Skip to main content

ZNF197 Antibody - BSA Free

Novus Biologicals, part of Bio-Techne | Catalog # NBP2-30999

Novus Biologicals, part of Bio-Techne
Catalog #
Availability
Size / Price
Qty
Loading...
NBP2-30999
NBP2-30999-25ul

Key Product Details

Species Reactivity

Human

Applications

Immunohistochemistry, Immunohistochemistry-Paraffin, Immunocytochemistry/ Immunofluorescence

Label

Unconjugated

Antibody Source

Polyclonal Rabbit IgG

Format

BSA Free

Concentration

Concentrations vary lot to lot. See vial label for concentration. If unlisted please contact technical services.

Product Specifications

Immunogen

This antibody was developed against a recombinant protein corresponding to amino acids: VTSLEWETMTENEEVTSKPSSSQRADSHKGTSKRLQGSVPQVLDFEEECEWQVLASQWGNETDERADTVKKVS

Clonality

Polyclonal

Host

Rabbit

Isotype

IgG

Description

Novus Biologicals Rabbit ZNF197 Antibody - BSA Free (NBP2-30999) is a polyclonal antibody validated for use in IHC and ICC/IF. All Novus Biologicals antibodies are covered by our 100% guarantee.

Scientific Data Images for ZNF197 Antibody - BSA Free

Immunocytochemistry/ Immunofluorescence: ZNF197 Antibody [NBP2-30999]

Immunocytochemistry/ Immunofluorescence: ZNF197 Antibody [NBP2-30999]

Immunocytochemistry/Immunofluorescence: ZNF197 Antibody [NBP2-30999] - Immunofluorescent staining of human cell line HeLa shows localization to nucleoplasm.
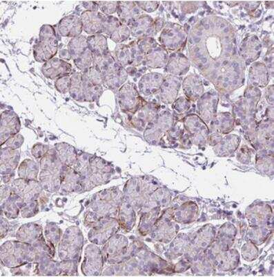
Immunohistochemistry: ZNF197 Antibody [NBP2-30999]

Immunohistochemistry: ZNF197 Antibody [NBP2-30999]

Immunohistochemistry: ZNF197 Antibody [NBP2-30999] - Staining of human salivary gland shows strong positivity in myoepithelium.

Applications for ZNF197 Antibody - BSA Free

Application
Recommended Usage

Immunocytochemistry/ Immunofluorescence

0.25-2 ug/ml

Immunohistochemistry

1:200 - 1:500

Immunohistochemistry-Paraffin

1:200 - 1:500
Application Notes
For IHC-Paraffin, HIER pH 6 retrieval is recommended. Immunocytochemistry/Immunofluorescence Fixation Permeabilization: Use PFA/Triton X-100.

Formulation, Preparation, and Storage

Purification

Affinity purified

Formulation

PBS (pH 7.2) and 40% Glycerol

Format

BSA Free

Preservative

0.02% Sodium Azide

Concentration

Concentrations vary lot to lot. See vial label for concentration. If unlisted please contact technical services.

Shipping

The product is shipped with polar packs. Upon receipt, store it immediately at the temperature recommended below.

Stability & Storage

Store at 4C short term. Aliquot and store at -20C long term. Avoid freeze-thaw cycles.

Background: ZNF197

ZNF197 product belongs to the zinc finger protein superfamily, members of which are regulatory proteins characterized by nucleic acid-binding zinc finger domains. The encoded protein contains 20 tandemly arrayed C2H2-type zinc fingers, a Kruppel-associated box (KRAB) domain, and a SCAN box. This transcript turns over rapidly and contains 3' UTR AUUUA motifs, which are often a hallmark of rapid turnover. It is overexpressed in some thyroid papillary carcinomas. This gene is located in a cluster of zinc finger genes at 3p21. Two alternatively spliced transcripts encoding different isoforms have been described. [provided by RefSeq]

Alternate Names

D3S1363E, P18, VHL-associated KRAB-A domain-containing protein, zinc finger protein 166, zinc finger protein 197, zinc finger protein 20, Zinc finger protein with KRAB and SCAN domains 9, ZKSCAN9VHLaK, ZNF166, ZNF20

Gene Symbol

ZNF197

UniProt

Additional ZNF197 Products

Product Documents for ZNF197 Antibody - BSA Free

Certificate of Analysis

To download a Certificate of Analysis, please enter a lot number in the search box below.

Product Specific Notices for ZNF197 Antibody - BSA Free

This product is for research use only and is not approved for use in humans or in clinical diagnosis. Primary Antibodies are guaranteed for 1 year from date of receipt.

Loading...
Loading...
Loading...
Loading...