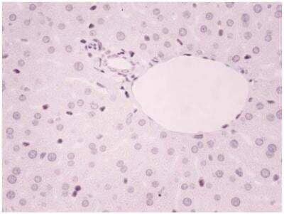
Immunohistochemistry: ZEB1 Antibody [NBP1-05987] -
Immunohistochemistry: ZEB1 Antibody [NBP1-05987] - Immunohistochemical staining results of EMT regulators in HG‐PanIN: SNAIL, SLUG, TWIST1, & ZEB1. We categorized & defined three grades: grade 0, <10% positive staining; grade 1, 10%‐50% positive; grade 2, 50%
Immunocytochemistry/ Immunofluorescence: ZEB1 Antibody [NBP1-05987] -
Immunocytochemistry/ Immunofluorescence: ZEB1 Antibody [NBP1-05987] - Location of Zeb1 proteins in mEC lines (mESC, mEB, GC1, & P19). Immunofluorescence analysis was used to determine localization of Zeb1 in mESC, mEB, GC1, & P19 using a Zeb1 antibody (red). Cell nuclei were labeled with Hoechst 33342 (blue). The scale for the measurement bar is 50 μm. Image collected & cropped by CiteAb from the following publication (https://pubmed.ncbi.nlm.nih.gov/35611144), licensed under a CC-BY license. Not internally tested by Novus Biologicals.
Western Blot: ZEB1 Antibody [NBP1-05987] -
Western Blot: ZEB1 Antibody [NBP1-05987] - Lin28a & ETM-related protein expression changed after the knockdown of Zeb1 in mESCs, mEB, GC1, & P19. Western blotting demonstrated that E-cadherin protein expression increased & that Lin28a & Vimentin protein expression decreased in Zeb1-siRNA transfected mESC (panel a), mEB (panel b), GC1 (panel c), & P19 (panel d) cells. Each experiment was performed in triplicate. Abbreviations: NC, negative control; siRNA, small interfering RNA; & WT, wild-type. Image collected & cropped by CiteAb from the following publication (https://pubmed.ncbi.nlm.nih.gov/35611144), licensed under a CC-BY license. Not internally tested by Novus Biologicals.
Western Blot: ZEB1 Antibody [NBP1-05987] -
Western Blot: ZEB1 Antibody [NBP1-05987] - Lin28a & ETM-related protein expression changed after the knockdown of Zeb1 in mESCs, mEB, GC1, & P19. Western blotting demonstrated that E-cadherin protein expression increased & that Lin28a & Vimentin protein expression decreased in Zeb1-siRNA transfected mESC (panel a), mEB (panel b), GC1 (panel c), & P19 (panel d) cells. Each experiment was performed in triplicate. Abbreviations: NC, negative control; siRNA, small interfering RNA; & WT, wild-type. Image collected & cropped by CiteAb from the following publication (https://pubmed.ncbi.nlm.nih.gov/35611144), licensed under a CC-BY license. Not internally tested by Novus Biologicals.
Western Blot: ZEB1 Antibody [NBP1-05987] -
Western Blot: ZEB1 Antibody [NBP1-05987] - Zeb1 expression in mESCs, mEB, GC1, & P19. (a) Zeb1 mRNA expression detected by real-time qPCR in mESC, mEB, GC1, & P19 (P < 0.001, data presented as mean value ± SD). (b) Zeb1 protein expression examined by western blot in mESC, mEB, GC1, & P19. Each experiment was performed in triplicate. Image collected & cropped by CiteAb from the following publication (https://pubmed.ncbi.nlm.nih.gov/35611144), licensed under a CC-BY license. Not internally tested by Novus Biologicals.
Western Blot: ZEB1 Antibody [NBP1-05987] -
Western Blot: ZEB1 Antibody [NBP1-05987] - Lin28a & ETM-related protein expression changed after the knockdown of Zeb1 in mESCs, mEB, GC1, & P19. Western blotting demonstrated that E-cadherin protein expression increased & that Lin28a & Vimentin protein expression decreased in Zeb1-siRNA transfected mESC (panel a), mEB (panel b), GC1 (panel c), & P19 (panel d) cells. Each experiment was performed in triplicate. Abbreviations: NC, negative control; siRNA, small interfering RNA; & WT, wild-type. Image collected & cropped by CiteAb from the following publication (https://pubmed.ncbi.nlm.nih.gov/35611144), licensed under a CC-BY license. Not internally tested by Novus Biologicals.
