) with 8% Trehalose

Format

Azide and BSA Free

Preservative

No Preservative

Concentration

LYOPH mg/ml

Shipping

The product is shipped with polar packs. Upon receipt, store it immediately at the temperature recommended below.

Stability & Storage

Store at -20C. Avoid freeze-thaw cycles.

Background: ZNF365

ZNF365 may play a role in uric acid excretion

Alternate Names

DKFZp547M223, double-stranded RNA-binding zinc finger protein JAZ, JAZZfp346, Just another zinc finger protein, zinc finger protein 346

Gene Symbol

ZNF365

Additional ZNF365 Products

Product Documents for ZNF365 Antibody (OTI9H5) - Azide and BSA Free

Certificate of Analysis

To download a Certificate of Analysis, please enter a lot number in the search box below.

Product Specific Notices for ZNF365 Antibody (OTI9H5) - Azide and BSA Free

This product is for research use only and is not approved for use in humans or in clinical diagnosis. Primary Antibodies are guaranteed for 1 year from date of receipt.

Loading...
Loading...
Loading...
Loading...
Loading...