Skip to main content

ZNF322A Antibody - BSA Free

Novus Biologicals, part of Bio-Techne | Catalog # NBP2-32047

Novus Biologicals, part of Bio-Techne
Catalog #
Availability
Size / Price
Qty
Loading...
NBP2-32047
NBP2-32047-25ul

Key Product Details

Species Reactivity

Human

Applications

Immunohistochemistry, Immunohistochemistry-Paraffin, Immunocytochemistry/ Immunofluorescence

Label

Unconjugated

Antibody Source

Polyclonal Rabbit IgG

Format

BSA Free

Concentration

Concentrations vary lot to lot. See vial label for concentration. If unlisted please contact technical services.

Product Specifications

Immunogen

This antibody was developed against a recombinant protein corresponding to amino acids: KPFVCNVSEKGLELSPPHASEASQMS

Clonality

Polyclonal

Host

Rabbit

Isotype

IgG

Description

Novus Biologicals Rabbit ZNF322A Antibody - BSA Free (NBP2-32047) is a polyclonal antibody validated for use in IHC and ICC/IF. All Novus Biologicals antibodies are covered by our 100% guarantee.

Scientific Data Images for ZNF322A Antibody - BSA Free

Immunocytochemistry/ Immunofluorescence: ZNF322A Antibody [NBP2-32047]

Immunocytochemistry/ Immunofluorescence: ZNF322A Antibody [NBP2-32047]

Immunocytochemistry/Immunofluorescence: ZNF322A Antibody [NBP2-32047] - Staining of human cell line RH-30 shows localization to nucleoplasm, cytosol & centrosome.
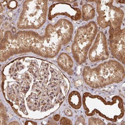
Immunohistochemistry: ZNF322A Antibody [NBP2-32047]

Immunohistochemistry: ZNF322A Antibody [NBP2-32047]

Immunohistochemistry: ZNF322A Antibody [NBP2-32047] - Staining of human kidney shows distinct cytoplasmic positivity in cells in tubules.
ZNF322A Antibody - BSA Free Chromatin Immunoprecipitation-exo-Seq: ZNF322A Antibody - BSA Free [NBP2-32047]

Chromatin Immunoprecipitation-exo-Seq: ZNF322A Antibody - BSA Free [NBP2-32047]

ChIP-Exo-Seq composite graph for Anti-ZNF322 (NBP2-32047) tested in K562 cells. Strand-specific reads (blue: forward, red: reverse) and IgG controls (black: forward, grey: reverse) are plotted against the distance from a composite set of reference binding sites. The antibody exhibits robust target enrichment compared to a non-specific IgG control and precisely reveals its structural organization around the binding site. Data generated by Prof. B. F. Pugh´s Lab at Cornell University.

Applications for ZNF322A Antibody - BSA Free

Application
Recommended Usage

Immunocytochemistry/ Immunofluorescence

0.25-2 ug/ml

Immunohistochemistry

1:50 - 1:200

Immunohistochemistry-Paraffin

1:50 - 1:200
Application Notes
For IHC-Paraffin, HIER pH 6 retrieval is recommended. Immunocytochemistry/Immunofluorescence Fixation Permeabilization: Use PFA/Triton X-100.

Formulation, Preparation, and Storage

Purification

Affinity purified

Formulation

PBS (pH 7.2) and 40% Glycerol

Format

BSA Free

Preservative

0.02% Sodium Azide

Concentration

Concentrations vary lot to lot. See vial label for concentration. If unlisted please contact technical services.

Shipping

The product is shipped with polar packs. Upon receipt, store it immediately at the temperature recommended below.

Stability & Storage

Store at 4C short term. Aliquot and store at -20C long term. Avoid freeze-thaw cycles.

Background: ZNF322A

ZNF322A is a member of the zinc-finger transcription factor family and may regulate transcriptional activation in MAPK(see MAPK1; MIM 176948) signaling pathways (Li et al., 2004 (PubMed 15555580)).(supplied by OMIM)

Alternate Names

FLJ23393, HCG12, HLA complex group 12, zinc finger protein 322, zinc finger protein 322A, zinc finger protein 388, zinc finger protein 489, ZNF322A, ZNF388, ZNF489

Gene Symbol

ZNF322

UniProt

Additional ZNF322A Products

Product Documents for ZNF322A Antibody - BSA Free

Certificate of Analysis

To download a Certificate of Analysis, please enter a lot number in the search box below.

Product Specific Notices for ZNF322A Antibody - BSA Free

This product is for research use only and is not approved for use in humans or in clinical diagnosis. Primary Antibodies are guaranteed for 1 year from date of receipt.

Loading...
Loading...
Loading...
Loading...