Immunocytochemistry/ Immunofluorescence: ZEB1 Antibody [NBP1-05987] -
Immunocytochemistry/ Immunofluorescence: ZEB1 Antibody [NBP1-05987] - Correlation of the expression of ZEB1 & IL‐6 & other cytokines in various cancers. (A) Correlation analysis of the expression of ZEB1 & cytokines in breast cancer cell lines using data obtained from the Cancer Cell Line Encyclopedia (CCLE). Breast cancer cell lines were selected for the analysis, & each dot represents a cell line. Affymetrix microarray probe IDs for IL6 & IL8 are shown after the gene symbols on the y‐axis. RMA, robust multiarray average. (B) Representative results obtained from the tissue array analysis in Fig. S3. The top panel shows a case that was positive for both nuclear ZEB1 staining (green) & whole‐cell IL‐6 staining (red); scores = 4. The bottom panel shows a case that was negative for both ZEB1 & IL‐6; scores = 1. The samples were counterstained with DAPI to show cell density in the spot. Original magnification: 20 ×. (C) Kaplan–Meier survival curves of breast & lung cancer patients obtained from a public meta‐analysis database & Kaplan–Meier plotter (Gyorffy et al., 2010, 2013). The probability of overall survival of patients as split by median IL6 & IL8 expression is shown. Red: IL6 & IL8 high expression group; black: IL6 & IL8 low expression group. Image collected & cropped by CiteAb from the following publication (https://pubmed.ncbi.nlm.nih.gov/28618162), licensed under a CC-BY license. Not internally tested by Novus Biologicals.
Western Blot: ZEB1 Antibody [NBP1-05987] -
Western Blot: ZEB1 Antibody [NBP1-05987] - SU5402, FGFR1 inhibitor, affects the EMT transcription factors.(A, B) ERK1/2 phosphorylation (p-ERK1/2) determined by immunoblotting in HSC-4 & OTC-04 treated for 30 min w/ 30 ng/ml FGF2 or 30 ng/ml FGF7 in presence of 10% FBS (A) & in TSU & HOC313 cells treated for 1 h w/ 30 ng/ml FGF2 or 30 μM SU5402 in absence of FBS (B). F2, FGF2; F7, FGF7; SU, SU5402. (C) We have previously reported that, after treatment w/ TGF-beta, NMuMG cells underwent EMT w/ the IIIc-isoform of FGFR1[17]. After NMuMG cells pretreated w/ TGF-beta transfected w/ mouse Fgfr1 siRNA or treated w/ SU5402, the cells further incubated in culture medium (CM) from TSU cells. SU, SU5402; siFR1, siRNA against mouse Fgfr1. (D)FGF2 mRNA levels determined by RT-qPCR analyses. The ratio of FGF2 mRNA to GAPDH mRNA in HSC-4 cells indicated as “1”. Each value represents the mean ± SD of triplicate determinations from a representative experiment. Similar results obtained in at least three independent experiments. (E) ERK1/2 phosphorylation (p-ERK1/2) in TSU & HOC313 cells monitored in presence of indicated concentration of SU5402 for 1 h under serum-free culture conditions, followed by immunoblot analysis. (F, G) Expression of indicated genes in TSU cells under serum-free culture conditions determined by RT-qPCR (F) & immunoblot (G) analyses, following treatment w/ 10 μM SU5402. Each value represents the mean ± SD of triplicate determinations from a representative experiment. Similar results obtained from at least three independent experiments. p values determined by Student’s t-test. **p < 0.01. (H) TSU cells treated w/ 10 μM U0126 in absence of FBS subjected to immunoblotting w/ the indicated antibodies. alpha-tubulin used as a loading control (A, B, C, E, G, & H). Image collected & cropped by CiteAb from the following publication (https://pubmed.ncbi.nlm.nih.gov/31682640), licensed under a CC-BY license. Not internally tested by Novus Biologicals.
Western Blot: ZEB1 Antibody [NBP1-05987] -
Western Blot: ZEB1 Antibody [NBP1-05987] - SU5402, FGFR1 inhibitor, affects the EMT transcription factors.(A, B) ERK1/2 phosphorylation (p-ERK1/2) determined by immunoblotting in HSC-4 & OTC-04 treated for 30 min w/ 30 ng/ml FGF2 or 30 ng/ml FGF7 in presence of 10% FBS (A) & in TSU & HOC313 cells treated for 1 h w/ 30 ng/ml FGF2 or 30 μM SU5402 in absence of FBS (B). F2, FGF2; F7, FGF7; SU, SU5402. (C) We have previously reported that, after treatment w/ TGF-beta, NMuMG cells underwent EMT w/ the IIIc-isoform of FGFR1[17]. After NMuMG cells pretreated w/ TGF-beta transfected w/ mouse Fgfr1 siRNA or treated w/ SU5402, the cells further incubated in culture medium (CM) from TSU cells. SU, SU5402; siFR1, siRNA against mouse Fgfr1. (D)FGF2 mRNA levels determined by RT-qPCR analyses. The ratio of FGF2 mRNA to GAPDH mRNA in HSC-4 cells indicated as “1”. Each value represents the mean ± SD of triplicate determinations from a representative experiment. Similar results obtained in at least three independent experiments. (E) ERK1/2 phosphorylation (p-ERK1/2) in TSU & HOC313 cells monitored in presence of indicated concentration of SU5402 for 1 h under serum-free culture conditions, followed by immunoblot analysis. (F, G) Expression of indicated genes in TSU cells under serum-free culture conditions determined by RT-qPCR (F) & immunoblot (G) analyses, following treatment w/ 10 μM SU5402. Each value represents the mean ± SD of triplicate determinations from a representative experiment. Similar results obtained from at least three independent experiments. p values determined by Student’s t-test. **p < 0.01. (H) TSU cells treated w/ 10 μM U0126 in absence of FBS subjected to immunoblotting w/ the indicated antibodies. alpha-tubulin used as a loading control (A, B, C, E, G, & H). Image collected & cropped by CiteAb from the following publication (https://pubmed.ncbi.nlm.nih.gov/31682640), licensed under a CC-BY license. Not internally tested by Novus Biologicals.
Western Blot: ZEB1 Antibody [NBP1-05987] -
Western Blot: ZEB1 Antibody [NBP1-05987] - Vimentin & ZEB1 protein levels are regulated by OVOL1 & OVOL2 in a human SCC cell line. (A) Relative protein expression levels of OVOL1 & OVOL2 in A431 cells treated with control siRNA, OVOL1 siRNA, or OVOL2 siRNA for 48 h. (Left) Representative blot images & (right) relative expression levels calculated from three independent experiments. (B) Relative protein expression levels of vimentin, ZEB1, & E-cadherin in A431 cells treated with control siRNA, OVOL1 siRNA, or OVOL2 siRNA for 72 h. (Upper) representative blot images & (lower) relative protein expression levels calculated from three independent experiments. Mann–Whitney U-test; error bars represent mean ± standard deviation. Protein expressions are relative to those of beta-actin as a reference. The control siRNA value was set to 1. p-values < 0.05 were assumed to indicate a statistically significant difference; * p < 0.05. Image collected & cropped by CiteAb from the following publication (https://pubmed.ncbi.nlm.nih.gov/32106476), licensed under a CC-BY license. Not internally tested by Novus Biologicals.
Western Blot: ZEB1 Antibody [NBP1-05987] -
Western Blot: ZEB1 Antibody [NBP1-05987] - PDGFR-alpha / beta promotes sarcoma CSC migration/invasion & anchorage-independent growth.a Western blot analysis of cell adhesion protein N-cadherin & EMT transcription factors Snail, Slug, & Zeb1 in human sarcoma cell lines grown as monolayers & as spheroids. beta-actin was used as the loading control. b Representative images under light microscopy of migration & invasion assays of human sarcoma cell lines grown as monolayers or as spheroids for 24–48 h. Graphs display the number of migrated or invasive cells per field. c Representative light microscopy images of forrmed colonies in soft agar assay of human sarcoma cell lines grown as monolayers or spheroids for 14–20 days. Graph displays the number colonies per field. d Representative images under light microscopy of migration & invasion assays of human sarcoma cell lines grown as monolayers or as spheroids. Spheroid cells were treated with imatinib or DMSO. e Western blot analysis of N-cadherin & EMT-regulating transcription factors in human sarcoma cell lines grown as spheroids & treated with imatinib or DMSO. Experiments in a & e were performed three times with similar results. Bars represent standard deviation. *p < 0.05 compared to Monolayers Image collected & cropped by CiteAb from the following publication (https://www.nature.com/articles/s41389-018-0059-1), licensed under a CC-BY license. Not internally tested by Novus Biologicals.
Western Blot: ZEB1 Antibody [NBP1-05987] -
Western Blot: ZEB1 Antibody [NBP1-05987] - FGFR1 siRNAs attenuate the malignant phenotypes of cancer cells.(A) mRNA from TSU cells transfected with siRNAs against FGFR1 (siFGFR1) were subjected to conventional RT-PCR to determine the levels of endogenous FGFR1. (B, C, D) After transfection with siFGFR1 in TSU cells, phosphorylation of ERK1/2 (p-ERK1/2) (B), ZEB1 levels (C), & cell morphology (D) were determined. (E) TSU cells transfected with siFGFR1 were subjected to immunofluorescence analyses. Low magnification, 40×; high magnification, 80×. (F, G, H, I) After either treatment with SU5402 or transfection with siFGFR1 in TSU & HOC313 cells, the number of cells & invasive properties were determined under serum-free culture conditions. (J & K) After transfection with siFGFR1c in TSU & HOC313 cells, invasive & migratory properties were determined under serum-free culture conditions in TSU & HOC313 cells, respectively. siNC, non-specific control siRNA. Each value represents the mean ± SD of triplicate determinations from a representative experiment. Similar results were obtained from at least three independent experiments. p values were determined by Student’s t-test. *p < 0.01. Image collected & cropped by CiteAb from the following publication (https://pubmed.ncbi.nlm.nih.gov/31682640), licensed under a CC-BY license. Not internally tested by Novus Biologicals.
Western Blot: ZEB1 Antibody [NBP1-05987] -
Western Blot: ZEB1 Antibody [NBP1-05987] - PDGFR-alpha / beta promotes sarcoma CSC migration/invasion & anchorage-independent growth.a Western blot analysis of cell adhesion protein N-cadherin & EMT transcription factors Snail, Slug, & Zeb1 in human sarcoma cell lines grown as monolayers & as spheroids. beta-actin was used as the loading control. b Representative images under light microscopy of migration & invasion assays of human sarcoma cell lines grown as monolayers or as spheroids for 24–48 h. Graphs display the number of migrated or invasive cells per field. c Representative light microscopy images of forrmed colonies in soft agar assay of human sarcoma cell lines grown as monolayers or spheroids for 14–20 days. Graph displays the number colonies per field. d Representative images under light microscopy of migration & invasion assays of human sarcoma cell lines grown as monolayers or as spheroids. Spheroid cells were treated with imatinib or DMSO. e Western blot analysis of N-cadherin & EMT-regulating transcription factors in human sarcoma cell lines grown as spheroids & treated with imatinib or DMSO. Experiments in a & e were performed three times with similar results. Bars represent standard deviation. *p < 0.05 compared to Monolayers Image collected & cropped by CiteAb from the following publication (https://www.nature.com/articles/s41389-018-0059-1), licensed under a CC-BY license. Not internally tested by Novus Biologicals.
Western Blot: ZEB1 Antibody [NBP1-05987] -
Western Blot: ZEB1 Antibody [NBP1-05987] - Nav1.4 protein levels are decreased in muscles from mouse models of SMA. (A) Immunoblot analysis using muscle lysate from P2, P5, P9, & P21 wild type mice. Nav1.4 protein levels increase during postnatal muscle development & form the predominant sodium channel expressed in mature skeletal muscle. GAPDH served as a loading control (N = 3). (B) Representative immunoblot with quantification, showing a decrease in levels of sodium channel Nav1.4 & Nav1.5 in P5 Smn-/-;SMN2 hindlimb muscle compared with controls (N = 3). (C) Quantification of immunoblot analyses in P21 Smn2B/- & control hindlimb muscles revealed a decrease in Nav1.4 levels. Early in postnatal muscle development, the Nav1.5 sodium channel isoform is the most predominant. In P21 Smn2B/- mice, the protein levels of Nav1.5 are higher than in controls (N = 3). (D) The protein level of the Nav1.4 positive regulator, NF1, is not altered in muscles from P21 Smn2B/- mice. Similarly, no change was detected in the protein levels of the Nav1.4 repressor ZEB. (E) Expression of sodium channel Nav1.4 in control sham & denervated samples 1 & 7 days post-denervation was assessed by immunoblot (N = 3). A decrease in the levels of Nav1.4 in muscle was noted at 7 days post-denervation. *, P < 0.05; **, P < 0.01. Image collected & cropped by CiteAb from the following publication (https://pubmed.ncbi.nlm.nih.gov/24119341), licensed under a CC-BY license. Not internally tested by Novus Biologicals.